入れ歯の得意な歯医者の見分け方

現在の治療費と異なる場合がございます。最新の治療費は料金表をご確認ください。

新しい入れ歯をつくりたい

入れ歯を作るのが得意な歯医者さんの
見分け方

古い入れ歯が合わなくなった、しっかり噛むために入れ歯をいれたい、そういったことを思い立った時に、どの歯医者さんに行けば自分にあった入れ歯を作ってもらえるのか分からず、まずインターネットに載っている口コミや、人づたえの評判を聞いて、その歯医者さんに行って入れ歯を作ってもらおうと思いますよね。

でも実際自分が行ったことないし、雰囲気などもわからないので、医院のホームページをみてみたり。すると医院によって特色があって、なにが自分にいいのかわからない、というようになっていないでしょうか。

ですので、今回は、入れ歯を作るのが得意な歯医者さんの見分け方をご説明します。

ちなみにホームページでそこの歯医者さんが入れ歯を作るのが得意なのかどうかは、分からないと思います。

自分に合った入れ歯を作ってくれる
先生のポイント

  1. しっかり問診をしてくれる、過去の
    入れ歯の経歴を聞いてくれる
  2. 歯医者さんが患者様に触れる時に
    ソフトタッチである
  3. 入れ歯の種類を何種類か提示してくれる、知識がある
  4. 患者様と歯医者さんの相性

1、しっかり問診をしてくれる、過去の入れ歯の経歴を聞いてくれる

初めて入れ歯を作るけれども、きちんと使えるか不安だったり、今まで入れ歯を作ったけれど、合わなかったり、痛みがあったり、そんな過去の経験をしっかり聞いてくれる歯医者さんが良いと思います。

過去に、こんな入れ歯をつくったけど自分にには合わなかったなど、色々話を聞けることで、私達も、「この方には、こういった入れ歯は合わないから、別の種類の入れ歯を提案しよう」と、よりよい入れ歯制作の一歩になります。

ただ単に入れ歯といっても、かみ合わせや見た目、材質など、種類は様々です。
入れ歯をいれてどうなりたいのか、どういう入れ歯をいれたいのか、を予め問診でしっかり聞いてくれる歯医者さんは提案も上手です。

2、ソフトタッチである

歯医者さんが患者様に触れる時に雑で合ったり、痛みを生じるときには、治療に慣れていない、 もしくはそういったことを気にしていない可能性があります。

色々なところに気を配れる歯医者さんほど、治療もうまく、患者様のかゆいところに手が届く人である可能性が高いと思います。

3、入れ歯の種類を何種類か提示してくれる、知識がある

ただ単に入れ歯といっても、かみ合わせや見た目、材質など、種類は様々です。

入れ歯をいれてどうなりたいのか、どういう入れ歯をいれたいのか、を予め問診でしっかり聞いてくれる歯医者さんは提案もたくさんできると思いますし、必要のないものは提案しないということもできるでしょう。

例えば、部分入れ歯の場合は、総入れ歯と違ってバネがあるのが特徴ですが、それが見えるのかそうでないのか、みえるなら見えないような入れ歯は作れるのかといった提案です。

また入れ歯を入れるにも、残っている歯があればその治療も必要になってきます。そのへんも含めて、お口の中をトータルで提案してくれる歯医者さんがよいでしょう。

さらに、総入れ歯の場合、特に下の入れ歯になりますが、顎の骨がなくなっていると、入れ歯の安定が悪くなります。すぐ取れる、食事中にはずれるといった事が起きてきますが、そういったことを防ぐために、インプラントを併用した入れ歯を提案したりといったことになります。

4、歯医者さんと相性があう

歯科医業も人と人の職業。どうしてもコミュニケーションが必要になります。

コミュニケーションがとりずらい、意図したことを理解してくれない、威圧的な歯医者さんとは良い関係を築くことは難しいと思います。
入れ歯は作って終わりではありません。

痛くないように調整をしたり、残っている歯があれば長く残せる様にしたりと、作り終わってからの方が圧倒的に長いおつきあいになります。
ですので、最初に話した感じで、違うなと思われたら、歯医者さん自体を変えるのが良いと思います。

保険の入れ歯と自費の入れ歯は
どう違うの?

麻布十番歯科での保険と
自費の入れ歯での大きな違い

麻布十番歯科での保険と自費の入れ歯で大きく違うのは、

  1. 歯医者さんが作るか、技工士さんが
    作るか
  2. 材料によって違和感や見た目を変える

が大きな違いになります。

歯医者さんは患者様と直接接し、見た目の噛み合わせをしっかり見て歯の並びや噛み合わせを直接変えて並べ直しができますが、技工士さんはそういったことをほとんど見ることなく作ります。

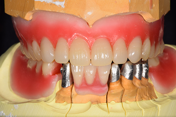
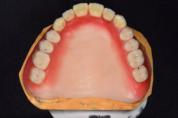
ですのでいざ出来上がってみると見た目が変だったり、噛み合わせがおかしいといったことがでてきやすいのです。 また、左の写真は総入れ歯で自費の入れ歯ですが、このように金属を使うことで入れ歯の厚みを薄くすることができます。

薄くすると、違和感が少ないのと、金属を使うことで、食べ物のの温度を上顎に伝えられるというメリットがあります。 その他、マグネット(磁石)やインプラントを使った入れ歯ですと、パカパカ外れにくいといったことを解消できます。

入れ歯の料金

通常料金

入れ歯の種類 金額
総入れ歯 550,000円
12-14本の欠損 550,000円
8-11本の欠損 440,000円
5-7本の欠損 330,000円
1-4本の欠損 220,000円
マグネット(/個) 110,000円
アタッチメント(/個) 110,000円
金属を使った入れ歯の金属部分 時価(近年、金属の価格が高騰しています)
保険の入れ歯(総入れ歯) 約12,000円(完成まで。保険点数なので時期によって多少の上下があります)

インプラントオプションの料金

インプラント入れ歯の項目 金額
診査・診断料 55,000円
インプラント手術費用(インプラント体含む) 165,000円
サージカルガイド 55,000円
静脈麻酔 99,000円
GBR 110,000円
ソケットリフト 165,000円
サイナスリフト 220,000円
アバットメント 33,000円
2次手術 22,000円
マグネット 110,000円

これら全てが必要になるわけではなく、CT撮影後、必要な処置のみを行います。

インプラントについて

入れ歯作成工程

  1. お口の中の診査・診断、前の入れ歯の診査・診断
  2. 前の入れ歯の診査・診断
  3. レントゲン診査
  4. 型取り
  5. 精密な型取り
  6. 噛み合わせチェック
  7. 歯を並べる
  8. 患者様のお口の中に入れて修正
  9. 完成
  10. 調整

入れ歯の製作工程は上記の様になります。
細かく分けて10の工程があり、1週間に1度の来院と考えて少なくとも、6回の来院が必要になります。(患者様なしで歯科医師のみで行う工程もあるため10回ではありません。)それらについて詳しく解説していきます。

1.問診、お口の中の診査・診断

麻布十番歯科・矯正歯科ではまずは、今お使いの入れ歯に対してどのような不満があるのか、今後どう言った入れ歯を作っていきたいのかをお聞きします。
その上で、どのような入れ歯を作っていくといいのかを考えます。これを行うことで、どういうふうに作っていくとその患者様に良いのか、今までの入れ歯をどう改善すると良いのかがわかるからです。 また今のお口の中の診査・診断をしていきます。

残っている歯があれば、どういう状態で、それは残せるのか?、また歯がない場合は歯ぐきの状態はどうなのか?やせているのか?骨はたくさんあるのか?入れ歯は安定しそうか?歯ぐきでぶよぶよしたところはないか?舌は大きいか?今お使いの入れ歯が当たって傷になっていないか?骨の隆起はないか?嘔吐反射はないか?唇のラインは?などをみていきます。

2.旧義歯の診査・診断

今お使いの入れ歯がなぜ嫌なのか、噛めているのか?外れやすいのか?を診ていきます。入れ歯自体の大きさ、形、人工歯の大きさ、人工歯の形、舌を侵害していないか?なども同時に診ていきます。

3.レントゲン診査

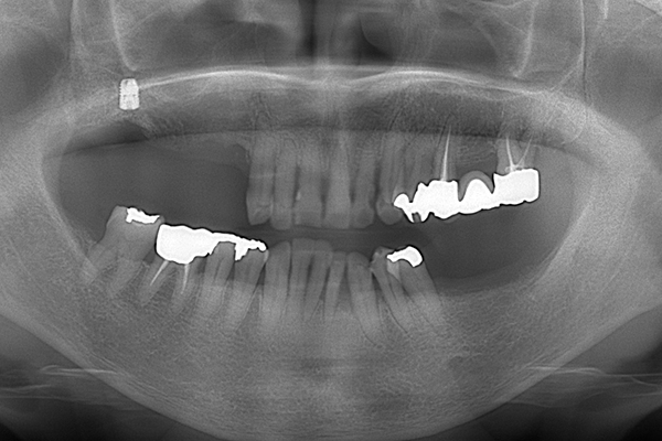
レントゲンで、顎の骨の厚みや、顎の関節の状態と位置を見ていきます。また、噛む力は強いのかなども診ることができます。 歯があれば、その状態も診査していきます。

4.型取り

お口の中を診終わったら、今度は型取りを行います。まずは大まかに型取りをします。模型を作ることで、お口の中を外に出してじっくり診ることができます。歯、骨、歯ぐきの状態です。自費の入れ歯の場合、これを使って、患者さんのお口に合った型取りのトレーを作成していきます。保険の場合は作成しないこともあります。

5.精密な型取り

患者様のお口にあったトレーで、精密な型取りをしていきます。その際使用するシリコンという材料は、お口の中を精密に表現できますので、入れ歯の精度が増します。(シリコンでの印象は自費の入れ歯のみになります。)

6.噛み合わせチェック

噛み合わせチェックでは、型取りした模型で、写真のようなワックスをのせた入れ歯の前段階のものを使用していきます。前の入れ歯がある場合は、そちらも参考にしながらチェックしていきます。 しゃべりやすさも考慮した上で入れ歯の噛み合わせの高さを決定していきます。 この時にフェイスボウという、上顎と頭の位置を精密にみていくための装置を使用することもあります。

7.歯を並べる

噛み合わせをが決定したら、咬合器という装置に模型をくっつけて、歯を並べていきます。自費の入れ歯の場合こちらを歯科医師で行います。保険の入れ歯の場合は模型を技工所に送り、技工士さんに歯を並べてもらいます。最終的な入れ歯を作る気持ちで並べていきますが、どうしても噛み合わせの誤差が模型とお口の中とでは生じてしまいますので、歯をならべたものを患者様のお口の中にいれて確認していきます。
確認することとしては、歯と患者様のお顔の調和、噛み合わせ、見た目、フィット感などです。 こうすることで、患者様に合った精密な入れ歯を作ることができます。

8.患者様のお口に入れて修正

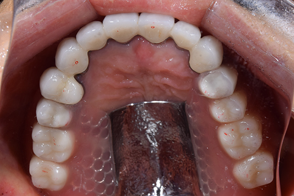
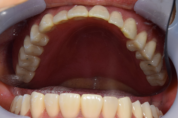
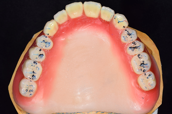
この写真は、実際にお口の中にいれてみて、噛み合わせのチェックを行い、調整したものになります。 上下の入れ歯で青い点、赤い点がはっきりあり、これはしっかり奥歯で噛めるというサインになります。 また、入れ歯自体の大きさや、違和感が強くないか、お顔と調和しているか、唇との関係などをみていきます。もし、ここで大きな修正が発生する場合はもう一度お時間をもらって次回再度確認させて頂きます。 これで修正が終わったら、その模型を技工所に送り、入れ歯を完成させてもらいます。

9.完成

入れ歯が完成してきましたら、お口の中に入れていきます。 完成までに試適してきた時と同じように、見た目、お顔との調和、喋りやすさ、噛み合わせを見ていきます。入れ歯はレジン(プラスチック)が大半になりますので、どうしても作成時に重合収縮が起こります。 そのため、若干、試適時よりも、ずれが生じてしまいます。そのため、またしっかりフィットさせるために、咬合器という装置に入れ歯を付けてお口の外で噛み合わせの調整をしていきます。 そうすることで、しっかりした噛み合わせを再現することができます。 また、歯ぐき側は実際にお口の中に入れて痛みがある部分に関して、痛くないように調整します。 出来上がってきた入れ歯の調整を行います。 これでこの日はおしまいです。

10.調整

入れ歯は入れて終わりではありません。 入れ歯は歯ぐきにのせるもになりますので、どうしても擦れて痛みが出る場所が出てきます。 その部分を調整して痛くないようにしていきます。 入れ歯を入れてのほうが圧倒的に長いお付き合いになります。

麻布十番歯科の自費の入れ歯治療

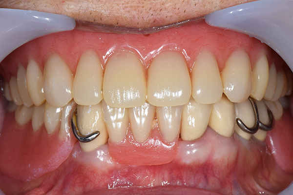
ケース1(自費の部分入れ歯)

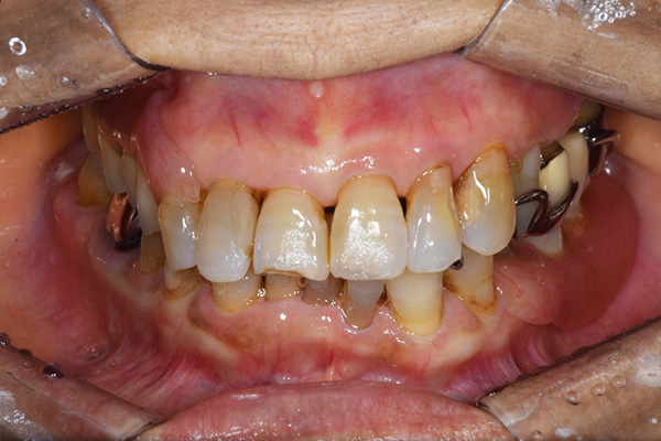
前歯が折れて当院にいらっしゃいました。 過去に下の入れ歯を作ったが、合わなくなってずっと入れ歯をいれていらっしゃらない患者様でした。 これは奥歯で噛むことができないため、前歯で噛むことを繰り返したために、負担に耐えられなくなった前歯が折れてかぶせ物ごと 外れてしまったのだと考えられます。 痛くない、違和感の少ない、下の入れ歯を作ることがこの方のゴールであると考えられました。

シリコンで精密な型取りを行いました。

噛み合わせチェックです。 奥歯でしっかりものが噛める様に高さを決めていきました。

金属を使用して、薄く違和感が少ない入れ歯が完成しました。 また、見た目にも気を使い、バネが見えにくい様な構造にしました。

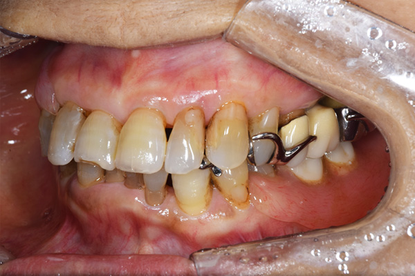
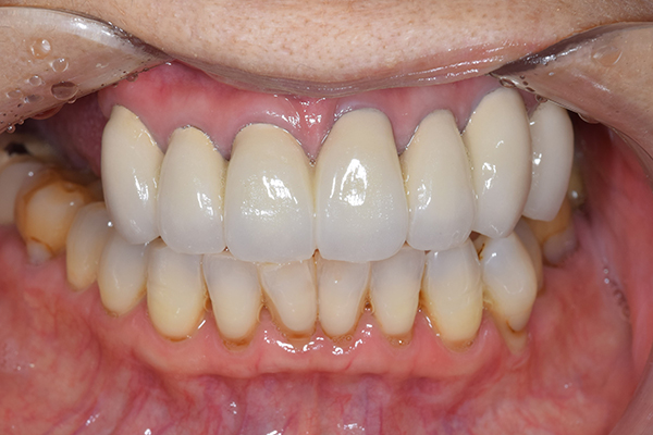
入れ歯をお口の中にいれた状態です。前歯もMTMといって、歯を少し引っ張り出す処置を行なったことで、しっかり残せて、またかぶせ物をしました。

年齢 70歳・女性
主訴 前歯が取れた
治療期間 8ヶ月
治療費 .MTM:110,000円
.ファイバーコア:16,500円
.E-maxクラウン:110,000円
.義歯:660,000円
治療方針 長年使ってきた義歯の人工歯が磨耗し、臼歯部での咬合がすくなくなり、前歯部での接触が強くなったことで生じた前歯の破折なので、義歯も作り変える必要がある。
治療内容 前歯部MTMと同時に審美面の回復。
MTM中に義歯の作成も同時に行う。
最終的に義歯と前歯のクラウンを同時にいれる。
義歯は下顎で、しっかり噛めること、違和感の少ないものという希望があったため、なるべく入れ歯を薄く作成するために金属をしようした義歯とした。
また、見た目もあまり義歯が目立たない様に、バネの部分を見えにくいように作成した。
特記事項 歯にもともと入っていた金属の種類によっては、歯自体の変色を治療で変えられないこともある。 義歯は作ってから痛みがでることがありますが、それは調整を行うことで痛くなくすることができます。

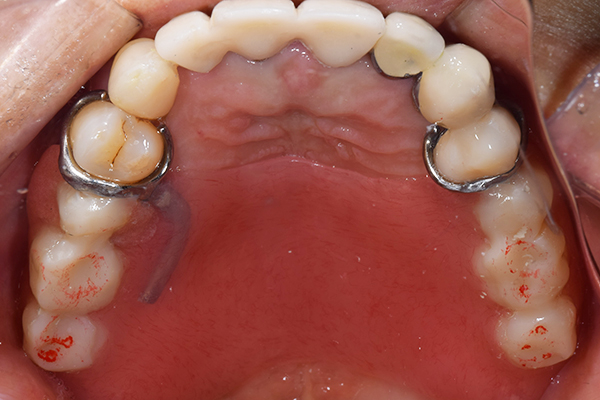
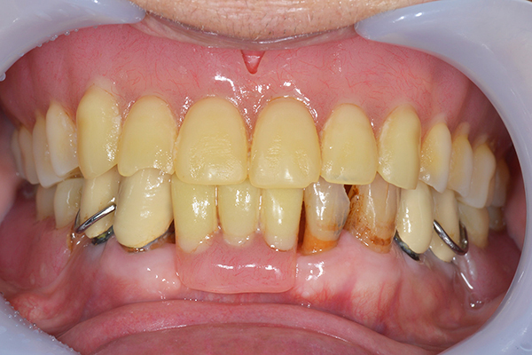
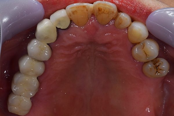
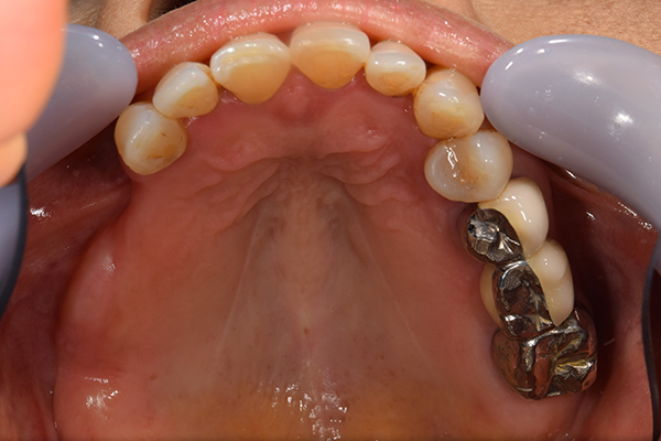
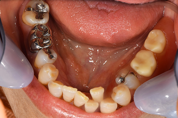
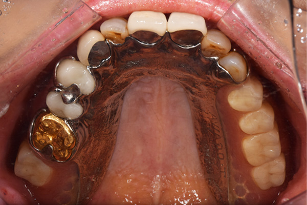
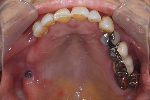
ケース2(自費の総入れ歯と部分入れ歯)

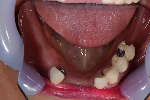
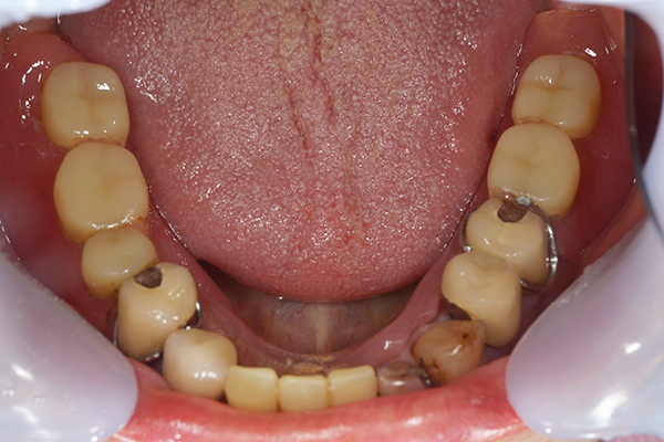
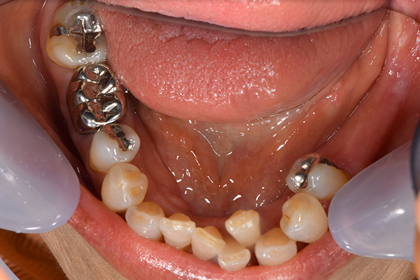
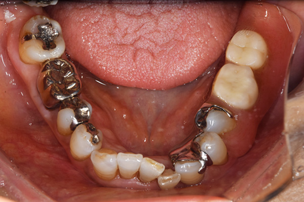
上下の入れ歯が外れやすくなったということでいらっしゃいました。 顎の骨はしっかりしていましたので、精密な型取りさえすればしっかりした入れ歯がつくれると思いました。 また下には6本歯が残っていましたが、虫歯になっている歯もありました。 かぶせ物のなかで大きな虫歯があった歯があり、1本だけ残せない状態でした。

上の入れ歯は確かに吸着は甘くなっていました。 また下の入れ歯はバネの一部が壊れており、安定感がなくなっていました。

精密な型取りの後、噛み合わせのチェックをしていきました。 かぶせ物も同時に作っていきました。

歯を並べた後、かぶせ物のフレーム作ってもらいました。先に歯を並べて理想の位置を決めておくことが大切です。

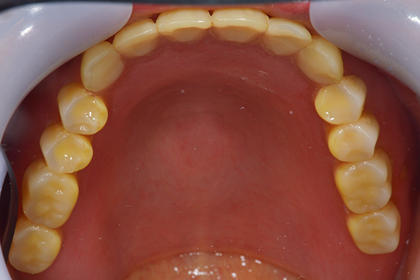
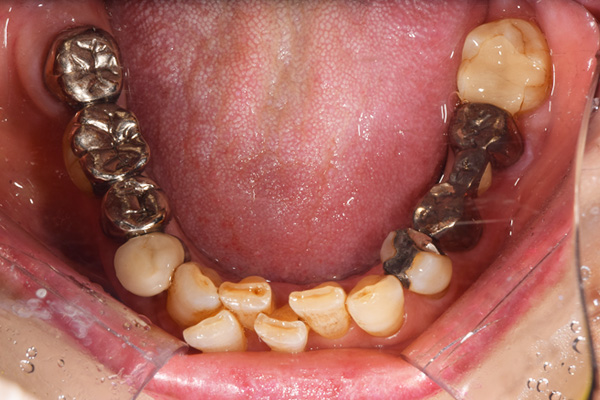
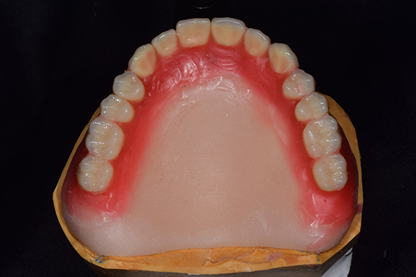
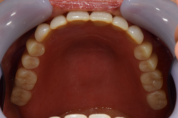
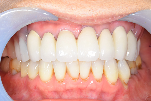
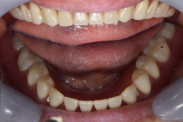
完成した入れ歯とかぶせ物です。 入れ歯への寛容度が高い患者様でしたので、 金属は使用せず、プラスチックのみで上は仕上げました。 下顎も歯は1本減ってしまいましたが、しっかり 入れ歯が維持できる様な構造にしました。

お口の中に入れた状態です。 見た目も最初とほとんど変わることなく作成できました。 維持や吸着に関しても問題ないようでした。

年齢 80歳・女性
主訴 上下の入れ歯が外れやすくなった
治療期間 3ヶ月
治療費 .メタルボンドクラウン:550,000円
.義歯:990,000円(税込、上下)
治療方針 長年使ってきた義歯の人工歯が磨耗し、臼歯部での咬合がすくなくなり、入れ歯の安定も悪くなり、あたりどころが悪くなって痛みが出ている。 そのため、入れ歯を上下作りかえる必要がある。
治療内容 過去に治療を行ったことのある歯が再度虫歯になってしまっているところがあり、すでに残せない状態にまでなっていたため、歯を一本抜歯した。 その後、かぶせ物と入れ歯を同時に作成していった。
特記事項 歯を抜いた後は、2〜3ヶ月歯ぐきの回復を待ってから入れ歯を作るため、待機期間があります。その間、古い入れ歯を調整しながらそのまま使うか、新し物をつくっておく必要があります。ただし、入れ歯は保険治療で作成する場合、6ヶ月は新しいものが作れないという決まりがあるので保険で全て作りたい場合は注意が必要です。

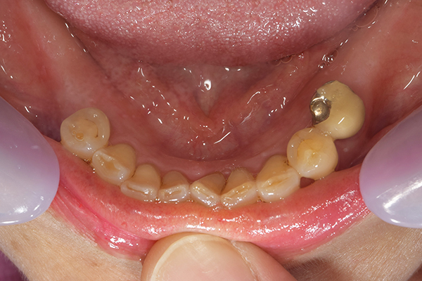
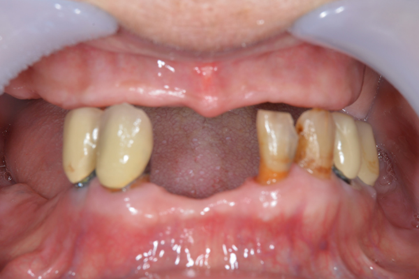
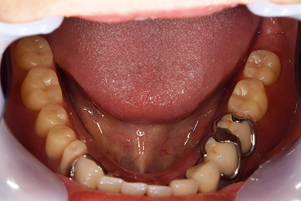
ケース3(インプラントを用いた部分入れ歯)

右上と左下の歯がない方です。 上の入れ歯の安定が悪く、作り直したいとのことでいらっしゃいました。 今お使いの上の入れ歯を見てみると、口蓋部分が抜けており、安定性に欠ける構造になっていました。この入れ歯はノンメタルクラスプデンチャーといって、金属のバネを使用しない 入れ歯になります。これは見た目は良いのですが、歯への負担が大きいことと、入れ歯自体がやわらかいため、噛むには不便なことがあります。

入れ歯は極力薄くするために金属を使用しました。しっかり噛める様にするため、ノンメタルクラスプデンチャーにはしませんでした。

上の入れ歯(表)

上の入れ歯(裏)

下の入れ歯

下の入れ歯

入れ歯を入れた状態のお口の中の写真です。バネも極力目立たないように作成しています。

年齢 70代・女性
主訴 上の入れ歯の安定が悪く、作り直したい
治療期間 5ヶ月
治療費 .診査診断:55,000円
.インプラント埋入:165,000円
.アバットメント:33,000円
.義歯:330,000円
治療方針 右片側のみ奥歯がない方です。
この様な場合入れ歯は反対側に維持を求めるため、大きな入れ歯になりがちです。
そのため違和感が強いことがおおいです。
また、片側だけないですので、安定もむずかしくなります。
そこで、安定をよくするために、右の奥歯の位置にインプラントをいれて、義歯が揺れない様にすることにしました。
治療内容 レントゲンをみて最低限の長さのインプラントを右上の奥歯の位置に埋入しました。インプラントと骨の結合(オッセオインテグレーション)と歯肉の治癒を待ち、アバットメントをいれて型取りをして、入れ歯を作成しました。極力薄くするために、金属をもちいた入れ歯にしました。
特記事項 インプラントは必ず成功するというものではありません。 また治癒も人それぞれで、長くかかることもあります。 入れ歯を入れ終わったあとも、アバットメントが緩んできたり、入れ歯が歯ぐきにあたって痛いところもでてきますので、調整は必要になります。

ケース4
(アタッチメントを用いた部分入れ歯)

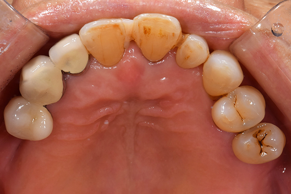
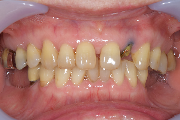
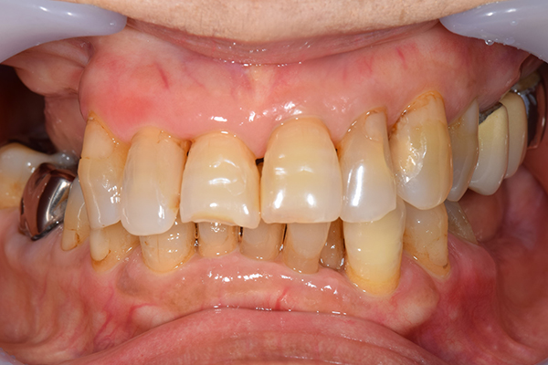
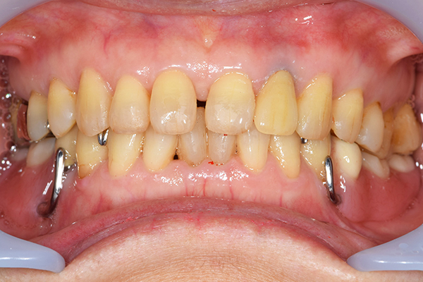
右上のインプラント周囲炎で、その部分が痛いという患者様でした。 また奥歯で噛むことが難しかったため、前歯を使用することが多くなり、 前歯が前よりも前に出てきていることも気になっていらっしゃいました。

インプラント部以外にも歯周病が進行していましたので、歯周病の治療を行いました。 残念ながらインプラントと、1本の歯が残せなかったため抜歯を行いました。 その後、前歯の出っ張りを修正することと入れ歯の安定を図るため、残っている歯を全てかぶせ物にしていくことになりました。 写真中央は抜歯後に入れた治療用の入れ歯になります。 抜歯後歯ぐきが安定しましたら、入れ歯とかぶせ物の型取りを行いました。

噛み合わせチェックでしっかり奥歯で噛めるようにし、 歯を並べます。 その後、それに合わせて前歯を作っていきます。

最終的な入れ歯用の型取りをします。 シリコンで精密に型取りができました。

こちらが完成したかぶせ物と入れ歯です。かぶせ物にはアタッチメントをつけて金属のバネが見えない構造になっています。 入れ歯自体も金属を使用して、極力違和感がでないように、薄く作成しました。

お口の中に入れた状態です。 非常に見た目もよい出来となりました。 バネがみえないと見栄えが全然ちがいます。

年齢 70代・女性
主訴 奥歯のインプラントが痛い。
前歯がでてきた。
治療期間 6ヶ月
治療費 .メタルボンドクラウン7本:770,000円
.アタッチメント2個:220,000円
.義歯:550,000円
治療方針 ゆれてきたインプラントを抜去した後、歯周病の治療と、予後不良の歯を抜歯して、義歯を作成します。
抜歯後は治療用の入れ歯を作成し、ものが噛める様にします。
また前歯は、被せものをすることにしました。
治療内容 右上のボーンアンカードブリッジ(インプラントのブリッジ)部分がインプラント周囲炎になり、ぐらぐら揺れてきました。
そのため、インプラントを抜去した後、歯周病の治療と、予後不良の歯を抜歯して、義歯を作成していきました。
見た目が入れ歯とわからない様に針金のない、アタッチメントを使用した入れ歯を作成することにしました。
抜歯後は奥歯でものが噛める様に治療用の入れ歯を作成しました。
また前歯はフレアアウト(奥歯で噛めなくて前歯で噛む様になって、前歯が前に出てくる現象)していたため、患者さんの希望でかぶせ物をすることにしました。
特記事項 歯やインプラントを抜いた後は、2〜3ヶ月歯ぐきの回復を待ってから入れ歯を作るため、待機期間があります。その間、治療用の入れ歯を調整しながら使います。かぶせものをした後は歯がしみたり、場合によっては神経を抜く処置が必要になることもあります。

ケース5(金属使用 部分床義歯)

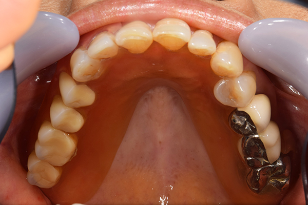
入れ歯をなくしてしまったので、あたらしく作りたい患者様です。

お口に入っている状態です。嘔吐反射が強かったため、うわあごの部分をくり抜いて作っています。

そのためにはしっかり歯に維持力をかける事、歯茎の部分に圧をかけるため、金属をつかって入れ歯を作成しました。

年齢 80代・女性
主訴 入れ歯をなくしたのであたらしくつくりたい。
治療期間 1ヶ月
治療費 義歯:330,000円(税込)
治療方針 以前作った入れ歯は気に入っていたが無くしてしまったとのことで、作り直しました。
上には残っている歯がありますが、入れ歯がない状態が続くと、歯へのダメージが強いことが考えられましたので、急ピッチで作っていくことにしました。
治療内容 入れ歯をつくるための前処置はとくに必要なかったため、すぐに入れ歯を作成していきます。
嘔吐反射が強く、普通の上顎の入れ歯を入れた時の違和感が強いため、口蓋部をくり抜いてつくっていきました。
そのため、歯や粘膜に維持負担を強くかけるため、金属を使用していくことにしました。
患者さんのお話をきいていると、前の入れ歯もそういう入れ歯をつくっていたとのことでした。
特記事項 入れ歯は完成してからがスタートです。入れ歯が歯ぐきにこすれて痛みが出る事が多いです。
今回の様な入れ歯ではそういう事が必ずと言っていいほどでます。
そのため、しっかり痛みをとるために入れ歯を調整して、患者さんに合わせた入れ歯にカスタマイズして完成になります。

まとめ

いかがでしたでしょうか。
良い入れ歯を作る歯医者さんがお分かりいただける様になりましたでしょうか。 自費の入れ歯を作れるということは、知識や技術があるということなので、 保険の入れ歯もしっかりしたものが出来上がって来る可能性が高いと考えられます。

ただ歯医者さんとの相性ばかりは会ってみないとわからない部分ですので、 良い歯医者さんと出会えるよう探してみてください。

入れ歯(義歯)
今すぐ予約したい方
03-3505-4618電話受付9〜19時半(土日は17:30まで)
3日以降のご予約
WEBから予約24時間受け付けております。

麻布十番の歯医者さん・
矯正歯科は痛みに配慮した、
コミュニケーションにあふれる歯医者です。

診療時間
9:00〜13:00 -
14:00〜19:30 - - -
14:00〜17:30 - - - - -

※平日最終受付は19:00まで
※土日の最終受付は17:00まで
[休診日]水曜・祝日

AED
TEL:03-3505-4618
地図

〒106-0044 東京都港区東麻布3-8-8 明商ビル1F
大江戸線 麻布十番駅 6番出口より徒歩10秒
南北線 麻布十番駅 6番出口より徒歩10秒
Google マップを開く >