虫歯

現在の治療費と異なる場合がございます。最新の治療費は料金表をご確認ください。

歯の構造

歯の構造は3つからなります

虫歯の前に歯の構造を理解しましょう。歯の構造は、簡単に3層構造から成り立っています。

  1. エナメル質は、歯の1番外側になり、人間で言うとヘルメットの役割をします。
  2. 象牙質は、人間でいう頭蓋になり、エナメル質に比べると非常に柔らかいです。
  3. 歯の神経は、人間でいう脳みそになります。かなり柔かいというかふにゃふにゃになります。
歯の構造を図で表したイメージ図

この歯の周りを歯肉と骨が覆っている形となります。

虫歯とは?

動画で見る:虫歯になりやすい人の特徴とは?

歯が酸で溶けて穴が開くこと

簡単に言えば、虫歯とは、酸で歯を溶かして穴が開くことです。
その過程には、様々な事柄がありますが、シンプルに考えれば溶けて穴が開くです。

歯の構造を図で表したイメージ図

ミュータンス菌と呼ばれる虫歯菌のエサは、糖になります。糖を食べたミュータンス菌は、酸という便を出します。

この酸が歯を溶かして虫歯を作るという流れになります。単純な流れになりますが、歯の方もそれを防ぐために、歯の表面が溶けては、また、再石灰化して戻りを繰り返して、虫歯になるのを防いでいます。

虫歯が突然できました

虫歯の原因(発生メカニズム)

虫歯の原因は、時間・細菌・歯の質・糖分の4つが複雑に絡み合い虫歯が発生します。どれか1つでも欠けてしまうと虫歯は、発生しません。「甘い物を食べると虫歯になるからやめなさい」と子供のころに言われた記憶がありませんか?

実は甘い物を食べたからといって虫歯になるのではないのです。虫歯の発生には、虫歯菌と時間・歯の質・糖分が必要になります。4つが重なると初めて虫歯が発生する仕組みになります。

虫歯発生4つの要素 虫歯の原因 虫歯菌はうつるのか
時間・細菌・歯の質・糖分による虫歯の発生メカニズムのイメージ図

初期虫歯って?

写真で見るとわかるかもしれませんが、初期の虫歯は着色して茶色くなっています。
この場合、茶色い部分を探針で探ってみると硬い場合がほとんどで虫歯の柔らかさを感じることがありません。

初期虫歯は、ほとんどの場合が石灰化して白くなった部分に着色している状態が多いですね。
そのため、患者さんから見えるような部分ですと多くの患者さんがこれは虫歯なのではないか?と聞かれることがあり、レントゲンを撮ってみると虫歯のような影もなく、探針で触ってみても硬い場合がほとんどです。

初期虫歯の状態の抜歯後の歯の写真

初期虫歯の診断は、非常に難しいです。歯科医師によって虫歯の診断は様々ですし、基準も違います。患者さんによっては、初期虫歯を削られたとおっしゃる方がいますが、お口の中を見てみると汚れだらけで、初期虫歯でも放っておいたら虫歯が進行してまうようなケースが多いです。

初期虫歯を積極的に削るのか?
削らずにフッ素塗布などで様子を見ていくのか?非常に難しい選択になります。

虫歯の痛み

虫歯の痛みも浅い場合と深い場合で大きな違いがありますね。

虫歯が浅い場合

虫歯が浅い場合は、多くは冷たい物に大きく反応します。例えば、知覚過敏のようなしみる痛みと浅い虫歯の痛みは、非常に良く似ています。

虫歯による痛みがある女性の写真

虫歯が深い

虫歯が深い場合は、痛みの程度としては非常に強い痛みになります。身体の痛みの中では1番強いと言われています。
昔は、拷問に歯の神経をいじったりしたそうです。怖いですね。
虫歯の痛みは、本当に脳天につき刺さるくらいの痛みですので、是非、深くなる前に治療を行いたいですね。

虫歯の痛み

虫歯を放置すると?

虫歯を放置するとどのようになるのか?歯の神経に達するくらいの虫歯は、非常に激しい痛みに襲われますが、歯の神経が死んでしまうと痛みが一旦治ります。
その後、放置しておくと根の先に膿が溜まっていきます。その膿が溜まっていくと行き場を失って痛みが再度襲ってくることになります。

虫歯を放置した場合の抜歯後の歯の写真

最終的にそれでも放置しておくと膿がどんどん溜まっていくので、顔や首などが腫れ上がってしまい発熱が続き最終的には、救急に運ばれて切開排膿することになります。

虫歯の放置について

虫歯の見分け方

「先生、歯が黒くなってきたんですが、虫歯ですか?」このような質問を受ける時が非常に多いです。黒=虫歯というのは、間違っていますが、虫歯の可能性が高くもあります。そのため、やはり鑑別診断が必要になります。しっかりと診断するには、まずは探針などで柔らかくないか?探ってみます。柔らかい場合は、虫歯と判断します。

虫歯になってしまった抜歯後の歯の写真

レントゲンを撮って次は、確認を行います。レントゲンは、柔らかければ黒く写ってきますので、非常にわかりやすく診断をすることができます。

歯科医院で診断が難しいケースは、歯と歯の間の虫歯や金属のかぶせ物の近くは、ハレーションといってレントゲンでも見えないことがあり、診断が難しい場合があります。歯科医院での定期検診で虫歯のチェックも非常に重要ですが、日々のご自分での歯ブラシやフロスやナイトガードなどのメンテナンスが最も重要になりますので怠らないようにしましょう。

虫歯の進行と進行速度

虫歯の前兆から最重度の虫歯までの流れのイメージ図

虫歯の進行速度はお口の中の環境によってかなり変わってきます。
歯の状態、はえ方、唾液の量、飲食物、歯ブラシのタイミングがその最たるものです。

上の図のように歯は上から進行するとは限らず、歯の側面からも進行し得ます。
乳歯や永久歯でもはえたては虫歯の進行は速いです。

唾液の量が少ないと虫歯になりやすいですし、進行も速いです。
砂糖や酸性のものの飲食が好きな方は進行が速いです。
歯を磨くタイミングがない、少ない方も虫歯になりやすいです。

虫歯の見た目を写真で!

C1

黒い虫歯があるが、エナメル室内の浅い虫歯です。

軽度(C1)の虫歯で抜歯後の歯の写真

C2

虫歯がエナメル質を超えて中まで進行しています。

中度(C2)の虫歯で抜歯後の歯の写真

C3

虫歯が神経に達してます。

重度(C3)の虫歯で抜歯後の歯の写真

C4

虫歯が神経まで達して歯冠が崩壊しています。

最重度(C4)の虫歯で抜歯後の歯の写真

虫歯治療は、痛い?痛くない?

神経に達した深い虫歯

皆さんに質問になります。写真を見て、この虫歯を治療する際は、痛みがありそうですか?それとも、痛みがなさそうですか?

はい、答えは「痛みがありそう」です。

皆さん、虫歯が進行して歯の神経に達するような場合、虫歯治療で痛みが出る可能性があります。もちろん、麻酔をしっかりと行いますが、それでも痛みや炎症が強い場合は、phの関係で麻酔が効きにくいです。

神経まで達した深い虫歯を表した口腔内のイメージ画像

虫歯が浅いと痛い?

皆さんに質問になります。写真を見て、この虫歯の治療は、痛そうですか?それとも痛そうではないですか?

はい、答えは「痛くない」ですね。虫歯は、浅いですので麻酔も良く効き痛みを感じないで治療を行うことができます。

麻酔が効くか?効かないか?は、ドクターの腕も確かにありますが、それ以上に虫歯が深いか浅いかも大きな関係があります。

浅い虫歯の口腔内の状態をあらわしたイメージ画像

虫歯治療の麻酔

当院では、麻酔をできるだけお痛み少なく打てるように、世界最小の注射針35Gを導入しています。歯医者と聞いて麻酔が嫌だと言う患者さんが多くいらっしゃいます。

電動麻酔機を使用して、ゆっくりと同じ速度で、麻酔の液を注入するので、以前の手動に比べると非常にお痛みが少なくなったと言われます。また、ミュージックも流れますので、患者さんによっては癒されたと言われる方もいます。

麻布十番の歯医者さんで使用している電動麻酔器の写真

虫歯の治療方法

虫歯の治療方法は、段階によって様々になります。そのため中々患者さんに分かりづらいのだと思いますので、段階に分けて分かりやすく説明したいと思います。

C1虫歯の治療方法

C1は、浅い虫歯に分類されますので、
削るのか?削らないのか?
迷う虫歯ではあります。
C1は歯の構造の部分でいう
外側のエナメル質内の虫歯になります。
そのため、削ってCR(コンポジットレジン)と言われる
プラスチックを詰める治療か
フッ素を塗布して虫歯が進行しないように
経過観察をしていくか?のどちらかの選択によります。

C1は浅い虫歯で抜歯後の歯の写真

削るかは、患者さんのお口の中の状態と清掃程度など色々考慮した上で決定していきます。

以前は、アマルガムという治療方法があり、アマルガムと呼ばれる金属を詰めるという治療方法もありましたが、水銀などを使用するので現在は、ほぼ行われなくなりました。

C1虫歯治療手順

削って治療

  1. 痛みのないように、前歯は表面麻酔を行います。
  2. 浸潤麻酔を行い、歯自体に麻酔を効かせていきます。
  3. 虫歯を削ります。
  4. 接着剤を塗ります。
  5. プラスティックを詰めます。
  6. かみ合わせを調整します。
  7. 研磨します。
  8. メンテナンスで定期検診に入ります。

削らないで治療

  1. 歯の汚れをPMTC(プロフェッショナルメカニカルトゥースクリーニング)でキレイにします。
  2. フッ素塗布をして歯質の強化を行います。

C1虫歯治療時間

C1虫歯治療時間は、麻酔の時間を含めて1本で約15〜30分位です。まれに虫歯の形が複雑で難しい場合に時間がかかることがあります。

歯面清掃やPMTCを行いフッ素を塗布する時間は、20分程度になります。

砂時計の画像

C1虫歯治療期間

C1虫歯治療の期間は、ほぼ1回で終了です。

C1虫歯治療費用

C1でプラスティックを詰める治療は、保険で1本約1,000円です。それに加えて初診料や検査レントゲン代(約4,000円)がかかります。

他にクリーニングや歯石除去などの治療費用が加わることがあります。
歯のクリーニングをしてフッ素塗布は、約2,000円です。

虫歯治療費用を計算するための電卓の写真

C1治療後の痛み

麻酔をした箇所が痛むことがあります。まれに歯の神経に近い所まで虫歯が進行していた場合、治療後に噛んで痛みがあったり、冷たい物がしみたりすることがあります。

徐々に歯の神経との間に、第二象牙質と呼ばれる壁ができて来ますので、それまで少し様子を見た方が良い場合がほとんどです。

C1治療後は痛みを感じる女性の写真

C2前歯虫歯治療方法

C2の前歯の治療方法は、ほぼC1と変わりません。虫歯がエナメル質を超えて象牙質に達している状態です。虫歯を削ってCR(コンポジットレジン)プラスティックを詰めていきます。

C1よりも深い虫歯になりますので、しみたり噛んで痛みが出る可能性が高くなりますので、裏そうと言ってセメントなどで埋める治療をすることがあります。

C2前歯虫歯の治療手順

  1. 痛みのないように、前歯は表面麻酔を行います。
  2. 歯全体に痛みがないように浸潤麻酔を行います。
  3. 虫歯を削ります。
  4. 接着剤を塗ります。
  5. プラスティックを詰めます。
  6. 形やかみ合わせを調整します。
  7. 研磨してツルツルにします。
  8. メンテナンスで定期検診に入ります。

C2前歯虫歯の治療時間

前歯の虫歯の治療時間は、虫歯が深くなければ、30分位で終わります。虫歯の形などにより時間は、左右されますので考慮してください。

時計の盤面の写真

C2前歯虫歯治療期間

C2前歯虫歯治療の期間は、ほぼ1回で終了です。

C2前歯虫歯治療費用

C2でプラスティックを詰める治療は、保険で1本約1,000円です。それに加えて初診料や検査レントゲン代(約4,000円)がかかります。

他にクリーニングや歯石除去などの治療費用が加わることがあります。

虫歯治療における費用を確認するための電卓の写真

C2前歯治療後の痛み

麻酔をした箇所が、後から痛むことがあります。虫歯が歯の神経に近かった場合、しみたり・噛んで痛みが出たりすることがあります。
患者さんによっては、虫歯が残っているのではないか?と思われますが、そうではなく単純に虫歯を削って歯の神経に近い所まで削った結果痛みが出てると考えてください。

口内の痛みがある側の頬に手を当てている写真

痛みがしばらくしてもなくならない場合は、歯の神経の治療を事があります。通常、時間と共に歯の神経との間に壁ができてきますので、痛みはなくなってきます。

C2小さい奥歯の虫歯治療方法

奥歯のかむ面もしくは、一か所の虫歯は、前歯と同様に虫歯を削ってつめ物(プラスティック)を行います。
虫歯が大きかったり、深かったり、面積が大きい場合は、プラスティックでは、割れるために型を採って銀歯やセラミックの治療が必要になります。

C2小さい奥歯虫歯治療手順

  1. 浸潤麻酔を行い、歯に麻酔を効かせていきます。奥歯は、痛点が少ないので表面麻酔を行わないケースが多いです。
  2. 虫歯を削ります。
  3. 接着剤を塗ります。
  4. プラスティックを詰めます。
  5. 形やかみ合わせを調整します。
  6. 仕上げ研磨します。
  7. メンテナンスで定期検診に入ります。

C2小さい奥歯虫歯治療時間

小さい虫歯なので治療時間は、30分かかりません。虫歯が大きい・複雑な場合は、治療時間が伸びることがあります。

C2小さい奥歯虫歯治療期間

他の前歯の虫歯治療と同様にほぼ1回で終わります。そのため、3本くらい一気に同時に行うような事もあります。

C2小さい奥歯虫歯治療費用

C2でプラスティックを詰める治療は、保険で1本約1,000円です。それに加えて初診料や検査レントゲン代(約4,000円)がかかります。

他にクリーニングや歯石除去などの治療費用が加わることがあります。

電卓とコインの写真

C2小さい奥歯治療後の痛み

前歯と同じですが、小さい虫歯の場合、そのほとんどが治療後の痛みが出ることは少ないです。しかし、虫歯が歯の神経に近いところまで削っている時は、冷たいものや噛んで痛みが出る可能性があります。

親知らずを抜いた後は安静に、痛みが強い場合は歯科医院へ相談しましょう

C2大きい奥歯の虫歯治療方法

前歯と同じですが、小さい虫歯の場合、そのほとんどが治療後の痛みが出ることは少ないです。しかし、虫歯が歯の神経に近いところまで削っている時は、冷たいものや噛んで痛みが出る可能性があります。

虫歯が大きい場合は、プラスティックを詰めても割れてしまいます。そのため、型採りを行い、銀歯もしくはセラミックのつめ物を作製してセットします。また、虫歯が歯の神経に近い場合、しみたり噛んで痛みが出ますので、覆装と言ってセメントで覆ってあげる治療を行います。
これにより虫歯の神経治療をしなくて済む場合があります。

C2大きい奥歯虫歯治療手順

  1. 浸潤麻酔を行います。奥歯は痛点が少ないので、表面麻酔を行わない場合が多いです。
  2. 虫歯を削ります。
  3. 虫歯が歯の神経の近くまで達して深い場合、履装と言ってセメントで覆ってあげます。
  4. 歯を削って形を整えます。
  5. 型を採ります。
  6. つめ物をセットします。
  7. メンテナンスの定期検診に入ります。

C2大きい奥歯の虫歯治療時間

治療時間は、1回約30分です。1回目は、歯を削りますので麻酔を必ず行いますが、2回目はセット後にかみ合わせの調整を行うので、しみなければ麻酔を行わない事もあります。

C2大きい奥歯虫歯治療期間

治療期間は、その場で終わるわけではなく、1度仮フタになりまして、次回の2回目でセットとなります。

虫歯が歯の神経に近いところまで達していた場合、覆装と言ってセメントで覆ってあげて、3回目で痛みが少ない場合に、型を採る方法もあります。この場合、治療回数は、3回になります。

C2大きい奥歯虫歯治療費用

C2で保険適用の金属(銀歯)をセットする治療は、1本約3,500円です。
それに加えて初診料や検査レントゲン代(約4,000円)がかかります。

他にクリーニングや歯石除去などの治療費用が加わることがあります。保険外の自費診療で、セラミックなどのつめ物をセットする場合は、約33,000円〜になります。

虫歯で歯が痛い時の保険治療費用について

C2大きい奥歯虫歯治療のつめ物

※テーブルは左右スクロールできます。

麻布十番の歯医者さんでシルバーインレーを詰めた状態のイメージ 麻布十番の歯医者さんでセラミックインレーを詰めた状態のイメージ 麻布十番の歯医者さんでジルコニアセラミックインレーを詰めた状態のイメージ
シルバーインレー セラミックインレー ジルコニアセラミックインレー
特徴 金属ですので、
強度がありますが、
アレルギーという問題と
目立つという問題があります。
天然の歯に色が非常に近く
、見た目が良いという材質になります。
硬さは、少し硬いですが、
馴染みも良いです。
非常に硬さが硬く
白いダイヤと呼ばれています。
そのため、歯ぎしり・食いしばりが
強い方へ使用します。
値段 約4,000円 66,000円(税込) 55,000円(税込)
保証 保険診療のため保証なし 2年 2年
臭い 臭う 臭わない 臭わない
精度 悪い 良い 普通
アレルギー あり なし なし
強度 強い 弱い 非常に強い
※2025年4月1日以降の価格となります

C2大きい奥歯虫歯治療後の痛み

虫歯が大きいですので、痛む可能性は高くなります。冷たい物でしみる・噛んで痛いという症状は、初めあると思っていた方が良いです。通常は、日に日になくなっていきますが、痛みが強くなる場合は、歯の神経治療が必要となります。

虫歯による痛みで顎付近を押さえている女性の写真

C3の虫歯治療方法

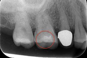
写真のレントゲンを見て頂くとわかると思います。赤丸の歯は、黒い影が歯の真ん中の黒い部分に達していますね。これが虫歯が歯の神経に達しているレントゲン写真になります。このような場合は、虫歯を取り除き歯の神経の治療が必要になり、その後に土台やかぶせ物の治療をします。

レントゲンは、柔らかければ柔らかいほど黒く写り、硬ければ硬い程白く写ります。そのため、虫歯は黒く写ってきます。

虫歯症例のレントゲン写真。虫歯は黒く写ります。

C3の虫歯治療手順

  1. 痛くないように前歯などは、表面麻酔を置きます。
  2. 浸潤麻酔を行い歯自体に麻酔を効かせていきます。
  3. 虫歯を削って全て取り除きます。
  4. 歯の神経治療をします。(平均4回)
  5. 歯の根に防腐剤をつめます。
  6. 土台を建てます。
  7. きれいに削って歯の形を整えます。
  8. 歯の型を採ります。
  9. かぶせ物をセットします。
  10. メンテナンスを繰り返します。

C3虫歯治療時間

おおよその時間ですが、治療時間は約30分位が目安になります。歯の神経の治療は、奥歯は難しい場合が多いですので、60分位かけてじっくりと行う場合もあります。

C3虫歯治療期間

虫歯の治療は、C2までは回数が2回くらいと少ない回数で治療期間が終わりますが、C3となると治療回数が一気に増えますので、治療期間が長くなります。週に1度のペースで通ってスムーズに終わって2ヶ月位かかります。

例えば、C3の歯が2本あった場合は、一度の来院で同時に2本の虫歯を治療する場合は、同時進行で進める場合もあり時間短縮にもなります。

C3虫歯治療費用

保険前歯の場合、型採りから装着まで、約8,000円です。

保険奥歯のCADCAM冠の場合、型採りから装着まで、約10,000円です。それに加えて初診料や検査レントゲン代(約4,000円)がかかります。他にクリーニングや歯石除去などの治療費用が加わることがあります。

保険外自費のかぶせ物は、5〜15万円の幅があり、患者さんのかみ合わせや見た目をどこまで重視するかで変わってきます。

コインが入っていた瓶と大量のコインの画像

C3治療の痛み

※テーブルは左右スクロールできます。

C3治療前の痛み C3治療中の痛み C3治療後の痛み
虫歯が歯の神経に達する痛みは、
体の全ての痛みの中で
最も痛みが強いと
言われています。
そのため、
通常我慢ができない
痛みになります。
治療中の痛みとしては
、痛みが強い場合は、
麻酔が効きにくい
という事が多々あります。
皆さん、痛くなってから
歯科医院に来ますので、
我々もなかなか麻酔が効かずに
手こずる場合があります。
治療後、
痛みなどがしばらくないが、
後から噛むと痛いという症状が
出る場合があります。
これは、虫歯により
歯の神経の治療を行なったが、
細菌が中に潜んでおり
後あと細菌が増えて
歯の根の先に膿を持つことがあります。

C3治療後の痛み

この治療後の痛みで考えられるのは、歯の根の先に膿が溜まっている場合です。虫歯が進行した際に、歯の根の中に隠れているような場合は、後から歯の根の先に膿が溜まって、噛むと痛いなどの症状が出ます。

治療中に細菌が残ってないのか?確かめることができないのか?と良く患者さんに聞かれることがありますが、残念ながら細菌を肉眼で確認することはできませんので確認が難しい状態です。

虫歯治療後に痛みを感じた女性の写真
根管治療についての詳細

C4虫歯の治療方法

虫歯が歯冠を崩壊して歯肉の下まで進行した場合は、抜歯が必要となります。抜歯後の治療方法は、入れ歯・ブリッジ・インプラントの3つがあります。いずれの場合も、抜歯後歯肉が回復してから処置を開始します。まれにインプラントで抜歯して即時埋入という方法を取る場合がありますが、好条件が整っていないと行えない手技です。

C4状態の虫歯症例の口腔内写真

C4の虫歯治療手順(入れ歯)

  1. 抜歯を行います。
  2. 歯肉の回復を待ちます。
  3. 両隣の歯の調整を行います。
  4. 入れ歯(義歯)の型を採ります。
  5. 入れ歯(義歯)をセットします。
  6. 入れ歯(義歯)の調整をします。
  7. メンテナンスで定期検診に入ります。
C4の歯を抜歯後入れ歯をセットした症例の口腔内写真
入れ歯(義歯)について

C4の虫歯治療手順(ブリッジ)

  1. 抜歯を行います。
  2. 歯肉の回復を待ちます。
  3. 両隣の歯を写真のように削ります。
  4. 型を採ります。
  5. かみ合わせをとります。
  6. ブリッジをセットします。
  7. かみ合わせの調整をします。
  8. メンテナンスで定期検診に入ります。
C4の歯を抜歯後ブリッジをセットした症例の口腔内写真

C4の虫歯治療手順(インプラント)

  1. 抜歯を行います。
  2. 歯肉や骨の回復を待ちます。(約3ヶ月)歯根の膿の大きさによります。
  3. インプラント手術をします。
  4. 上あご3ヶ月下あご2ヶ骨とインプラントが結合するのを待ちます。
  5. 2次手術でインプラントの頭出しをします。
  6. 型採りかみ合わせをとります。
  7. 仮歯をセットします。
  8. 仮歯で歯肉やかみ合わせの状態を確認します。
  9. 問題なければ最終的な型を採ります。
  10. 最終的なかぶせ物をセットします。
  11. メンテナンスで定期検診に入ります。
C4の歯を抜歯後インプラントを行う際の口内の構造を説明したイメージ図
インプラント治療について

C4虫歯治療時間

※テーブルは左右スクロールできます。

入れ歯 ブリッジ インプラント
治療の時間は、1回30分です。
その治療が、
6回くらい必要になります。
治療の時間は、
1回30分です。
その治療が、
6回くらい必要になります。
通常1度の診療時間は、

1回30分くらいで終わります。
インプラントを埋入する手術の場合は、
90分くらい必要になります。

C4虫歯治療期間

※テーブルは左右スクロールできます。

入れ歯 ブリッジ インプラント
2ヶ月
歯を抜いた後に傷が回復していれば問題なく、
入れ歯作製に入れます。
3ヶ月
入れ歯と同じになりますが、
抜歯した箇所が回復していれば、
隣の歯を削って型採りができます。
上あご4か月
下あご3か月

歯を抜く前にどれくらい膿が溜まっていたかで
治療の期間が決まります。
後は、歯周病も併発していた場合、
骨がどれくらい残っているかで
治療期間が変わります。

C4虫歯治療費用

※テーブルは左右スクロールできます。

入れ歯 ブリッジ インプラント
保険入れ歯は、
8,000円 
別途初診料や検査レントゲン代
(約4,000円)がかかります。
自費入れ歯は、
385,000~605,000円(税込)になります。
保険ブリッジの費用は、
型採りからかぶせ物セットまで
前歯15,000円、奥歯で10,000円
(別途初診料や検査レントゲン代
(約4,000円)がかかります。)
自費ブリッジの費用は、1本66,000~
187,000円(税込)となり、3本ブリッジの場合、198,000~561,000円(税込)かかります。
※ブリッジの本数や種類により金額が異なります。
別途仮歯代が、1本5,500~8,800円(税込)かかります。
インプラントは、
仮歯や手術代や上部構造(かぶせ物)
を含めて440,000円~495,000円/本(税込)になります。
※骨造成や歯肉移植など追加の処置は含まれていません。
※2025年4月1日以降の価格となります

C4治療の痛み

療前の痛み

歯の根の先に膿が溜まることにより、痛みが発生します。ひどいと痛みにより夜寝れなくなるくらいです。まずは、抜歯を行いしっかりと膿をとって、痛みを無くしましょう。

治療中の痛み

C4治療中の痛みは、膿が溜まって痛みが引かない場合は、麻酔が効きにくいという事です。このような場合、抗生剤を服用してもらい炎症をしずめてから抜歯となます。
入れ歯やブリッジの治療は、通常の浸潤麻酔で問題なく歯自体に麻酔をおこなって治療が行えますので、痛みは問題ないです。インプラントは、手術の際に痛みや恐怖心を感じる場合は、眠っている間にインプラント手術を受けることもできます。

治療後の痛み

入れ歯

入れ歯は、プラスティックでできていますので、噛んで強く当たる部位は、調整が必要になります。

ブリッジ

歯の神経が残って歯を削った場合は、虫歯が深くて削った場合と同じように、冷たいものでしみたり、噛んで痛みを感じたりすることがあります。しかし、日に日にその症状も和らいできます。痛みが強く続く場合は、歯の神経の治療を行いましょう。

インプラント

インプラントは、虫歯にはなりませんが歯周病になります。インプラントの周りが歯周病になると歯肉が腫れて炎症を起こし、放置していた場合脱落することもあります。

虫歯の予防法

虫歯の予防には以下のことをしていくと良いです。

  •  
  •  
  •  
  • 虫歯の予防方法 キシリトールの効果とは

    虫歯の予防に効果的な歯磨き粉とうがい薬のご紹介

    当院のオススメの歯磨きジェルとうがい薬のご紹介動画をご用意しました。ご参考までにご覧ください。

    治療後

    虫歯など歯科医院での治療などの後の、おすすめのお食事について動画で解説を致しました。ご参考までにご覧ください。

    虫歯治療の症例

    現在の治療費と異なる場合がございます。最新の治療費は料金表をご確認ください。

    症例① セラミックインレー

    治療前

    治療後

    年齢 60代女性
    主訴 歯がしみる
    治療方針 つめ物がすでに入っている歯です。そのため、見た目では虫歯があるかどうかわかりませんでしたので、レントゲンを撮影しました。すると、つめ物の中で虫歯になっていることがわかりました。虫歯は、とても大きくなっており神経に近い部分まで進行していました。
    治療内容 神経が保存できるかどうか経過をみるために、覆罩といって、神経を守るための処置を行いました。2ヶ月ほど経過を見て、症状が出ないことを確認して、つめ物の型をとり、つめ物をいれていきました。
    治療期間 3ヶ月
    リスク・副作用 治療後に冷たいものがしみるなどの症状がでることがあります。つめ物を入れた後に痛みなどの症状が出てしまう場合は神経を取り除く治療が必要になります。
    費用 ・セラミックインレー:55,000円(税込)

    治療前

    見た目では全くわかりませんが、レントゲンでは黒く抜けて虫歯になっていることがわかります。

    虫歯の見分け方

    治療中

    治療中①

    治療中②

    治療中①:つめ物をとったところ。茶色い部分は虫歯になっている。

    治療中②:染色液を用いて虫歯を選択的に取り除いた。歯はかなりなくなっており、神経近くまで進行していた。

    経過観察

    虫歯を取り除いた後、神経を守るためのお薬をつめて、2ヶ月ほど経過観察をした。

    治療後

    経過観察中に症状がでなかったため、セラミックのつめ物をいれていった。

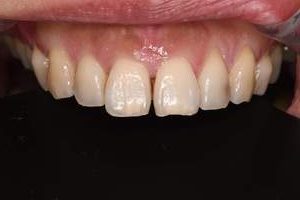
    症例② CR

    治療前

    治療後

    年齢 30代・男性
    主訴 右上1番
    治療内容 右上1番CR
    治療費 右上1番CR:約1.500円(保険診療3割負担)
    (2022年7月現在)
    治療期間 1日
    リスク・副作用 麻酔がきれた後に痛みがでる可能性がある。
    治療方針 口蓋側近心から虫歯をとり、CR充填を行う。
    特記事項 治療後痛みはでていない。
    担当者所見 唇側には広がっていなかったので、審美的な問題はおきないと考えられる。

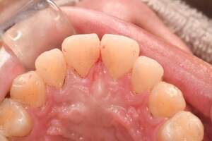
    症例③ CR

    治療前

    治療後

    年齢 40代・女性
    主訴 前歯の黒いのが気になる
    治療内容 右上2番、左上2番
    治療費 約2.200円(保険診療3割負担)
    (2022年6月現在)
    治療期間 1日
    リスク・副作用 麻酔がきれた後に痛みがでる可能性がある。
    治療方針 両側共に頬側遠心から隣接にかけて、虫歯をとって、CRをつめる。
    特記事項 虫歯になりやすい方なので、歯間の清掃指導を行った。
    担当者所見 虫歯が歯髄近くまで広がっており、しみるのが続く場合は抜髄の可能性がある。

    症例④ CR

    治療前

    治療後

    年齢 40代・男性
    主訴 右上1番欠けた左上1番虫歯
    治療内容 右上1番左上1番コンポジットレジン充填
    治療費 CR充填:約3,000円(保険診療3割負担)
    (2024年12月現在)
    治療期間 1日
    リスク・副作用 レジンは経年的に着色します。歯ぎしりなどがある方は詰めたレジンが再度欠けるリスクがあります。
    治療方針 右上1番は元々欠けていて、左上1番近心が虫歯になったタイミングで一緒に治療することになりました。
    担当者所見 形態は左上1番に合わせて整えました。
    今すぐ予約したい方
    03-3505-4618電話受付9〜19時半(土日は17:30まで)
    3日以降のご予約
    WEBから予約24時間受け付けております。

    麻布十番の歯医者さん・
    矯正歯科は痛みに配慮した、
    コミュニケーションにあふれる歯医者です。

    診療時間
    9:00〜13:00 -
    14:00〜19:30 - - -
    14:00〜17:30 - - - - -

    ※平日最終受付は19:00まで
    ※土日の最終受付は17:00まで
    [休診日]水曜・祝日

    AED
    TEL:03-3505-4618
    地図

    〒106-0044 東京都港区東麻布3-8-8 明商ビル1F
    大江戸線 麻布十番駅 6番出口より徒歩10秒
    南北線 麻布十番駅 6番出口より徒歩10秒
    Google マップを開く >