歯を綺麗にしたい

現在の治療費と異なる場合がございます。最新の治療費は料金表をご確認ください。
※2025年4月1日以降の価格となります

矯正治療・セラミック治療

歯並びの改善には全体的に歯を動かし、歯並びを変える矯正治療と前歯などの気になる部分のみ被せ物で整えるセラミック治療があります。

矯正治療は、ワイヤーやマウスピースを使い、全体的に歯を動かします。見た目が気になる方だけでなく、噛み合わせに問題がある方、歯並びの関係で歯が磨きにくく虫歯になりやすい方にもおすすめです。

セラミック治療は、前歯だけ曲がっているなど歯並びを部分的に改善したい方におすすめですが、適応でない場合もあります。

矯正治療

金属の詰め物や被せ物を白くしたい場合は、今の金属を削って取って型取りをし、セラミックなどの材料で詰め物や被せ物をつくっていきます。詰め物・被せ物共に種類が多くあるので、部位や歯の状態によって合うものをすすめさせていただきます。

セラミック治療

歯石とり/PMTC

歯についた歯石は、歯茎やお口全体の検査をしたうえで、保険で「歯石とり」ができます。

歯の表面についた着色はPMTCという方法でとることができます。

歯石取り

ホワイトニング

表面ではなく歯の本来の色を白くしたい場合は、ホワイトニングが適しています。

ホワイトニング

歯茎のピーリング

タバコなどでついた歯茎の着色をとるために、歯茎の表面を薬剤ではがし、歯茎本来の色に戻す方法です

歯茎のピーリング

詰め物(歯の一部分のみ覆っている)の種類

銀歯を白い詰め物に変えるには保険適応する素材が一部のケースを除いてありません。 保険外での白い詰め物は以下の2種類になります。

セラミックインレー

セラミックインレー
セラミックインレー

セラミックインレーは陶器の素材でできており、見た目も天然の歯と同じ色なので銀歯のようにお口の中で目立ってしまうこともなく、天然の歯と同じ透明感を再現することができ、審美的に美しい仕上がりになります。

耐久性に非常に優れた素材になっており、半永久的に使用し続けることができるといわれています。
ただし、歯ぎしりや食いしばりが強い方はまれに欠けてしまう可能性があるので、付けた後にマウスピースの装着をおすすめします。

セラミックインレーの特徴

セラミックインレーの費用

価格 66,000円/本
保証期間 2年

ジルコニアインレー

ジルコニアインレーはジルコニアという硬い素材でできており、耐久性に非常に優れた素材になっています。

金属と違い、白いのでお口の中で目立たないです。汚れがつきにくく、虫歯にもなりにくいです。セラミックに比べると色の再現性は劣ります。

ハイブリッドセラミックインレー

ジルコニアインレーの特徴

ジルコニアインレーの費用

価格 55,000円/本
保証期間 2年

インレー比較表

素材 自費・
保険
保証 価格 特徴
セラミック 自費 2年 66,000円 精度が良く虫歯になりにくい。
変色なくずっと綺麗なままです。
ジルコニア 自費 2年 55,000円 強度はナンバーワンです。
変色はありませんが、やや白く浮いた
感じになる可能性があります。
シルバー
(銀歯)
保険 × 3,000円(3割負担) 保険適応のため安価。
金属アレルギーの原因となる。
再度虫歯になるリスクが高い。
歯茎の色が変化することがある。

インレーの保証について

・セラミックインレー・ジルコニアインレーの保証期間:
2年
保証期間内にかけたり・割れたりした際は、無償で交換します。

・シルバーインレー:
保証はありません

保証においては、3ヶ月〜6ヶ月に1度の定期検診受診が条件となります。

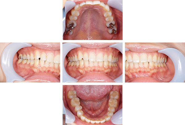
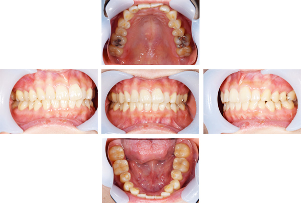
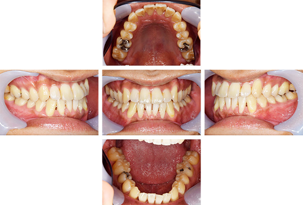
インレーの症例

現在の治療費と異なる場合がございます。最新の治療費は料金表をご確認ください。

インレー症例

治療前

途中経過

治療後

年齢・性別 43代・女性
主訴 パラジウムインレー2次カリエスの治療
治療内容 左上6セラミックインレー・
左上7ゴールドインレー
治療期間 10日程度
リスク・副作用 虫歯が深ければ、つけた後しみたり、痛みが出る可能性がある。 その場合は神経をとる処置をする。
歯ぎしり、くいしばりでセラミックインレーが割れることがある。
費用 セラミックインレー 55,000円
ゴールドインレー 88,000円

インレー症例

治療前

治療後

治療期間 8回(2ヶ月)
費用 ・セラミックインレー9本
 合計:495,000円
治療リスク・副作用 ・詰め物、被せ物をする時は自分の歯を削ることになります
・歯ぎしり・食いしばりが強い方は、セラミックが割れてしまうことがあります。

インレー症例

治療前

治療後

治療期間 4回(1ヶ月)
費用 セラミックインレー8本
 合計:440,000円
治療リスク・副作用 ・詰め物、被せ物をする時は自分の歯を削ることになります
・歯ぎしり・食いしばりが強い方は、セラミックが割れてしまうことがあります。

インレー症例

治療前

治療後

治療期間 4回(1ヶ月)
費用 ・セラミックインレー5本
 合計:275,000円
治療リスク・副作用 ・詰め物、被せ物をする時は自分の歯を削ることになります
・歯ぎしり・食いしばりが強い方は、セラミックが割れてしまうことがあります。

インレー症例

治療前

治療後

治療期間 8回(2ヶ月)
費用 ・セラミックインレー9本
 合計:495,000円
治療リスク・副作用 ・詰め物、被せ物をする時は自分の歯を削ることになります
・歯ぎしり・食いしばりが強い方は、セラミックが割れてしまうことがあります。

インレー症例

治療前

治療後

治療期間 4回(1ヶ月)
費用 ・セラミックインレー10本
 合計:550,000円
治療リスク・副作用 ・詰め物、被せ物をする時は自分の歯を削ることになります
・歯ぎしり・食いしばりが強い方は、セラミックが割れてしまうことがあります。

インレー症例

初診時パノラマ

初診時口腔内写真

iTero NIRI機能による診査

虫歯除去後

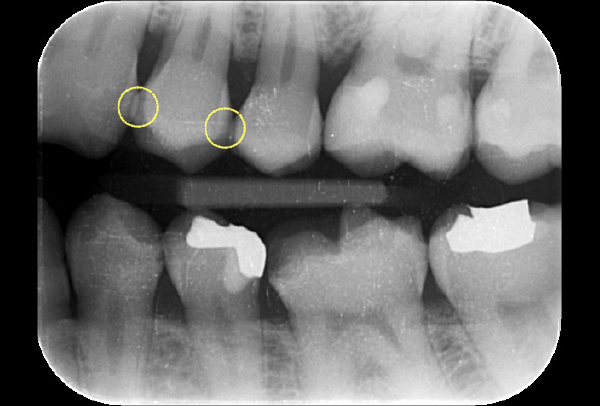
初診時バイトウィングデンタル

レントゲンだとちょっと虫歯が怪しいくらいに写っている。これだけだと確定診断としては、判断材料が少ないと考えられる。

黄色丸の部位が、他の部位と違って白く抜けがあるのがわかります。これがNIRI機能による虫歯の診査です。
この機能のおかげで、歯と歯の間の見つけにくい虫歯がよくわかるようになってきました。

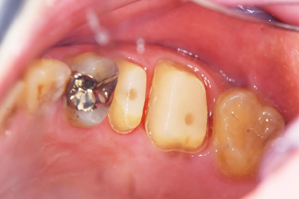
In(インレー)セット後

当院では自費のインレー(つめ物)の場合、ゴムのシートをかけてから詰めていきます。
ゴムのシートをすることで、歯面を最大限乾燥することができ、接着力が上がる他、操作時の材料の誤飲の防止、接着剤の歯肉縁下(歯ぐきの中)への侵入を防止するなどといったメリットがあります。(歯の並びによっては、ゴムのシートができないことがあります。また、シートをかけることで苦しくなる、苦手という方には無理に行いません。)

年齢・性別 40代・男性
主訴 左上の奥歯がしみることがある
治療内容 左上4の虫歯
治療期間 2週間
リスク・副作用 虫歯の大きさによっては、神経をとらないといけなくなることがあります。
また、虫歯が大きかったケースで神経を残した場合、治療後にしみるなどの
症状が続くことがあります。
費用 ・ジルコニアインレーで修復
55,000円
治療方針

IOSのNIRI機能によって虫歯部分が明らかになったので、虫歯を除去後に修復治療を行うこととしました。

特記事項

ラバーダムは歯とつめ物をくっつける際に非常に効果的です。
人間は呼吸をしますので、お口の中はかなり湿度が高くなっています。水が多い状態でものをくっつけようと思ってもなかなかくっつかないということと同じになります。
ですので、呼気中の湿度に左右されないようにするために、ラバーダムを用いて接着力を高くしています。
ラバーダムで息が苦しくなる場合は使用しませんし、ラバーのアレルギーがある場合も使用できません。

担当医師所見

虫歯の有無を確認する上で今まではレントゲンと自分の目での確認でした。現在は目で見るよりもはるかにわかりやすいIOSという装置がありますので、虫歯の発見がしやすくなりました。
そのため、患者さんの虫歯の進行の段階が早いうちにわかる様になり、神経をとらなければならないというケースが非常に少なくなっています。

被せ物(歯全体を覆っている)の種類

銀(金属)単体の被せ物を白い審美的な被せ物に変えるには、以下の7種類の素材からお選び頂けます。

ジルコニアボンド

オールセラミック プレミアム
オールセラミック プレミアム

ジルコニアといわれる硬いフレームの上にセラミックを焼き付けています。

ジルコニアを芯として使っているので強度もあり、周りの歯にあわせてつくるので、とても綺麗で周りの歯になじんだ色味となっています。

ジルコニアボンドの特徴

費用

価格 165,000円/本
保証期間 5年

オールセラミック

全てセラミックでできた被せ物です。透明感があり、周りの歯に調和した色味で作れます。強い衝撃がかかると欠けてしまうので、前歯用に用いられます。

オールセラミック スタンダード

オールセラミックの特徴

費用

価格 110,000円/本
保証期間 5年

メタルボンドクラウン

メタルボンドは金属のフレームにセラミックを焼き付けたものです。金属のフレームなので、耐久性が高く、セラミック部分の色味も綺麗に再現できます。

メタルボンドクラウン

メタルボンドクラウンの特徴

費用

価格 165,000円/本
保証期間 5年

ジルコニアクラウン

ジルコニアという耐久性に優れた素材でできています。

3種類のブロックの中から一番患者様の歯に近いお色味のものを選んで作ります。色の再現性に劣るので、奥歯に使用します。

ジルコニアクラウン

ジルコニアクラウンの特徴

費用

価格 55,000円/本
保証期間 2年

ジルコニアステインクラウン

ジルコニアという耐久性に優れた素材でできています。表面に色づけをしているので、見た目も比較的いいものとなっています。耐久性が優れているので、奥歯におすすめです。

ジルコニアステインクラウンの特徴

クラウン比較表(税込)

クラウン
素材
自費
/保険
保証
期間
価格 ブリッジ
適応
特徴
ジルコニアボンド 自費 5年 165,000円/本 精度がよく虫歯になりにくい
天然の歯のような透明感
耐久性が高く割れにくい
オール
セラミック
自費 5年 110,000円/本 × 精度がよく虫歯になりにくい
天然の歯のような透明感
耐久性が高く割れにくい
メタル
ボンド
クラウン
自費 5年 165,000円/本 精度がよく虫歯になりにくい
強度と、耐久性に優れている
透明感を出すことが難しい
金属を使用している
ジルコニア
クラウン
自費 2年 55,000円/本 × 耐久性が高い
天然の歯より硬い
噛み合う歯や顎へ負担がかかる
色が単色3色パターンのみ
ジルコニアステイン
クラウン
自費 2年 110,000円/本 耐久性が高い
歯を削る量が少ない
色にグラデーションが付けられる
金属を使用していない

白い詰め物、被せ物以外にも種類はありますのでご相談下さい。

クラウンの症例

※2021年4月現在の価格です。詳しくはお問い合わせください。

クラウンの症例

治療前

治療後

年齢・性別 33歳・男性
主訴 虫歯治療がしたい
治療内容 右上56根管治療後ファイバーコア、ジルコニアステインの形成
治療期間 約2ヶ月
費用 ジルコニアステイン110,000円×2
合計:220,000円
治療リスク・
副作用
色展開が6色のみ、天然の歯よりも硬い

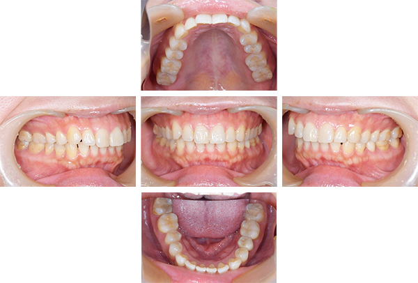
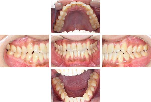
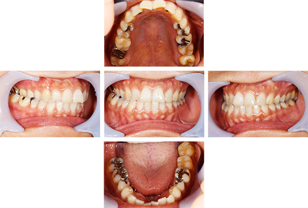
インレー・クラウン症例

治療前

治療後

治療期間 10回(3ヶ月)
費用 ・ハイブリッドセラミックインレー8本
・オールセラミッククラウン4本
 合計:704,000円
治療リスク・副作用 ・詰め物、被せ物をする時は自分の歯を削ることになります
・歯ぎしり・食いしばりが強い方は、セラミックが割れてしまうことがあります。

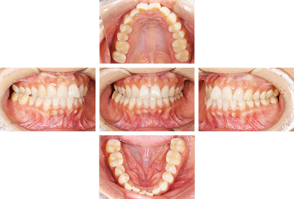
インレー・クラウン症例

治療前

治療後

治療期間 4回(1ヶ月)
費用 ・ハイブリッドセラミック
インレー2本
・オールセラミッククラウン1本
 合計:143,000円
治療リスク・副作用 ・詰め物、被せ物をする時は自分の歯を削ることになります
・歯ぎしり・食いしばりが強い方は、セラミックが割れてしまうことがあります。

インレー・クラウン症例

治療前

治療後

治療期間 4回(3ヶ月)
費用 ・セラミックインレー11本
・ジルコニアクラウン1本
 合計:660,000円
治療リスク・副作用 ・詰め物、被せ物をする時は自分の歯を削ることになります
・歯ぎしり・食いしばりが強い方は、セラミックが割れてしまうことがあります。

インレー・クラウン・インプラント症例

治療前

治療後

治療期間 16回(8ヶ月)
費用 ・インプラント(FCZ)1本
・セラミックインレー6本
・オールセラミックプレミアムクラウン6本
・FCZ6本
 合計:2,552,000円
治療リスク・副作用 ・詰め物、被せ物をする時は自分の歯を削ることになります
・歯ぎしり・食いしばりが強い方は、セラミックが割れてしまうことがあります。
セラミックについて

歯並び矯正治療・セラミック治療

歯並びの改善には全体的に歯を動かし、歯並びを変える矯正治療と前歯などの気になる部分のみ被せ物で整えるセラミック治療があります。

矯正治療は、ワイヤーやマウスピースを使い、全体的に歯を動かします。見た目が気になる方だけでなく、噛み合わせに問題がある方、歯並びの関係で歯が磨きにくく虫歯になりやすい方にもおすすめです。

セラミック治療は、前歯だけ曲がっているなど歯並びを部分的に改善したい方におすすめですが、適応でない場合もあります。

歯並びが悪い
矯正治療 詳細はこちら セラミック治療 詳細はこちら

クリーニング・ホワイトニング

歯についた歯石は、歯茎やお口全体の検査をしたうえで、保険で「歯石とり」ができます。

歯石取り 詳細はこちら

歯の表面についた着色はPMTCという方法でとることができます。

PMTC 詳細はこちら

表面ではなく歯の本来の色を白くしたい場合は、ホワイトニングが適しています。

ホワイトニング 詳細はこちら
PMTC

ホワイトニング(審美歯科)とは

ホワイトニング剤により歯の黄ばみ色素を分解し本来の歯の色よりも白く仕上げる方法です。ご自身の歯を削ることなく自然な白さを得られます。

審美歯科

ホワイトニングとその種類・特徴

  最も効果が高い
デュアルホワイトニング
医院で簡単に
オフィスホワイトニング
自宅で好きな時に
ホーム
ホワイトニング
来院回数 2回 1回 2回
仕上がり ・色むらが少なく奥歯まで全ての
歯が白くできる
・最短で高い効果を得やすい
・笑った時に見える前歯のみ白くできる
・回数は理想の白さに応じて変わる
・奥歯まで全ての歯を白く
することができる
・色むらの改善ができる
金額 ¥14,300 ¥3,300 ¥11,000
こんな方におすすめ ・最短でできる限り白くしたい
・白い歯を維持し続けたい
・自宅ではなく医院に通って行いたい
・その日にすぐ白さを手に入れたい
・奥歯まで全ての歯を白くしたい
・医院に通う時間がない

オフィスホワイトニング

手軽に歯を白くしたい!忙しくホームケアが難しい方はプロにお任せ!

医院にて歯科医師または歯科衛生士がホワイトニング剤と照射器を用いて行うホワイトニングで

オフィスホワイトニング

特徴

  1. 忙しい方におすすめ
  2. 1回から可能
  3. 来院したその日に白くできる(色の後戻りが起こりやすい)

ホームホワイトニング

好きな時間にご自宅で手軽に!

ぴったりフィットするあなた専用のマウスピースを作成しジェルを用い行います。

ホームホワイトニング

特徴

  1. 奥歯まで全ての歯を白くできる
  2. 色の後戻りが起こりづらい
  3. 色むらが改善できる

デュアルホワイトニング

オフィスとホームのいいとこ取り!

2つのホワイトニングを掛け合わせ最短で白くし、白さを長持ちさせます。

誰から見ても綺麗な仕上がりを目指したい方にオススメです。

ラミネートベニア

特徴

  1. 理想の白さまで最短で近づける
  2. 色の後戻りが起こりづらい
  3. メンテナンスが楽になる

麻布十番の歯医者さん・矯正歯科ホワイトニングの特徴

低価格

自費診療のホワイトニングは医院により値段設定が様々ですが麻布十番の歯医者さん・矯正歯科では3,300円(税込)からスタートできます!低価格ですが効果が低いわけでははないのでご安心ください。

丁寧なカウンセリング

担当医師または衛生士が施術前に丁寧にヒアリングを 行い、患者様のご希望に寄り添うご提案をさせて頂きます。(この日までに白くしたいなど期間がお決まりの方は遠慮せずおっしゃってください)

ホワイトニングの知識

歯を白くする3つのメリット

好印象を与える

白く輝く歯は“清潔感”・“知性”を印象付け異性・同性問わず好印象を与えることができます。海外では白い歯も出世の条件となるほど白い歯は好感を与え信頼に繋がります。

若く見える

黄ばんだ歯は老けて見えてしまう要因となります。ある調査では歯が白いことにより平均で5歳若く見えるそうです。また白い歯は周囲の肌の透明感がまし綺麗に見えることに繋がります。

自信がつく

歯が白くなると自信を持って笑えるようになり笑顔が増えたという方が多数います。相手の目線が口元に行っても堂々としていられるため自信を持って会話ができたり、笑顔が増えることで周囲とのコミュニケーションが円滑になったという方も多いです。

ホワイトニングの効果

ホワイトニングの症例

※2021年4月現在の価格です。詳しくはお問い合わせください。

デュアルホワイトニング症例

治療前

治療後

年齢 30代女性
主訴 歯を白くしたい
治療
方針
オフィスホワイトニング
ホームホワイトニング
治療
期間
6ヶ月(患者様の都合でゆっくり治療しました)
費用 カウンセリング 0円
55,000円(税込)

デュアルホワイトニング症例

治療前

治療後

年齢 30代
主訴 パッと見て清潔な歯の白さにしたい
治療
方針
オフィスホワイトニング3回
ホームホワイトニング3ヶ月
ホームケアとしてスーパースマイル
スーパースマイルアクセラレータ
治療
期間
2ヶ月半
費用 カウンセリング 0円
82,500円(税込)

デュアルホワイトニング症例

治療前

治療後

主訴 歯を白くしたい
治療
方針
オフィスホワイトニング3回
ホームホワイトニング
治療
期間
1ヶ月
費用 カウンセリング 0円
20,900円(税込)

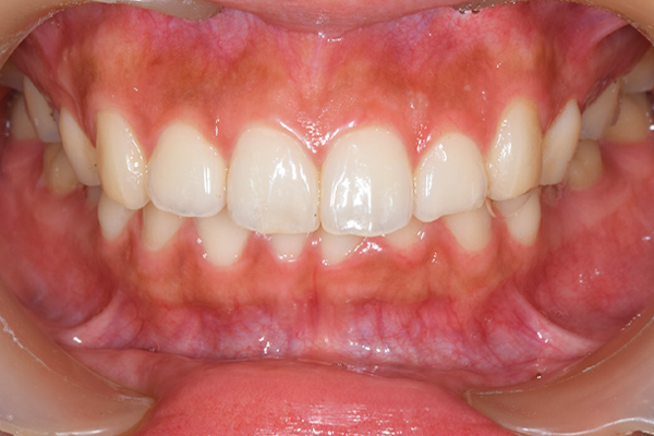
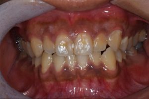
ホワイトニング症例

治療前

治療後

主訴 ホワイトニング
治療
方針
失活(歯の神経がない)
歯へのホームホワイトニングも成功した。
治療
期間
2週間
費用 カウンセリング 0円
5,500円(税込)

デュアルホワイトニング症例

治療前

治療後

主訴 ホワイトニング
治療
方針
オフィスホワイトニング2回
ホームホワイトニング
治療
期間
1ヶ月
費用 カウンセリング 0円
17,600円(税込)

オフィスホワイトニング症例

治療前

治療後

主訴 着色除去・ホワイトニング
治療
内容
オフィスホワイトニング3回
治療
方針
着色を除去しオフィスホワイトニングを行った
治療
期間
1週間
費用 9,900円
担当
者所見
ホワイトニングを行ったことで着色も付きづらくなり、ホワイトニング歯磨き粉(スーパースマイル・アクセラレータ)の使用により白さのキープが出来ている

オフィスホワイトニング症例

治療前

治療後

主訴 歯を白くしたい
治療
内容
オフィスホワイトニング5回
治療
方針
オフィスホワイトニング
治療
期間
1ヶ月
費用 合計16,500円
オフィスホワイトニング5回 16,500円
(2022年7月現在)
リスク
副作用
知覚過敏が起こる・ホワイトスポット出現の可能性があります。 詰め物・被せ物は白くなりません。
ホワイトニングの効果は永久的ではなく徐々に色戻りします。
担当
者所見
短期間で白さが得られたと患者さまも満足されていました。白さのキープの為にホームホワイトニングも行う予定です。

インレー・クラウン・ホワイトニング症例

治療前

治療後

治療期間 11回(4ヶ月)
費用 ・ハイブリッドインレー7本
・ジルコニアクラウン2本
・ホワイトニング:5回
 合計:430,500円
治療リスク・副作用 ・詰め物、被せ物をする時は自分の歯を削ることになります
・歯ぎしり・食いしばりが強い方は、セラミックが割れてしまうことがあります。

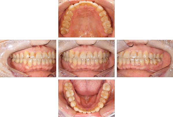
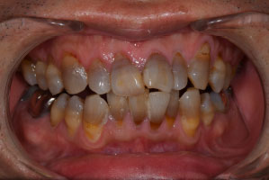
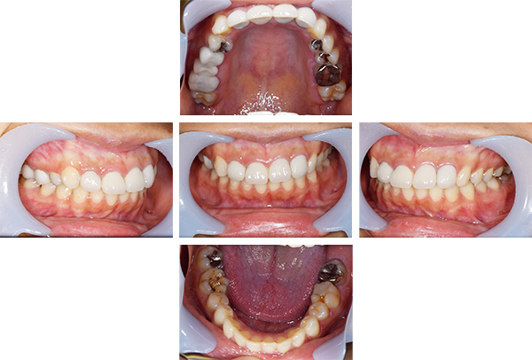
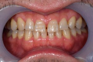
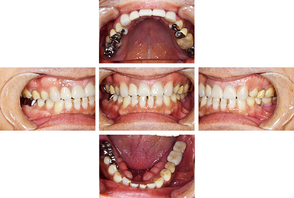
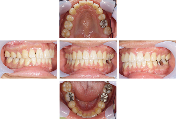
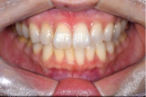
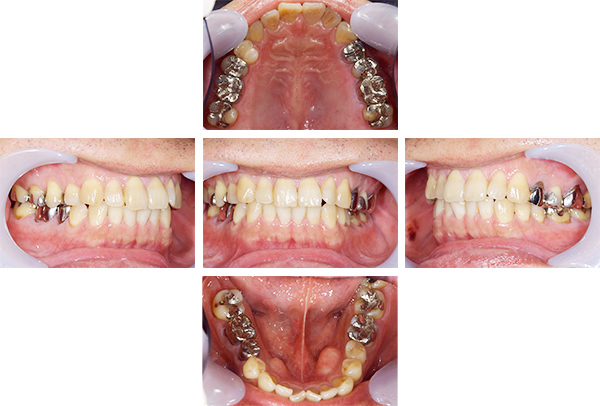
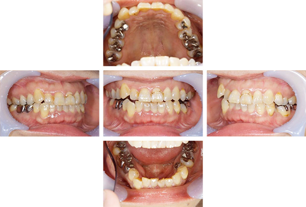
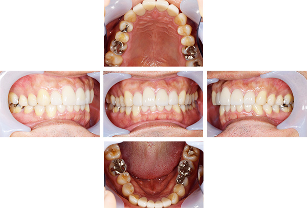
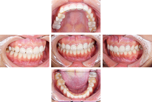
歯列矯正・インレー・クラウン症例

前歯が黒っぽいのが気になる、
悪いところは全部治したい

年齢 54代女性
主訴 歯をきれいにしたい
治療
期間
4年
費用 セラミックインレー 12本 
660,000円
オールセラミックプレミアムクラウン 3本 
495,000円
矯正 874,900円
計 2,029,900円(税込)

※全て税込となります。

 

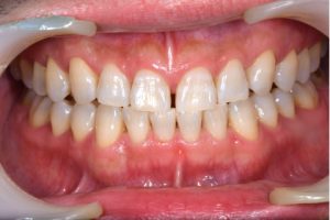
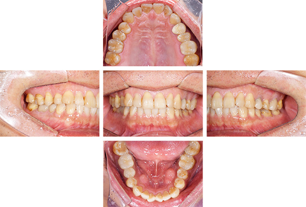
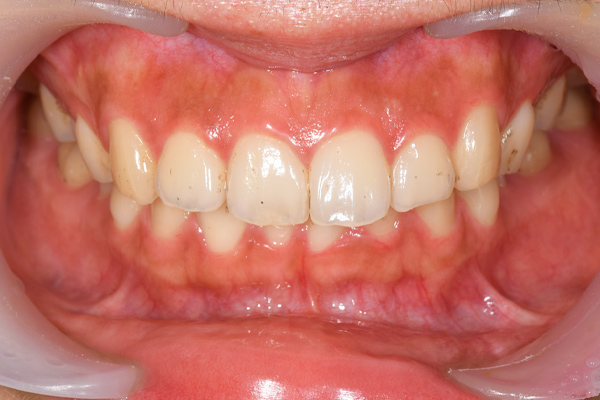
症例写真(治療前)

担当医師所見

治療前:
八重歯が目立ちます。また銀歯もおおく、見た目が気になります。虫歯も散見できます。

レントゲン写真(治療前)

担当医師所見

根の治療を3本すでに治療されています。1本根の奥の詰め物が疎になっていますので、根の部分の再治療も行う必要がありそうです。銀歯の中で虫歯になっているものもあります。

治療中

担当医師所見

矯正装置をつけています。だんだん八重歯が動いてきているのがわかります。今回のケースでは、抜歯を行わずに矯正ができました。

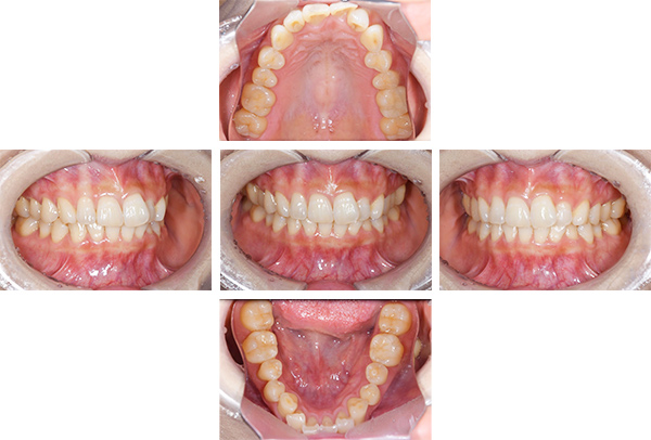
症例写真(治療後)

担当医師所見

矯正装置をつけています。だんだん八重歯が動いてきているのがわかります。今回のケースでは、抜歯を行わずに矯正ができました。

治療後:
矯正治療と虫歯の治療すべて終わったときの写真になります。見た目も最初の頃とは全く違いますし、お口の中もすごく綺麗です。

治療
方針
まずは虫歯の治療を行い、被せ物をする部分は仮歯をいれて矯正を行う。矯正終了後、仮歯の部分を最終的な被せ物に変えていく。また気になっていた銀歯もセラミックに変えて終了となった。
治療
内容
セラミックインレー、オールセラミックプレミアム、矯正
特記
事項
虫歯の治療によって歯が一時的に染みるようになる可能性があります。また、歯を抜かずに矯正を行っていますが、全ての方で歯を抜かずに矯正ができるわけではありません。

治療リスク・副作用

・詰め物を銀歯からセラミック等のインレーに変えると、歯がしみることがある
・被せ物をやりかえる時は中で大きく虫歯になっていたり、歯が割れている場合は抜歯になることもある
・インプラント治療は骨と結合するのに期間がかかるが、個人差がある
・ホワイトニング後は歯がしみることがある
・詰め物、被せ物をする時は自分の歯を削ることになります

歯茎ピーリング

タバコなどでついた歯茎の着色をとるために、歯茎の表面を薬剤ではがし、歯茎本来の色に戻す方法です。

歯茎のピーリング 詳細はこちら
歯ぐきの色を綺麗にしたい
今すぐ予約したい方
03-3505-4618電話受付9〜19時半(土日は17:30まで)
3日以降のご予約
WEBから予約24時間受け付けております。

麻布十番の歯医者さん・
矯正歯科は痛みに配慮した、
コミュニケーションにあふれる歯医者です。

診療時間
9:00〜13:00 -
14:00〜19:30 - - -
14:00〜17:30 - - - - -

※平日最終受付は19:00まで
※土日の最終受付は17:00まで
[休診日]水曜・祝日

AED
TEL:03-3505-4618
地図

〒106-0044 東京都港区東麻布3-8-8 明商ビル1F
大江戸線 麻布十番駅 6番出口より徒歩10秒
南北線 麻布十番駅 6番出口より徒歩10秒
Google マップを開く >