現在の治療費と異なる場合がございます。最新の治療費は料金表をご確認ください。
歯ぐきの黒ずみを解消する
「歯ぐきピーリング」って知ってる?

歯のホワイトニングはみなさんなんとなく聞いた事のある方も多いかと思います。実は歯ぐきもキレイで健康的なピンク色にできるのはご存知ですか?
歯並びや歯のホワイトニングももちろん大事ですが、歯ぐきの色が変わるだけで印象がだいぶ変わり、お口元がよりキレイに見えます!遺伝、コーヒーや赤ワイン、紫外線等のメラニン沈着に関しては、実はお薬を塗るだけでキレイにすることができるのです。
歯のホワイトニングももちろんすごく綺麗になりますが、全体の印象を明るくする為に歯ぐきのピーリングをしてみるのもオススメです!
歯ぐきピーリングのやり方
- 表面に麻酔を塗ります
- フェノール(歯ぐきの黒ずみを取るお薬)を塗ります
- エタノール(お薬を中和してくれる)を塗ります
- 水洗・乾燥
費用
上下両顎:11,000円(税込)
片顎:5,500円(税込)
時間
施術時間は10分もかかりません。来院してから、お会計まで30分程度です。
こんな方におすすめ!
- 喫煙する方、していた方
- コーヒーや紅茶、赤ワインをよく飲む方
- 接客業・人に見られる仕事をする方
- ホワイトニングやセラミックを入れたのに口元が
明るく見えない気がする - 歯ぐきが黒くて、淡い色の口紅が似合わない
- 結婚式を控えている
歯ぐきピーリングの対象とならない方
- かぶせ物等の金属で歯ぐきが黒ずんでいる方は
正直あまり効果が期待できません - 妊娠中の方
- 18歳未満の方
- フェノールやアルコール類の薬剤に
アレルギーがある方 - 歯肉炎、歯周病等歯ぐきに炎症がある方
施術後の注意事項
- 刺激物や辛い食べ物は施術後避けてください。
- 個人差ありますが、3日から5日間程度歯ぐきが
白っぽくなります。 - 皮が剥けてくるのですが無理やり引っ張ったりして
はがさない様にしてください。
自然にむけるのをまちましょう。 - 痛みの感じ方には個人差がありますが、
ヒリヒリする感じがあります。 - 施術した部位はゴシゴシできませんが、
歯磨きやうがい等で清潔に保つ様にしましょう。 - 効果の継続に関しては個人差がありますが、キレイなピンク色を持続させたい方は、検診の際にお色味をみて担当歯科医師、歯科衛生士と相談しながら定期的に行うことでキープできます。
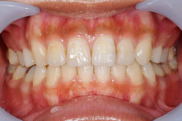
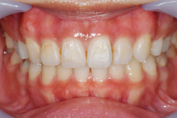
症例1
治療前

治療後

| 年齢・性別 | 30歳・男性 |
|---|---|
| 主訴 | 歯ぐきの色が気になる |
| 治療内容 | 治療費:ガムピーリング・上下顎11,000円 |
| 治療回数 | 1回30分 |
| リスク・副作用 | ピーリング後は一時的に歯ぐきの色が白くなりますが、10日程度で健康的な歯ぐきになります。痛みには個人差がありますが、やけどをしたようなヒリヒリ感を感じることがあります。 黒ずみが濃いなどの理由でご希望のお色味にならない場合は何度か施術を受けていただく必要があります。 |
症例2
治療前
治療後
| 年齢・性別 | 39歳・男性 |
|---|---|
| 主訴 | 歯ぐきの色が気になる |
| 治療内容 | 上下顎ガムピーリング |
| 治療費 | 11,000円(2022年10月現在) |
| 治療期間 | 1回30分 |
| リスク・副作用 | 一時的に歯ぐきが白くなりますが、10日程度でピンク色の歯ぐきになります。施術後はやけどをしたようなヒリヒリ感が出ることもあります。 |
| 担当者所見 | 定期的に繰り返し施術することで更にピンク色に近づけることも出来ます。 |
症例3
治療前

治療後(約1週間後)

| 年齢・性別 | 39歳・男性 |
|---|---|
| 主訴 | 上下前歯唇側歯肉の歯肉の色が気になる |
| 治療内容 | 上下顎ガムピーリング |
| 治療費 | 11,000円(2023年2月現在) |
| 治療期間 | 1回30分 |
| リスク・副作用 | ・薬剤の効果により一時的に歯肉が白くなります ・個人差はありますが術後ヒリヒリとした痛みを感じることがあります ・フェノール・アルコール類のアレルギーがある方は行えません ・生活習慣によっては後戻りする可能性があります ・効果には個人差があり色素沈着が深部に浸透している場合は回数がかかることがあります |
| 担当者所見 | タバコをやめたことをきっかけに歯茎を綺麗にしたいと来院されました。 特に下顎右側は長年の喫煙の影響で暗黒色になっており、深部までの沈着は1度ではとりきれないことが予想されました。 しかしピーリング後1週間の状態を見ると、かなり薄色化しており患者様も結果に満足してくださったので1度で終了し今後経過を見ることになりました。 歯茎が綺麗になったことがきっかけでホワイトニングにも興味を持ってくださり今後は歯のクリーニング・ホワイトニングを行なっていく予定です。 |