歯のクリーニング

現在の治療費と異なる場合がございます。最新の治療費は料金表をご確認ください。

保険証を持参の方

歯のクリーニングをしたい(ご来院)
歯科衛生士がお口の状態をチェック
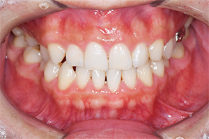
歯ぐきの腫れ・炎症・出血がある方
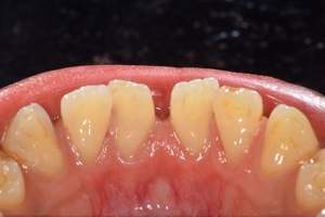
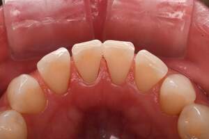
歯ぐきが健康な状態の方

保険診療
4,000円~
5,000円
(保険3割負担)

※初診時や口内環境の状態によりレントゲン撮影を行うことがあります。
その場合は、別途費用が発生いたします。

自由診療 
8,800円(税込)

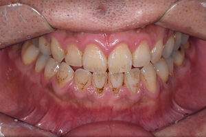
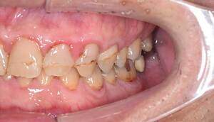
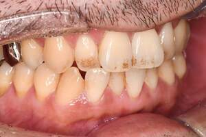
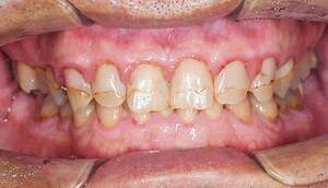
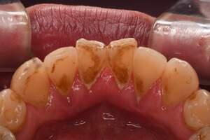
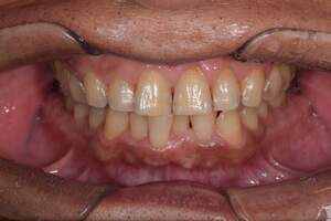
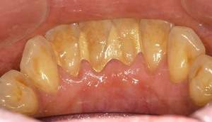
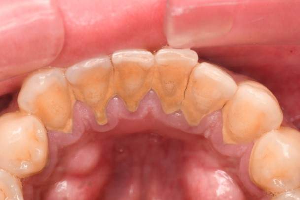
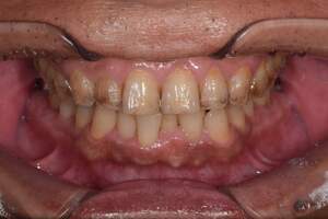
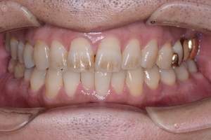
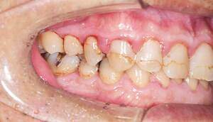
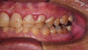
過去にこんな経験をされたことありませんか?

クリーニングの流れ
(施術中に歯科医師の口腔内チェックが入ります)

STEP1: 口腔内のチェック・カウンセリング

患者さまのお口の中の検査をし、前回の検診から痛みや口内のお困りごと、体調の変化がないかお話を伺います。
検査結果を元に患者さまのご要望も伺い患者さまのお口の状態にあわせてクリーニングを進めていきます。

※必要に応じて、口腔内写真やレントゲン撮影をすることがあります。その場合は別途費用が発生することがあります。詳しくは担当スタッフよりご案内いたします。

STEP2: ブラッシング指導

普段の磨き残しが目立つ部分やブラッシング圧、ゴシゴシと大きなストロークになっていないかをチェック。
染め出し剤を使うことで、普段の歯磨きで磨けていない部分が赤く染まります。
赤く染まった部分を確認しながら患者さまの歯の形状に合わせ、ブラッシングが苦手な部分へのアプローチの仕方などアドバイスいたします。

※ブラッシング指導時に染め出しを行うことがあります。染め出しした色が唇などにつく場合があります。クリーニング後の会議や外出の予定は控えることをおすすめします。

STEP3: 歯垢・歯石を取り除く(除去)

先端から超音波を発生させる特殊な器具を使い、歯の表面や歯ぐきに付着した歯垢・歯石を取り除いていきます。

※口内環境(歯周病の方や歯石が付いている方)が悪い場合、痛みを感じることがあります。
※万が一、痛みを強く感じる場合は衛生士にご相談ください。

STEP4: 着色の除去・歯の表面の清掃(PMTC)

柔らかい専用のブラシと研磨剤を含むペーストを使用し、歯の表面を磨くことで着色を落とし、表面をツルツルに仕上げていきます。
歯本来の色を取り戻せるとともに歯質の強化にも繋がります。

STEP5: 歯の間の清掃

フロスを使って、歯の間の溝に残った歯垢を最後に綺麗に取り除いていきます。

STEP6: フッ素塗布

虫歯予防・歯質強化のためフッ素を塗布していきます。

※患者さまの口内環境により1度で終わらないことがあります。その場合は、衛生士より説明いたします。ご理解いただきますようお願いします。
※クリーニングの流れは患者さまにより順番や手順が前後する場合がございます。

オプション

ホワイトニング

オフィスホワイトニング・・・4,400円(税込)

※歯科医院で行うホワイトニングの施術

ホームホワイトニング・・・13,200円(税込)

※ご自宅でできるホワイトニング

定期検診では歯に付着した着色を落としますが、ホワイトニングのように白くすることはできません。
歯を白くしたい方は、ホワイトニングをおこなうことで希望の色味に近づけることができます。

クリーニングの特徴

歯科医院で歯のクリーニング(定期検診)を受診したことがありますか?
日頃の歯ブラシで落とせる歯の汚れは約60%前後だと言われています。

毎日の歯ブラシケアで残った約40%の汚れが蓄積することで、虫歯や歯周病などお口のトラブルを引き起こす原因になります。

また、蓄積された汚れ(プラーク)が唾液中のミネラルと結合することで歯石になります。
残念ながら一度できた歯石は、歯ブラシで落とすことができません。

歯科医院の定期検診(クリーニング)を受診することで、蓄積してできた歯石を取り除く、虫歯の早期発見など、虫歯・歯周病予防にもつながります。

歯の表面がツルツルになることで歯ブラシでは感じることのない、口内の爽快感も味わうことができます。

スタッフが、患者さまのお口の健康を守るお手伝いをします。

クリーニングにまつわるQ&A

歯のクリーニングとホワイトニングの違いはなんですか。
歯のクリーニングは、歯垢・歯石の除去、着色を除去することで、歯本来の白さを取り戻すことができますが、歯の色を白くすることはできません。
歯本来の色よりも白くしたい場合は、ホワイトニングをあわせることで希望の色味に近づけることができます。
クリーニングの施術中に痛みはありますか?
痛みが出ないように施術を進めています。
しかし、使用する器具から水がでるため知覚過敏の症状で歯がしみることがあります。
また、歯周病が進行していた場合は、歯ぐきの中の歯石を取り除く際に痛みを感じる方もいます。
少しでも「痛い」と感じたら、歯科衛生士にご相談ください。
クリーニングに通う頻度はどのくらいですか。
通常は、3ヵ月~6ヵ月に一度です。
しかし、日頃の歯磨きの仕方(磨き残し等)や歯並び等によりお口の中の状態は異なります。
そのため、クリーニングに通う頻度も患者さま一人ひとりによって変わってきます。
お口の中の状態を確認し、歯科衛生士から詳しくご説明します。
歯のクリーニングの保険診療と自由診療の違いはなんですか。
治療を目的とした歯石除去などの場合は、保険診療。
予防を目的とした場合は、自由診療になります。
男性でもクリーニングを受けることはできますか。
男性・女性に関わらず、予防歯科の観点からクリーニングを受診される方も多くなっています。
また、ホワイトニングも男性の患者さまから好評の施術の一つです。

歯のクリーニングの必要性

歯周病や虫歯の予防のために

初めまして麻布十番の歯医者さん・矯正歯科です!いきなりですが、なぜ歯の歯のクリーニングが重要かご存知ですか?

それは、ズバリ!歯のクリーニングが歯周病や虫歯の予防になるからです!

歯科医院でのクリーニングやお家でのセルフケアを正しく行うことで虫歯や歯周病の原因となる細菌数を減らし増えにくい状態を作ります。

クリーニングは、未来の自分へ繋がるご褒美

歯ブラシが苦手・不安な方や歯ブラシが得意な方でも、取りきれない汚れなどが残ってしまうため1度クリーニングにいらしてはいかがでしょうか?

歯のクリーニング定期的にしていますか?ひとくくりに歯のクリーニングといっても保険適用と自費診療があり、歯石とりや着色とりなど種類があり
ます。

歯石とりをしたい(保険診療)

歯石取り

所要時間 60分
価格 4,500円程度
内容 ・パノラマ(レントゲン)
・口腔内写真
・虫歯チェック歯周病検査
・歯石除去
こんな方におすすめ ・歯石が気になる
・保険内でクリーニングを行いたい
・歯周病治療を行いたい
・検査とクリーニングを同時に行いたい

※保険内でクリーニングを行う場合は各種検査が必要です

歯石取りはこのように行います

  1. レントゲン:
    歯を支える骨の状態や歯ぐきの中の歯石の着き具合をみます。劣化して合わなくなってしまった被せ物なども汚れが溜まりやすい原因です。レントゲンでは表面的には診査しきれない部分のチェックを行います。
  2. 歯ぐきの検査:
    歯と歯ぐきの境目の歯周ポケットと言われる溝の深さを図り、歯ぐきの健康状態のチェック・歯石がどこについているかの探知を行います。
    この検査結果で器具の選択やアプローチ方法を考えます。
  3. 歯垢・歯石の着き具合のチェック:
    実際にお口の中を拝見し歯垢・歯石がついている場所をチェックします。
  4. 超音波スケーラーによる歯石とり:
    音波振動とお水が出る機械を使って歯石を粉砕し取っていきます。機械によりしみてしまう方やペースメーカーを使用していて超音波スケーラーを使用してのクリーニングが行えない方は遠慮せずにおっしゃってください。
  5. フロス:
    歯石が残っていないかの確認・歯間の歯垢除去を目的に行います。
  6. 歯周病・虫歯のチェック:
    各種検査をしてからクリーニングを行いますが歯垢や歯石がある状態では全てを発見しきれません。
    汚れの下に隠れていた虫歯や歯周病の確認を行います。
治療と共に保険診療で行う
クリーニング

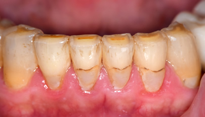
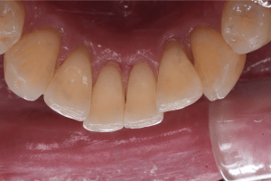
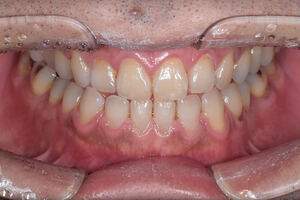
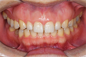
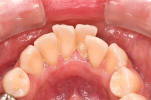
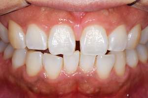
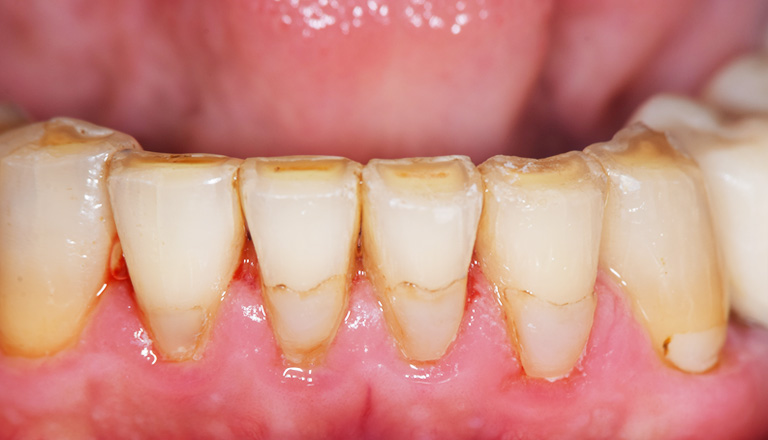
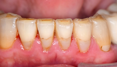
保険クリーニング 歯石除去の症例

現在の治療費と異なる場合がございます。最新の治療費は料金表をご確認ください。

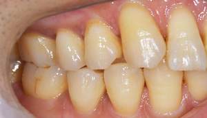
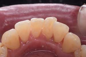
クリーニング前

クリーニング後

5,500円程度
歯石除去 ブラッシング指導と歯石除去を行うことで歯ぐきの炎症が
治まりました。
治療内容 ・パノラマ(レントゲン)
・口腔内写真
・虫歯チェック歯周病検査
・歯石除去
費用 4,500 円程度
リスク 歯を白くする目的の施術ではありません。

着色を落としたいPMTC(自由診療)

現在の治療費と異なる場合がございます。最新の治療費は料金表をご確認ください。

P:プロフェッショナル(歯科医師・衛生士による)
M:メカニカル(機械的な)
T:トゥース(歯の)
C:クリーニング(歯面清掃)

PMTCって何?

着色除去

所要時間 60分
価格 5,500円程度
内容 ・着色(やに・茶渋)除去
・バイオフィルム除去
こんな方におすすめ 着色をとって綺麗にしたい
虫歯・歯周病予防をしたい
保険のクリーニングにプラスして行うこともPMTCのみの施術も可能です

PMTCの説明動画

PMTCの説明動画をご用意いたしましたので、ぜひご覧ください。

 

自費診療で行う
クリーニング

現在の治療費と異なる場合がございます。最新の治療費は料金表をご確認ください。

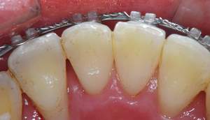
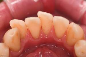
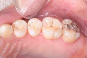
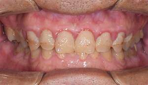
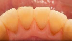
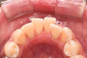
PMTCのみの症例①

クリーニング前

クリーニング後

PMTC 着色を除去することにより本来の歯の白さに戻りました。
治療内容 ・着色(やに・茶渋)除去
・バイオフィルム除去
費用 5,500 円程度
リスク 歯を白くする目的の施術ではありません。

PMTCのみの症例②

治療前

PMTC

治療後

PMTC
年齢 48歳・男性
主訴 着色を取りたい
治療内容 着色除去(PMTC)
治療期間 30分
費用 PMTC 5,500円(自費診療)
リスク・副作用 ・生活習慣(喫煙・コーヒーなど)により再度着色することが
あります。
・PMTCは歯を白くするものではなく着色・バイオフィルムの除去を目的としています。
・保険適用外の施術です。

着色を落としたいエアフロー(自由診療)

現在の治療費と異なる場合がございます。最新の治療費は料金表をご確認ください。

着色除去

所要時間 30分~60分
価格 5,500円(税込み)
内容 ・歯垢(プラーク)除去
・着色(ヤニ・茶渋)除去
こんな方におすすめ 着色汚れが気になる方
矯正装置が付いている方
インプラントや補綴物(インレー・クラウン・ブリッジ・義歯)などが入っている方
エアフローって何?

トータルクリーニング

歯石取りもしたいし歯の着色汚れも落としたい方はトータルクリーニングがおすすめです!
歯石除去処置後にPMTCを行うと効果的!虫歯・歯周病予防を行いながら歯の着色など外部的な汚れ落とし見た目の改善もできます。久しぶりの歯科受診の方や、虫歯リスク・歯周病リスクが高い方はぜひトータルクリーニングを受診しましょう!

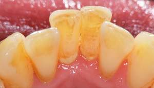
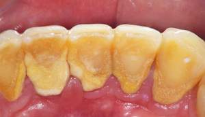
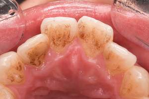
スケーリング・PMTCで除去する「歯石」
「プラーク(歯垢)」

歯の表面をこするとすぐ取れる白くて柔らかい粘着物質を「プラーク(歯垢)」といいます。この「プラーク」は、食べかすではなく細菌のかたまりで、虫歯菌や歯周病菌のすみかとなります。歯に付着したまま放置していると唾液のカルシウムと結合して石灰化が始まります。

この石灰化は、プラークが歯に付着してから、4~5時間で始まり、48時間後に「歯石」へと変わります。そして硬化していきます。硬くなると除去が難しくなります。

もしクリーニングをしないまま放置しておくと更なる硬化を続け、歯ぐきの中にまで進行していきます。ここまで放置してしまうと麻酔をかけて除去する必要があります。
放置しておけばおくほど痛みを伴う治療へと進行してしまいます。そうなる前にPMTCで取り除き、虫歯歯周病も予防しましょう。

虫歯について 歯周病について
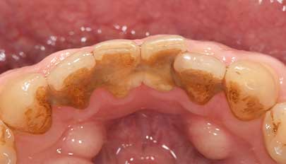
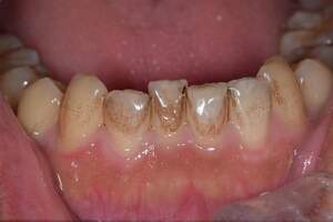
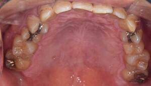
トータルクリーニング症例
歯石とり+PMTC

現在の治療費と異なる場合がございます。最新の治療費は料金表をご確認ください。

トータルクリーニング 歯石とり+PMTC
(保険診療と自由診療処置後)

クリーニング前

クリーニング後

歯石除去とPMTC 歯石を取りPMTCにて歯の表面のバイオフィルム・着色を除去しました。 患者様ご自身でも歯ブラシを頑張っていただくことで歯ぐきも健康な状態へと改善しました。
治療内容 ・パノラマ(レントゲン)
・口腔内写真
・虫歯チェック歯周病検査
・歯石除去
・着色(やに・茶渋)除去
・バイオフィルム除去
費用 11,000 円程度
リスク 歯を白くする目的の施術ではありません。

歯のクリーニング保険診療と
自費診療の違い

保険と自費で決定的に違う点は、保険は治療が目的で、自費は予防を目的とする点です。病気(歯周病・歯肉炎等)に対して、「クリーニングが必要な治療」である場合に医療保険適用可能と法律で定められています。
治療を要するか否かの判断は、検査やレントゲンで診断する必要があります。その結果、病気が判明した場合は保険適用で診療可能となります。

ただし、保険診療では1回に治療可能な内容が法律で定められているため、治療内容により何度か通院が必要となります。一方、健康な歯を維持するため、予防のために行う自費診療でのクリーニングは、自由診療と呼ばれることもあるようにルールがないため、1回の通院で全ての汚れや歯石除去が可能です。

クリーニング時の痛み

痛みがないよう、まずは表面をクリーニング

歯石を取る時に歯科医院ならではの響く音で痛そうで怖いという方もいらっしるかと思います。

当院では、歯石取りの際はまず痛みの出ないように表面の歯石を除去し炎症を抑える処置を優先して行なっております。

またそれでも怖い、痛みがあるという場合には麻酔を行うこともあります。

歯の表面の汚れや着色を落とす際もできるだけ歯ぐきに触れないように痛みが出ないような配慮を行なっております。ご不安な方は担当医師・衛生士に痛みに弱い・優しくしてほしいなどご要望をお伝え下さい。

痛みに配慮した治療

クリーニング後の注意事項

歯石とりを行った後は今まで歯石や腫れた歯ぐきで覆われていた部分が露出し一時的にしみやすくなります。

歯ブラシの刺激でだんだんと治っていきますがしみる症状が長く続く場合はご相談ください。また当日しみる症状がある場合は極度に冷たいものや酸性のもの(炭酸飲料・レモンなど)は避けてお食事をしてください。

出血は気にせず歯ブラシを行ってください。

クリーニングで歯は白くなる?

歯の黄ばみや汚れの原因

歯の汚れの原因は、歯垢が歯の表面に溜まった状態で歯が黄ばんで見える事や、ワインやコーヒー等の飲食物、タバコのヤニ等の着色です。歯垢は歯ブラシで除去できますが、どんなにセルフケアを行っていても確実に着色は少しずつ蓄積していきます。

これは、単に汚れが付着しただけではなく、唾液中のペクリンというたんぱく質と結びついて、歯の表面に色素沈着してしまうことが原因とされています。この着色を取り除くことが出来るのが、PMTCです。

生活習慣によっては、早い段階で再着色することがありますが、定期的なクリーニングで着色しにくくすることが出来ます。ただし加齢による変色や元々の自然な歯の色は、歯の内部の変色であり表面の汚れではないため、クリーニングで落とすことが出来ません。この変色を落とすためには、ホワイトニングをオススメします。

ホワイトニングについて

大切なのは自分のお口の状態を
把握すること

きれいにクリーニングすることは簡単です。ポイントは同じところに何度も汚れがつかないようにセルフケアで予防すること!汚れが溜まりやすい部分は普段の歯ブラシで意識し落とさないと歯周病や虫歯が進行してしまいます。どこに歯垢がついていてどのように磨いたら取れるか?予防方法も丁寧にお伝えいたします。

クリーニングで口臭は抑えられる?

口臭にも種類がありますが病的口臭の原因は歯周病です。超音波スケーラーによるクリーニングには口臭を減少させる効果があり久しぶりの歯石とりで口の中がすっきり爽やかになったと感じる要因は口臭成分の減少もその一つです。
また歯周病が進行している方はより口臭がきつくなりますが歯周治療を行うことで口臭の改善も期待でき
ます。

唾液を出す方法について 歯周病と口臭について

歯垢や歯石を放置するとどうなる???

歯を失う原因に!

磨き残しによる歯垢はやがて歯ブラシでは落とせない歯石という硬い塊になり最近の巣となります。そのまま放置すると歯ぐきの中に広がり歯を支える骨が溶け始めます。

長年放置すると歯がグラグラ揺れ出し、ある日ポロっと抜け落ちてしまうのです。

歯周病は静かなる病気と言われいている進行に気づき辛い病気です。定期的に受診し早期発見早期治療を心がけましょう!

歯周病について

歯のクリーニングの頻度って?

ズバリ1〜3ヶ月が目安

患者様のお口の状況により適切な頻度をお伝えいたします。虫歯や歯周病を予防するためには、毎日の歯みがきでは落としきれない汚れを3ヶ月に1回のクリーニングで落としきることが最安で最高の予防策になります。

「3ヶ月に1回…。」と少し面倒に感じるかもしれませんが、これを続けることで自分へのご褒美が老後の生活にあります。というのもクリーニングを怠った場合、将来の歯の本数がぐっと減り、治療にかかる費用が増えることが予想されます。

噛む力が弱くなるとお肉やお煎餅などの硬い物はもちろん、ご飯がおいしく食べられなくなります。また活舌も悪くなることで人と話をすることが苦痛に感じる人もいると耳にします。

余暇が増えた時こそ、旅先で美味しいものを食べたり、趣味を楽しんだり、充実した生活を送っていただきたい。通院だらけの日々を過ごさないように身体も心も歯も健康であってほしいと当院は考えます。歯のクリーニングで患者さまの未来に繋がるお手伝いができればと思います。

毎日の歯みがきでは、患者さまに適した歯ブラシと歯みがき粉を使用されることをオススメします。

当院おすすめの歯ブラシ

当院おすすめの歯ブラシ(クラプロックス)についての
説明動画をご用意いたしましたので、ぜひご覧ください。

終わりに

歯医者さんって痛いし怖い・・・「何かなければ行きたくところ」 と思われている方も少なくないと思います。

しかし健康な歯は失ってしまうと取り戻せません。虫歯や歯周病で歯を失う前に定期的なクリーニングで健康で清潔な口腔内を維持しましょう!

当院では痛みに配慮し丁寧なクリーニングを心がけており、また患者様とのコミュニケーションを大切にしていますので「怖い」「優しくしてほしい」などのご要望も遠慮なくおっしゃってください。歯のクリーニングのみの受診も可能ですのでお気軽にご相談ください。

クリーニングの症例

現在の治療費と異なる場合がございます。最新の治療費は料金表をご確認ください。

PMTC・歯石除去の症例

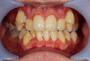
歯石除去・PMTC 症例①

歯ぐきからの出血・歯石をとりたい

治療前

治療後

年齢 30代男性
主訴 歯ぐきからの出血・歯石をとりたい
治療内容 歯石除去・PMTC
治療方針 歯石除去後PMTCを行なった
治療期間 60分
費用 初診料3,000〜4,000円前後
+歯石除去約1,000円
+PMTC5,000円(自費診療)
リスク・副作用 ・処置後に歯がしみることがあります
・歯と歯の間に隙間ができるので、息が漏れ発音しにくいと感じることがあります
・歯ぐきの炎症が軽減すると歯ぐきが引き締まり、歯が長く見えることがあります

歯石と着色が同時になくなりすっきりして気持ちがいいと喜んでくださいました。歯石除去と着色除去を同時に行いたい等のご希望もお気軽にご相談ください。

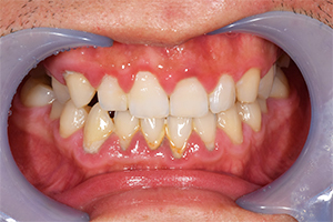
歯石除去・PMTC 症例②

歯石·着色をとりたい

治療前

治療後

年齢 39歳·男性
主訴 歯石·着色をとりたい
治療内容 歯石除去·PMTC
治療期間 60分
費用 初診料3,000~4,000円前後
+歯石除去約1,000円
+PMTC5,000円(自費診療)
リスク・副作用 ・処置後に歯がしみることがあります
・歯と歯の間に隙間ができるので、息が漏れ発音しにくいと感じることがあります
・歯ぐきの炎症が軽減すると歯ぐきが引き締まり、歯が長く見えることがあります
・PMTCは歯を白くするものではなく着色·バイオフィルムの除去を目的としています。
・保険適用外の施術です。

歯石除去・PMTC 症例③

矯正中のクリーニング希望

治療前

治療後

年齢 35歳·男性
主訴 矯正中のクリーニング希望
治療内容 歯石除去·PMTC(着色除去)
治療期間 60分
費用 歯石除去約2,000円(保険診療で3割負担)
PMTC5,500円(自費診療)
リスク・副作用 ・処置後に歯がしみることがあります
・歯肉の炎症がある場合は歯石除去中に出血を伴う可能性があります
・歯ぐきの炎症が軽減すると歯ぐきが引き締まり、歯が長く見えることがあります
・PMTCは歯を白くするものではなく着色·バイオフィルムの除去を目的としています
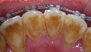
担当者所見 矯正中の患者様でコーヒー紅茶を飲むこともあり舌側の歯石・着色が特に気になるとのことで、超音波スケーリングとPMTC(着色除去)を行いました。矯正装置の周りの磨き方や歯石除去後の空隙に歯間ブラシを通すこと、舌側は立て磨きで歯ブラシを当てていただくよう指導しました。今後は1ヶ月に1回のペースでクリーニングを行い、着色がつきにくくなる歯磨剤を使用して着色予防をしていきます。
PMTCって何?

歯石除去・PMTC 症例④

治療前

PMTC

治療後

PMTC
年齢 28歳・男性
主訴 歯石・着色除去希望
治療部位 全額
治療内容 初診検査
全額歯石除去
PMTC
費用 初診料3,000〜4,000円前後
+PMTC5,000円(自費診療)
(2022年6月現在)
治療期間 60分×2回
リスク・副作用 ・処置後に歯がしみることがあります。
・歯肉の炎症がある場合は歯石除去中に出血を伴う可能性があります。
・歯ぐきの炎症が軽減すると歯ぐきが引き締まり、歯が長く見えることがあります。
・PMTCは歯を白くするものではなく着色·バイオフィルムの除去を目的としています。
PMTCって何?

歯石除去・PMTC 症例⑤

治療前

PMTC

治療後

PMTC
年齢 32歳・男性
主訴 歯石・着色を取りたい
治療内容 初診検査
歯石除去
着色除去(PMTC)
費用 初診料3,000〜4,000円
+歯石除去約1,000円(保険)
+PMTC5,500円(自費診療)
(負担区分によって費用負担には個人差があります)
(2022年7月現在)
治療期間 60分
リスク・副作用 ・歯肉の炎症がある場合は歯石除去中に出血を伴う可能性があります。
・処置後に歯がしみることがあります。
・歯ぐきの炎症が軽減すると歯ぐきが引き締まり、歯が長く見えることがあります。
担当者所見 久しぶりの歯医者さんで歯石や着色が気になると来院されました。
大きな歯石がなくなった変化に驚き、すっきりしたと喜んでくださいました。
歯周病の進行がみられるので次回以降歯周病治療を行っていきます。
PMTCって何? トータルクリーニング

PMTCの症例

現在の治療費と異なる場合がございます。最新の治療費は料金表をご確認ください。

PMTC 症例①

着色をとりたい

治療前

治療後

年齢 30代女性
主訴 着色をとりたい
治療内容 PMTC
特記事項 スーパースマイル使用(歯磨剤)
治療期間 60分
費用 初診料3,000〜4,000円前後
+PMTC5,000円(自費診療)
リスク・副作用 ・生活習慣(喫煙・コーヒーなど)により再度着色することがあります。
・PMTCは歯を白くするものではなく着色・バイオフィルムの除去を目的としています。
・保険適用外の施術です。
PMTCって何?

PMTC 症例②

治療前

治療後

年齢 41歳・男性
主訴 着色を取りたい
治療内容 PMTC
治療期間 30分
費用 PMTC 5,000円(自費診療)
リスク・副作用 ・生活習慣(喫煙・コーヒーなど)により再度着色することがあります。
・PMTCは歯を白くするものではなく着色・バイオフィルムの除去を目的としています。
保険適用外の施術です。
担当者所見 着色がなくなり笑った時の横顔に自信が持てると喜んで
くださいました。
PMTCって何?

PMTC 症例③

治療前

PMTC

治療後

PMTC
年齢 34歳・男性
主訴 着色を取りたい・舌で触るとザラザラする
治療内容 PMTC
治療期間 30分
費用 PMTC 5,000円(自費診療)
リスク・副作用 ・生活習慣(喫煙・コーヒーなど)により再度着色することがあります。
・PMTCは歯を白くするものではなく着色・バイオフィルムの除去を目的としています。
保険適用外の施術です。
担当者所見 下前歯の裏側を舌で触るとザラザラするのも気になるとおしゃっていましたが、着色除去後トリートメントペーストで磨いたことによりツルツルになったと喜んでくださいました。歯面をツルツルに保つことにより着色や歯垢付着の予防にもなります。
PMTCって何?

PMTC 症例④

治療前

PMTC

治療後

PMTC
年齢 34歳・女性
主訴 着色をとりたい・歯の表面のザラザラが気になる
治療内容 PMTC
治療期間 30分
費用 PMTC 5,500円(自費診療)
リスク・副作用 ・生活習慣(喫煙・コーヒーなど)により再度着色することがあります。
・PMTCは歯を白くするものではなく着色・バイオフィルムの除去を目的としています。
・保険適用外の施術です。
PMTCって何?

PMTC 症例⑤

治療前

PMTC

治療後

PMTC
年齢 48歳・男性
主訴 着色を取りたい
治療内容 着色除去(PMTC)
治療期間 30分
費用 5,500円
リスク・副作用 ・生活習慣(喫煙・コーヒーなど)により再度着色することがあります。
・PMTCは歯を白くするものではなく着色・バイオフィルムの除去を目的としています。
・保険適用外の施術です。
治療方針 前歯のコーヒーによる着色とプラスチックと天然歯の色の違いが気になるとの事でしたのでまず着色除去を行いました。久しぶりのクリーニングということでしたので次回以降で全顎的な歯石除去を行い歯肉の炎症が落ち着いてからプラスチックのやり替えを行う予定です。
PMTCって何?

PMTC 症例⑥

治療前

PMTC

治療後

PMTC
年齢 35歳・女性
主訴 着色を取りたい
治療内容 着色除去(PMTC)
治療期間 30分
費用 5,500円
リスク・副作用 ・生活習慣(喫煙・コーヒーなど)により再度着色することがあります。
・PMTCは歯を白くするものではなく着色・バイオフィルムの除去を目的としています。
・保険適用外の施術です。
担当者所見 コーヒーや紅茶などを毎日必ず飲むと仰っていたので、着色がつきにくくなる歯磨剤を使用していただくことになりました。今後は定期検診なクリーニングを行っていきます。
PMTCって何?

PMTC 症例⑦

治療前

PMTC

治療後

PMTC
年齢 30歳・男性
主訴 全額クリーニング
治療内容 PMTC
治療期間 30分
費用 5,500円(2022年7月現在)
リスク・副作用 ・PMTCは歯を白くするものではなく着色·
バイオフィルムの除去を目的としています。
・生活習慣などにより再度着色する可能性があります。
PMTCって何?

PMTC 症例⑧

治療前

PMTC

治療後

PMTC
年齢 34歳・男性
主訴 着色除去
治療部位 全顎
治療内容 エアフロー・PMTC
治療期間 30分
費用 エアフロー・PMTC 5,500円(自費診療)
(2022年10月現在)
リスク・副作用 ・パウダーによるお口の不快感を伴うことがあります。
・着色の付着状態や部位により完全に汚れを落としきれない場合が
あります。
・歯ぐきの腫れや炎症のある方は、ナトリウムパウダーがあたることにより、まれに出血や痛みを伴うことがあります。
担当者所見 毎日コーヒーを飲む習慣があり特に舌側(歯の裏面)に多く着色していました。見えない部分も綺麗に落としたいと患者様からのご希望もあり溝に入った着色を除去するためにエアフローを使用しました。
再付着予防のために念入りに仕上げ磨きを行いました。
PMTCって何?

歯石除去の症例

現在の治療費と異なる場合がございます。最新の治療費は料金表をご確認ください。

歯石除去 症例①

治療前

PMTC

治療後

PMTC
年齢 38歳・男性
主訴 歯石を取りたい
治療内容 歯石除去
治療期間 30分
費用 約2,000円
リスク・副作用 ・歯ぐきの炎症が強いと歯石を取る際に出血することがあります。
・処置後に歯がしみることがあります。
・歯と歯の間に隙間ができるので、息が漏れ発音しにくいと感じることがあります。
・歯ぐきの炎症が軽減すると歯ぐきが引き締まり、歯が長く見えることがあります。

歯石除去 症例②

治療前

PMTC

治療後

PMTC
年齢 52歳・男性
主訴 歯石を取りたい
治療内容 歯石除去
治療期間 30分
費用 約2,000円
リスク・副作用 ・歯ぐきの炎症が強いと歯石を取る際に出血することがあります。
・処置後に歯がしみることがあります。
・歯と歯の間に隙間ができるので、息が漏れ発音しにくいと感じることがあります。
・歯ぐきの炎症が軽減すると歯ぐきが引き締まり、歯が長く見えることがあります。

歯石除去 症例③

治療前

PMTC

治療後

PMTC
年齢 45歳・男性
主訴 歯石を取りたい
治療内容 歯石除去
治療期間 30分
費用 約2,000円
リスク・副作用 ・歯ぐきの炎症が強いと歯石を取る際に出血することがあります。
・処置後に歯がしみることがあります。
・歯と歯の間に隙間ができるので、息が漏れ発音しにくいと感じることがあります。
・歯ぐきの炎症が軽減すると歯ぐきが引き締まり、歯が長く見えることがあります。

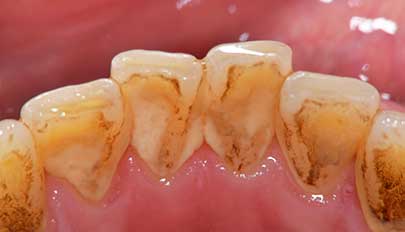
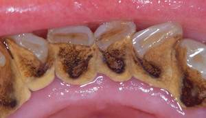
歯石除去 症例④

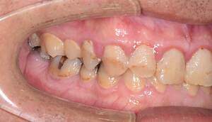
治療前

PMTC PMTC PMTC PMTC PMTC

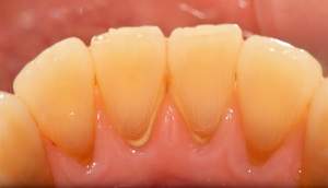
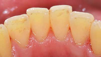
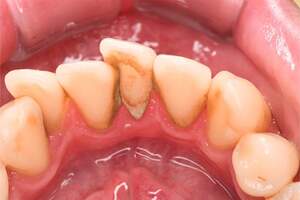
歯の表面にプラークが付着しています。
また、歯ぐきが赤く発赤しており、
歯肉炎になっていることもわかります。

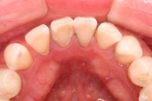
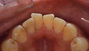
治療後

PMTC PMTC PMTC PMTC PMTC

歯石とプラークを除去し終わったところです。歯の表面がツルツルになって光沢が出ていますね。歯肉の発赤は、プラーク除去して数週間で治癒していきます。

歯のクリーニング 定期検診

歯石除去中の動画です。下の前歯の裏側は歯石がつきやすい場所になっています。
たくさん付着くことで、歯周病のリスクが高くなります。

年齢 40代・男性
主訴 歯石を取りたい
治療内容 歯石除去
治療期間 1day
費用 初診検査(レントゲン撮影、歯周基本検査)、
スケーリング:約4,000円(保険治療内)
治療方針 歯石がついてきたとのことで、歯のクリーニングをご希望されていました。みてみると、歯石やプラーク(歯垢)も歯の表面に付着していましたので、取り除くことをにしました。
治療内容 歯石除去と歯の表面に付着したプラークを取り除きました。
また、ご自身でしっかり歯磨きができるように、歯ブラシのレッスンも行いました。
特記事項 プラークや歯石が多く付着していますと、クリーニング後に歯が染みるといった症状がでることがあります。
また、歯肉に炎症がある場合、出血を伴うことがありますが、どちらも一時的で、おさまりますのでご安心ください。
その他の歯のクリーニング
症例

歯石除去 症例⑤

治療前

PMTC

治療後

PMTC
年齢 32歳・男性
主訴 全顎クリーニング
治療内容 歯石除去
治療期間 60分×2回
費用 合計5,000円
初診料3,000〜4,000円前後
歯石除去約1,000円(2022年6月現在)
リスク・副作用 ・処置後に歯がしみることがあります。
・歯肉の炎症がある場合は歯石除去中に出血を伴う可能性があります。
・歯ぐきの炎症が軽減すると歯ぐきが引き締まり、歯が長く見えることがあります。
歯周病について

歯石除去 症例⑥

治療前

歯石除去

治療後

歯石除去
年齢 28歳・女性
主訴 定期検診
治療内容 初診検査・歯石除去
治療期間 60分
費用 合計約4,000円
初診検査約3,000円
歯石除去約1,000円
(歯の本数や検査内容で料金が変動します。)
(2022年7月現在)
リスク・副作用 ・処置後に歯がしみることがあります。
・歯肉の炎症がある場合は歯石除去中に出血を伴う可能性があります。
・歯ぐきの炎症が軽減すると歯ぐきが引き締まり、歯が長く見えることがあります。
定期検診

歯石除去 症例⑦

治療前

歯石除去

治療後

歯石除去
年齢 50歳・女性
主訴 歯周病の治療をしたい、歯石がすごい溜まってしまった。
約5年ぶりの歯科医院で歯周病治療をしっかり行いたいと来院されました。
治療部位 全顎
治療内容 初診検査・SC(歯石除去)
治療期間 1ヶ月
費用 合計約5,500円
初診検査約3,000〜4,000円
歯石除去約1,500円
(2022年9月現在)
リスク・副作用 ・処置後に歯がしみることがあります。
・歯肉の炎症がある場合は歯石除去中に出血を伴う可能性があります。
・歯ぐきの炎症が軽減すると歯ぐきが引き締まり、歯が長く見えることがあります。
担当者所見 久しぶりの歯科医院で歯石が硬く多量でした。歯ブラシ指導も合わせて行いました。出血も減り炎症も治まってきたので今後は歯ぐきの中の歯石除去(SRP)を行なっていきます。

歯石除去 症例⑧

治療前

歯石除去

治療後

歯石除去
年齢 42歳・男性
主訴 歯石除去
治療部位 全顎
治療内容 初診検査・歯石除去(スケーリング)・ブラッシング指導
治療期間 1ヶ月
費用 合計約5,000円
初診検査約3,000〜4,000円
歯石除去約1,000円
(2022年11月現在)
リスク・副作用 ・歯肉の炎症がある場合は歯石除去中に出血を伴う可能性があります。
・処置後に歯がしみることがあります。
・歯ぐきの炎症が軽減すると歯ぐきが引き締まり、歯が長く見えることがあります。
治療方針 歯科医院が怖く学生の時以来の受診ということでまず現状の説明、今後の治療方針を丁寧にお伝えし初日はブラッシング指導のみ行いました。2回目以降のご来院で痛みに配慮しながら回数を分けてスケーリングを行いました。歯ぐきの中の見えない部分にも歯石が多量に付着しているので今後は縁下歯石除去(SRP)を行なっていく予定です。
担当者所見 特に下の前歯の裏側の歯石はご自身でも気になるとおっしゃっていました。痛みへの恐怖心が強かったため超音波スケーラーと手用スケーラーを併用しながら行いました。歯石がなくなり、歯肉が改善するとことにより凍みやすいことをお伝え。セルフケア指導としては前歯の裏側に関しては縦磨きが有効なこと、1本ずつ丁寧に磨くことをお話しさせて頂きました。歯石除去後の爽快感と下前歯の裏側の形態の変化に驚き喜んでくださいました。歯ブラシの効果も出血の減少という結果が得られモチベーションがアップしています。

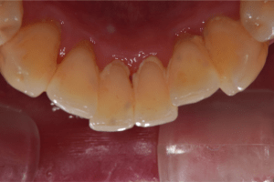
PMTC 症例⑨

治療前

着色除去(PMTC)

治療後

着色除去(PMTC)
年齢 51歳・男性
主訴 着色除去
治療部位 全顎
治療内容 着色除去(PMTC)
治療期間 60分
費用 PMTC:5,500円(自費診療)
(2022年11月現在)
リスク・副作用 ・生活習慣(喫煙・コーヒーなど)により再度着色することがあります。
・PMTCは歯を白くするものではなく着色・バイオフィルムの除去を目的としています。
・保険適用外の施術です。
治療方針 初診時は主訴である着色除去(PMTC)を行い、再付着予防の為歯磨剤の選び方や検診の頻度についてお伝えしました。久しぶりの歯科受診で歯石もたまっていたので次回以降で検査・歯石除去(SC)を行っていきます。来年より矯正を行う予定です。
担当者所見 タバコを1日10本、赤ワイン・コーヒーを毎日飲む為着色が気になるとのことでした。
歯の先端付近や歯と歯の間が特に着色していたので歯ブラシの当て方(角度や動かし方)も合わせてお話ししました。
人に歯を見せるのが恥ずかしくなっていたので綺麗になり嬉しいですと喜んでくださいました。審美面の回復により予防のお話も興味を持って聞いてくださりタバコを減らしていくと意気込んでいらっしゃいました。
今後は歯周状態の改善と共に審美面の維持、矯正治療に向けての準備を行って行きます。
歯周病とは

歯石除去 症例⑩

治療前

歯石除去(SC)

治療後

歯石除去(SC)
年齢 40歳・女性
主訴 クリーニング
治療部位 全顎
治療内容 歯石除去
治療期間 60分
費用 合計約5,000円
初診検査約3,000〜4,000円
歯石除去約1,000円
(2023年1月現在)
(歯の本数や検査内容で料金が変動します。)
リスク・副作用 ・歯肉の炎症がある場合は歯石除去中に出血を伴う可能性があります。
・処置後に歯がしみることがあります。
・歯ぐきの炎症が軽減すると歯ぐきが引き締まり、歯が長く見えることがあります。
・保険適用外の施術です。
治療方針 2年ぶりの歯科医院で矯正・ホワイトニングも含めたトータル的な治療、クリーニングをご希望でした。
歯ぐきの中にも硬い歯石がある為、縁下歯石除去(SRP)を含んだ歯周基本治療を先行的に行い矯正へ移行する予定です。バイオフィルムの付着により歯石が付きやすくなっていることやリスクの説明をしPMTC(自費)も次回以降で行うことになりました。
担当者所見 特に下顎前歯の裏側に歯石が多く付着し、ご本人も舌で触れるとザラザラすると気にしていらっしゃいました。
クリーニング後は歯間の歯石がなくなりすっきりと感じる事、ザラザラ感がなくなったことに満足してくださいました。※叢生部分の磨き方の指導を行い初回を終えました。
※叢生とは歯が重なり合ってデコボコに生えている歯並びのことです。

歯石除去 症例⑪

治療前

歯石除去(SC)

治療後

歯石除去(SC)
年齢 35歳・男性
主訴 歯肉からの出血、前歯の裏側の歯石が気になる
治療部位 全顎
治療内容 歯石除去
治療期間 60分
費用 合計約5,000円
初診検査約3,000〜4,000円
歯石除去約1,000円
(2023年2月現在)
(歯の本数や検査内容で料金が変動します。)
リスク・副作用 ・歯肉の炎症がある場合は歯石除去中に出血を伴う可能性があります。
・処置後に歯がしみることがあります。
・歯ぐきの炎症が軽減すると歯ぐきが引き締まり、歯が長く見えることがあります。
・保険適用内の施術です。
治療方針 出血の理由や歯周病治療についてご説明させて頂き初日は主訴である前歯の裏側の歯石除去とブラッシング指導を行いました。
歯ぐきの中にも硬い歯石がある為、縁下歯石除去(SRP)を含んだ歯周基本治療を行っていく予定です。
担当者所見 4年ぶりの歯科医院でブラッシング時の出血、歯石が気になると来院されました。
全顎的に歯頸部に幅広い歯石が付着していた為除去後はしみること、歯ぐきが下がることをご説明しました。
歯肉からの出血により歯ブラシを歯肉に当てなくなってしまい、その結果歯垢が多量の歯石になってしまっていました。柔らかめの歯ブラシで斜め45度に歯と歯ぐきの境目に当て磨くこと、洗口剤の使用をお勧めしました。

歯石除去 症例⑫

治療前

歯石除去(SC)

治療後

歯石除去(SC)
年齢 23歳・女性
主訴・治療部位 主訴:歯石除去
治療部位:全顎
治療内容 歯石除去
治療期間 60分
費用 合計:約4,000~5,000円
(内訳)
初診料:約3,000~4,000円
歯石除去:約1,000円
(2023年5月現在)
リスク・副作用 ・歯肉の炎症がある場合は歯石除去中に出血を伴う可能性があります。
・保険適用内の施術です。
担当者所見 約2年ぶりの歯科医院でクリーニング希望で来院されました。
左右下顎1番の歯間を埋めるように縁上歯石(歯ぐきの上に付着する歯石)が付着しており、ご自身でも舌で触れるとザラザラすると気にしていらっしゃいました。
下顎前歯舌側の歯ブラシの当て方をお伝えしました。また上下顎左右の奥歯に多量の縁下歯石(歯ぐきの中に付着する歯石)の付着がある為、今後は縁下歯石(歯ぐきの中に付着する歯石)の除去(SRP)を行う予定です。

歯石除去 症例⑬

治療前

歯石除去(SC)

治療後

歯石除去(SC)
年齢 44歳・男性
主訴・治療部位 主訴:着色除去
治療部位:全顎
治療内容 PMTC
治療期間 60分
費用 PMTC:5,500円(自由診療)
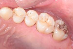
(2023年5月現在)
担当者所見 コーヒーや紅茶を毎日飲む方でマスクを取る機会が増え、ステイン(着色)による色が気になると来院されました。右上の1番の被せ物はセラミック系統であるためステイン(着色)が付きにくく、保険診療で作製した右上3番の被せ物は素材の性質上ステイン(着色)の付着がみられた。PMTC後は全体の色が統一されツルツルになったと喜んでくださいました。
PMTCって何?

歯石除去 症例⑭

治療前

歯石除去(SC)

治療後

歯石除去(SC)
年齢 36歳・男性
主訴・治療部位 主訴:ステイン除去
治療部位:全顎
治療内容 PMTC
治療期間 30分
費用 5,500円(自由診療)
(2023年9月現在)
リスク・副作用 ・着色の付着状態や部位により完全に汚れを落としきれない場合があります。
・パウダーによるお口の不快感を伴うことがあります。
・歯ぐきの腫れや炎症のある方は、ナトリウムパウダーがあたることにより、まれに出血や痛みを伴うことがあります。
治療方針 PMTC・エアフロー
特記事項 習慣的飲料物としてコーヒーを数杯と健康の為にリンゴ酢・バルサミコ酢を飲んでいるとのことでした。
酸性度の高い物の高頻度な摂取は歯の表面のエナメル質が溶かされ、歯面が粗ぞうになることにより着色がつきやすくなる事を説明しました。乳歯のお子様も一緒にリンゴ酢を飲んでいると仰っていたので同時に酸蝕症のリスクもお伝えしました。
担当者所見 問診票の主訴にホワイトニングとありましたが詳しくお話を伺うとステイン除去がご希望でしたのでステイン除去とホワイトニングの違いを説明させていただき、PMTC・エアフローを行いました。
エアフローも用いたことにより歯と歯の間の細かな部分のステインも除去することができ、元々のご自身の歯の白さに戻ったことで綺麗になったと喜んでくださいました。
PMTCって何? 予防歯科と歯科検診の違いとは?

歯石除去 症例⑮

治療前

歯石除去(SC)

治療後

歯石除去(SC)
年齢 58歳・男性
主訴・治療部位 主訴:着色除去
治療部位:全顎
治療内容 PMTC(自費診療)
治療期間 30分
費用 5,500円
(2023年8月現在)
リスク・副作用 ・プラスチック等の修復物の着色は除去できません。
・PMTCは歯を白くするものではなく着色·バイオフィルムの除去を目的としています。
・脱灰・虫歯による歯自体の変色は除去できません。
・生活習慣(喫煙・コーヒーなど)により再度着色することがあります。
治療方針 プロフェッショナルクリーニング(PMTC)による着色除去
特記事項 着色の原因としてコーヒーを日常的に仕事中も時間問わず飲んでいるとのことでした。コーヒーは平均して1日に7~8杯摂取していてお昼の歯ブラシは行っていないそうです。
担当者所見 コーヒーによる着色を予防する方法として、アイスの場合はストローを使うこと、摂取回数の見直し、摂取後早い段階で口をゆすぐと良いことをお伝えしました。着色がなくなり綺麗になったと喜んでくださいました。
PMTCって何?

歯石除去 症例⑯

治療前

歯石除去(SC)

治療後

歯石除去(SC)
年齢 42歳・男性
主訴・治療部位 主訴 クリーニング
治療部位 全顎
治療内容 初診検査
歯石除去(保険診療)
PMTC(自費診療)
治療期間 60分
費用 合計約1,0500円
初診検査約3,000〜4,000円
歯石除去約1,000円
PMTC5,500円(自費診療)
(2023年10月現在)
(歯の本数や検査内容で料金が変動します。)
(2023年10月現在)
リスク・副作用 ・歯肉の炎症がある場合は歯石除去中に出血を伴う可能性があります。
・処置後、知覚過敏が起こる可能性があります。
・歯肉の炎症が治ると、歯肉が引き締まる為歯が長く見えるようになることがあります。
治療方針 全顎的な歯石除去後、PMTCで着色とバイオフィルムを除去。
特記事項 ・歯ブラシは1日1回3分硬めの歯ブラシでストロークが大きく、舌側を意識して磨いたことがなかった。
・在宅勤務が増え、コーヒーの摂取量も増加した。
担当者所見 下顎前歯舌側に歯石とステインが付着していました。歯石除去後は、より歯ぐきが下がり凍みやすくなることを説明し、柔らかめの歯ブラシで歯と歯ぐきの境目を磨いていただくようお伝えしました。

PMTC 症例⑰

治療前

歯石除去(SC)

治療後

歯石除去(SC)
年齢 38歳・男性
主訴・治療部位 全額PMTC
治療内容 PMTC
治療期間 30分
費用 5,500円
(2024年1月現在)
リスク・副作用 ・生活習慣(喫煙・コーヒーなど)により再度着色することがあります。
・PMTCは歯を白くするものではなく着色・バイオフィルムの除去を目的としています。
・保険適用外の施術です。
治療方針 初診時はPMTCによる着色除去を行いました。次回以降で検査・歯石除去(SC)を行っていきます。
担当者所見 お茶をよく飲むため着色が気になるとの事で来院されました。
上顎臼歯口蓋側の歯ブラシの当て方をお伝えしました。
クリーニング後は歯がツルツルになったと喜んでくださいました。
定期的にPMTCを行うことにより、着色がつきにくい状態になることをお伝えしました。
今後は定期的にクリーニングを行っていく予定です。
PMTCって何?

歯石除去 症例⑱

治療前

歯石除去(SC)

治療後

歯石除去(SC)
年齢 32歳・男性
主訴・治療部位 主訴:歯石除去
治療部位:全顎
治療内容 歯石除去
治療期間 60分
費用 合計約5,000円
初診検査約3,000〜4,000円
歯石除去約1,000円
(2024年11月現在)
リスク・副作用 ・歯ぐきの炎症がある場合は歯石除去中に出血を伴う可能性があります。
・処置後に歯がしみることがあります。
・歯ぐきの炎症が軽減すると歯ぐきが引き締まり、歯が長く見えることがあります。
治療方針 ⑴初診検査
⑵ブラッシング指導・歯石除去
⑶再評価
⑷定期検診へ移行
特記事項 写真は歯石除去後1週間経過の状態です。
担当者所見 下顎舌側の歯石は舌で触ってザラザラと感じる為患者様ご自身で探知しやすく気になっていたとのことでした。
歯石除去前にブラッシング指導を行い歯頸部に歯ブラシを当てること、歯石除去後は歯の露出面が増えしみやすくなることをお伝えしました。

歯石除去 症例⑲

治療前

歯石除去(SC)

治療後

歯石除去(SC)
年齢 45歳・男性
主訴・治療部位 主訴:歯石を取りたい
治療部位:全顎
治療内容 歯石除去
治療期間 60分
費用 合計約5,000円
初診検査約3,000〜4,000円
歯石除去約1,000円
(2024年11月現在)
リスク・副作用 ・歯ぐきの炎症がある場合は歯石除去中に出血を伴う可能性があります。
・処置後に歯がしみることがあります。
・歯ぐきの炎症が軽減すると歯ぐきが引き締まり、歯が長く見えることがあります。
治療方針 ⑴初診検査
⑵ブラッシング指導・歯石除去
⑶再評価
⑷SRP(縁下歯石除去)
⑸再々評価
特記事項 治療後の写真は歯石除去を行なって3週間後の状態です。
担当者所見 下顎前歯舌側の歯ぐきはブラッシング指導と歯石除去により、炎症の改善がみられました。
今後は歯ぐきの中に隠れている縁下歯石を全顎的に除去する、SRP(スケーリングルートプレーニング)を行う予定です。

歯石除去 症例⑳

治療前

歯石除去(SC)

治療後

歯石除去(SC)
年齢 48歳・男性
主訴・治療部位 着色が気になる。
全顎PMTC
治療内容 PMTC
治療期間 30分
費用 5,500円
(2024年1月現在)
リスク・副作用 ・生活習慣(喫煙・コーヒーなど)により再度着色することがあります。
・PMTCは歯を白くするものではなく着色・バイオフィルムの除去を目的としています。
・保険適用外の施術です。
特記事項 全顎PMTC
担当者所見 以前は歯の着色はそれほどついていなかったのに急に着色がつき始めて気になったとの事でご来院頂きました。
お話を伺うと最近コーヒーを飲む頻度が増えたと仰っていました。
PMTCを行い、着色・バイオフィルムを除去しました。
歯の先端が特に着色していたので歯ブラシの当て方(角度や動かし方)も合わせてお話ししました。
今後は定期的にクリーニングを行っていく予定です。
今すぐ予約したい方
03-3505-4618電話受付9〜19時半(土日は17:30まで)
3日以降のご予約
WEBから予約24時間受け付けております。

麻布十番の歯医者さん・
矯正歯科は痛みに配慮した、
コミュニケーションにあふれる歯医者です。

診療時間
9:00〜13:00 -
14:00〜19:30 - - -
14:00〜17:30 - - - - -

※平日最終受付は19:00まで
※土日の最終受付は17:00まで
[休診日]水曜・祝日

AED
TEL:03-3505-4618
地図

〒106-0044 東京都港区東麻布3-8-8 明商ビル1F
大江戸線 麻布十番駅 6番出口より徒歩10秒
南北線 麻布十番駅 6番出口より徒歩10秒
Google マップを開く >