エアフローは細かいパウダー状の粒子(平均54~73μmm)を歯に吹き付けて汚れを取り除きます。
麻布十番歯科・矯正歯科で使用しているパウダーは「プロフィーパール」という製品です。
低研磨性で、汚れを簡単かつ効果的にクリーニングできます。
エアフローとは歯科医院で受けられるクリーニングのひとつです。
効果や費用、注意事項など詳しくご紹介します。着色汚れが気になる方はぜひご覧ください。
とても細かいパウダー状の粒子を歯の表面にジェット噴射することで歯垢(プラーク)やタバコのヤニやコーヒーなどの頑固な着色汚れを取り除きます。
セルフケアでは落とすことのできないこびりついた細菌の塊や手の届かない隙間までしっかりとクリーニングが行えます。
ヤニや茶渋、ワイン、コーヒー、カレーなどが原因の着色汚れや歯間の汚れに高い清掃効果を発揮します。
微細なパウダー粒子が広範囲に噴射されるため、歯ブラシでは落とすことのできない狭い隙間まで効率的に短時間でクリーニングを行うことが可能です。
被せ物の周りや歯間など、歯ブラシでは磨きにくい部分の汚れもしっかりと落としてくれます。
歯列矯正中の方は、装置と歯の間も綺麗になります。
従来の機器とは違い、エアフローは歯の表面に触れないため歯を傷つける心配もありません。
歯を白くするホワイトニング効果はございません。
ご自身の歯の本来の色味を変えるのはホワイトニングです。
着色除去は見た目の改善であり、治療ではないので保険が適応されません。
知覚過敏の患者様は多少の痛みを感じる場合があります。
歯ぐきの腫れや歯肉炎のある方は、ナトリウムパウダーがあたることにより、まれに痛みや出血をともなうことがあります。多くの場合、すぐに出血はおさまり、1~2日程度で歯ぐきは治癒していきます。
パウダーによるお口の不快感があります。
うがいしただくことで気にならない程度です。
以下に該当する方は施術を行うことができませんので、その点はご了承ください。
保険のクリーニングは歯石や歯垢(プラーク)をスケーラーという器具を用いて取り除いていきます。
主な目的は虫歯や歯周病の原因となる細菌の除去であり、治療の一環として行われます。
専用の研磨剤ペーストとブラシやラバーカップなどを使って歯を磨き、きれいにしていきます。
PMTCと同様に歯を傷つけることはほとんどありませんが、パウダーを使用するエアフローは更に歯質に与えるダメージが少なくなります。
またクリーニング後の歯の表面もPMTC以上にツルツルになります。
| 所要時間 | 30〜60分 |
|---|---|
| 費用 | 5,500円(税込) |
| 施術の流れ | 1.粘膜にコットンを置き、保護をする 2.エアフローを用いて、歯面清掃を行う |
エアフローは細かいパウダー状の粒子(平均54~73μmm)を歯に吹き付けて汚れを取り除きます。
麻布十番歯科・矯正歯科で使用しているパウダーは「プロフィーパール」という製品です。
低研磨性で、汚れを簡単かつ効果的にクリーニングできます。
水とパウダーの混合噴霧システムを採用することでパウダーの飛散を抑制し、優しく均一なパウダー噴霧で、歯面に優しい素材となっております。
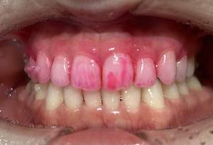
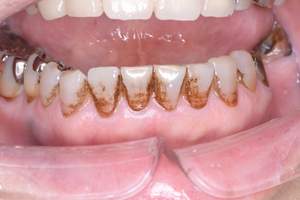
治療前

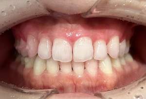
治療後

| 年齢 | 23歳・女性 |
|---|---|
| 主訴 | 着色取りたい |
| 治療内容 | エアフローで着色取り |
| 費用 | 5,500円(税込) (2024年07月現在) |
| 治療期間 | 1日 |
| リスク・副作用 | ナトリウムパウダーによるお口の不快感を伴うことがあります(うがいしていただくことで気にならない程度です)。 ケースにより完全に汚れを落としきれない場合があります。 歯ぐきの腫れや歯肉炎のある方は、ナトリウムパウダーがあたることにより、まれに痛みや出血をともなうことがあります。多くの場合、すぐに出血はおさまり、1~2日程度で歯ぐきは治癒していきます。 着色汚れはクリーニング後に再付着することがあります。定期的な受診をおすすめいたします。 |
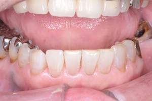
治療前 1
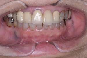
治療後 1
治療前 2
治療後 2
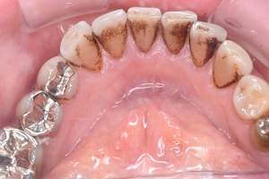
治療前 3
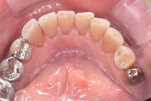
治療後 3
| 年齢 | 58歳・女性 |
|---|---|
| 主訴 | 前歯の着色除去希望 |
| 治療内容 | エアフロー |
| 費用 | 合計:5,500円 (2024年8月現在) |
| 治療期間 | 60分 |
| リスク・副作用 | 呼吸器疾患のある方や放射線治療を行っている方、ナトリウム摂取制限を必要とする方や妊娠中の方は処置を受けられないことがあります。 施術を受ける際、舌や歯肉に当たった粒子でチクチクとした痛みを感じることがあります。 |
| 治療方針 | 歯周病と虫歯の治療を担当医と相談し進めていく予定です。 |
| 担当者所見 | 約4年ぶりの来院でした。他の歯医者に行っても満足いくクリーニングをしてもらえず悩んでいる様子でした。問診時には手で口元を隠すようにお話されていましたが、エアフロー後は笑顔でお話するようになっていました。 |
エアフローは着色を取り除くだけでなく、歯周病や虫歯の予防にも効果的です。
また従来の歯科治療に比べて痛みがほとんどなく、不快感が大幅に減少しておりますのでよりリラックスしながらクリーニングを受けていただくことが可能です。
飲食物やタバコによる着色汚れが気になっている方はぜひ一度ご来院ください。 歯の汚れを取り除き、清潔な口腔内を一緒に保っていきましょう!
| 診療時間 | 月 | 火 | 水 | 木 | 金 | 土 | 日 |
|---|---|---|---|---|---|---|---|
| 9:00〜13:00 | ● | ● | - | ● | ● | ● | ● |
| 14:00〜19:30 | ● | ● | - | ● | ● | - | - |
| 14:00〜17:30 | - | - | - | - | - | ● | ● |
〒106-0044 東京都港区東麻布3-8-8 明商ビル1F
大江戸線 麻布十番駅 6番出口より徒歩10秒
南北線 麻布十番駅 6番出口より徒歩10秒
Google マップを開く >