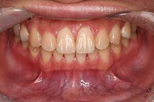
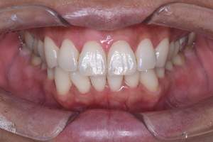
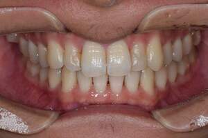
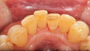
クリーニングの症例
現在の治療費と異なる場合がございます。最新の治療費は料金表をご確認ください。PMTC・歯石除去などの症例
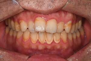
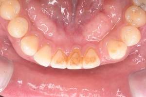
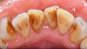
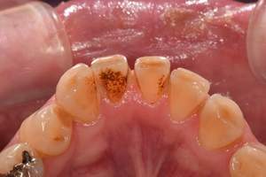
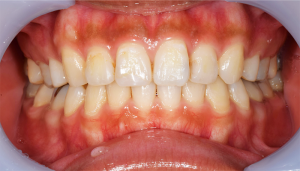
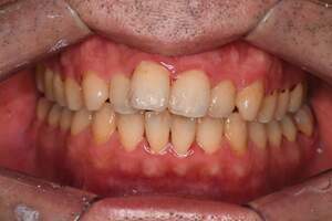
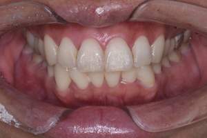
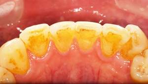
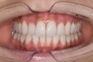
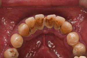
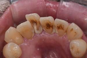
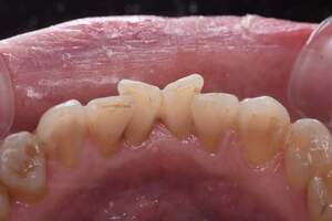
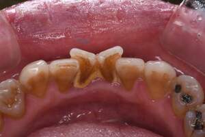
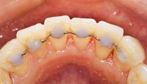
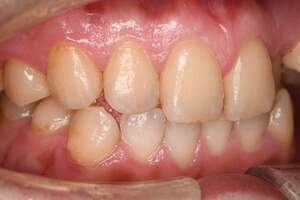
歯石除去
治療前
治療後
| 年齢 | 25歳・男性 |
|---|---|
| 主訴 | 歯石をとりたい・検診 |
| 治療内容 | 各種検査・歯石除去 |
| 治療期間 | 60分 |
| 費用 | 初診料3,000〜4,000円前後 +歯石除去約1,000円 |
| リスク・副作用 | ・処置後に歯がしみることがあります。 ・歯と歯の間に隙間ができるので、息が漏れ発音しにくいと感じることがあります。 ・歯ぐきの炎症が軽減すると歯ぐきが引き締まり、歯が長く見えることがあります。 |
| 担当者所見 | 前歯の裏側にすぐに歯石が溜まってしまいザラザラして気になるとご相談いただいたので適切な歯ブラシの当て方とフロスの通し方をお伝えさせて頂きました。 |
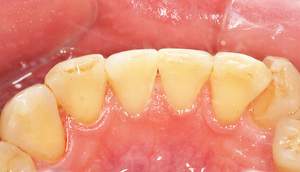
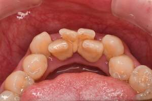
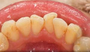
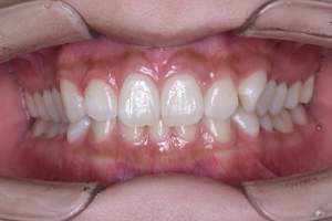
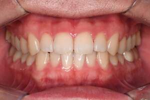
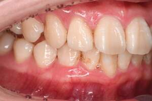
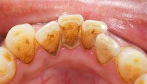
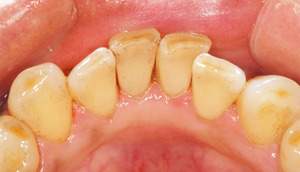
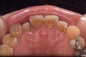
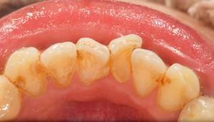
歯石除去
治療前
治療後
| 年齢 | 36歳・男性 |
|---|---|
| 主訴 | 歯石をとりたい |
| 治療内容 | 歯石除去 |
| 治療期間 | 30分 |
| 費用 | 約2,000円 |
| リスク・副作用 | ・歯ぐきの炎症が強いと歯石を取る際に出血することがあります。 ・処置後に歯がしみることがあります。 ・歯と歯の間に隙間ができるので、息が漏れ発音しにくいと感じることがあります。 ・歯ぐきの炎症が軽減すると歯ぐきが引き締まり、歯が長く見えることがあります。 |
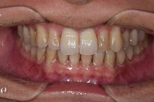
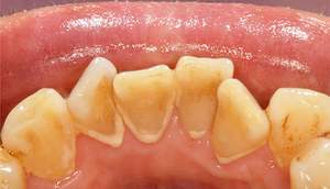
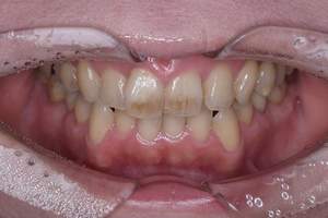
歯石除去
治療前
治療後
| 年齢 | 40歳・男性 |
|---|---|
| 主訴 | 歯石をとりたい |
| 治療内容 | 歯石除去 |
| 治療期間 | 30分 |
| 費用 | 約2,000円 |
| リスク・副作用 | ・歯ぐきの炎症が強いと歯石を取る際に出血することがあります。 ・処置後に歯がしみることがあります。 ・歯と歯の間に隙間ができるので、息が漏れ発音しにくいと感じることがあります。 ・歯ぐきの炎症が軽減すると歯ぐきが引き締まり、歯が長く見えることがあります。 |
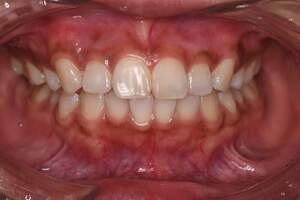
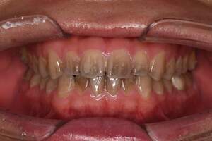
歯石除去
治療前
治療後
| 年齢 | 43歳・男性 |
|---|---|
| 主訴 | 歯石をとりたい |
| 治療内容 | 歯石除去 |
| 治療期間 | 30分 |
| 費用 | 約2,000円 |
| リスク・副作用 | ・歯ぐきの炎症が強いと歯石を取る際に出血することがあります ・処置後に歯がしみることがあります ・歯と歯の間に隙間ができるので、息が漏れ発音しにくいと感じることがあります ・歯ぐきの炎症が軽減すると歯ぐきが引き締まり、歯が長く見えることがあります |
歯石除去
治療前
治療後
| 年齢 | 60歳・男性 |
|---|---|
| 主訴 | 歯石を取りたい |
| 治療内容 | 歯石除去 |
| 治療期間 | 30分 |
| 費用 | 約2,000円 |
| リスク・副作用 | ・歯ぐきの炎症が強いと歯石を取る際に出血することがあります ・処置後に歯がしみることがあります ・歯と歯の間に隙間ができるので、息が漏れ発音しにくいと感じることがあります ・歯ぐきの炎症が軽減すると歯ぐきが引き締まり、歯が長く見えることがあります |
歯石除去
治療前
治療後
| 年齢 | 32歳・男性 |
|---|---|
| 主訴 | 全顎クリーニング |
| 治療内容 | 歯石除去 |
| 治療期間 | 60分×2回 |
| 費用 | 合計5,000円 初診料3,000〜4,000円前後 歯石除去約1,000円(2022年6月現在) |
| リスク・副作用 | ・処置後に歯がしみることがあります。 ・歯肉の炎症がある場合は歯石除去中に出血を伴う可能性があります。 ・歯ぐきの炎症が軽減すると歯ぐきが引き締まり、歯が長く見えることがあります。 |
PMTC・オフィスホワイトニング
治療前
治療後
| 年齢 | 46歳・男性 |
|---|---|
| 主訴 | 着色を取りたい・歯を白くしたい |
| 治療内容 | PMTC・オフィスホワイトニング |
| 治療期間 | 90分 |
| 費用 | PMTC 5,500円 オフィスホワイトニング2回 6,600円(自費 診療) |
| リスク・副作用 | ・生活習慣(喫煙・コーヒーなど)により再度着色することがあります ・詰め物や被せ物はホワイトニングでは白くなりません ・ホワイトニングの効果は永久的なものではなく徐々に色戻りが起こります ・ホワイトニング後は歯の表面の水分量が一時的に少なくなりしみることがあります ・保険適用外の施術です |
歯石除去・オフィスホワイトニング
治療前
治療後
| 年齢 | 30歳・女性 |
|---|---|
| 主訴 | クリーニング・歯を白くしたい |
| 治療内容 | 歯石除去・オフィスホワイトニング |
| 治療期間 | 60分×2回 |
| 費用 | 歯石除去 約2,000円 オフィスホワイトニング2回 6,600円(自費 診療) |
| リスク・副作用 | ・歯ぐきの炎症が強いと歯石を取る際に出血することがあります ・歯と歯の間に隙間ができるので、息が漏れ発音しにくいと感じることがあります ・歯ぐきの炎症が軽減すると歯ぐきが引き締まり、歯が長く見えることがあります ・ホワイトニングの効果は永久的なものではなく徐々に色戻りが起こります ・ホワイトニング後は歯の表面の水分量が一時的に少なくなりしみることがあります ・ホワイトニングは自費診療の施術です |
PMTC
治療前
治療後
| 年齢 | 34歳・女性 |
|---|---|
| 主訴 | 着色をとりたい |
| 治療内容 | PMTC |
| 治療期間 | 60分 |
| 費用 | PMTC 5,500円(自費診療) |
| リスク・副作用 | ・生活習慣(喫煙・コーヒーなど)により再度着色することがあります ・PMTCは歯を白くするものではなく着色・バイオフィルムの除去を目的としています ・保険適用外の施術です |
PMTC
治療前
治療後
| 年齢 | 50歳・男性 |
|---|---|
| 主訴 | 着色をとりたい |
| 治療内容 | PMTC |
| 治療期間 | 30分 |
| 費用 | PMTC 5,500円(自費診療) |
| リスク・副作用 | ・生活習慣(喫煙・コーヒーなど)により再度着色することがあります ・PMTCは歯を白くするものではなく着色・バイオフィルムの除去を目的としています ・保険適用外の施術です |
PMTC
治療前
治療後
| 年齢 | 43歳・女性 |
|---|---|
| 主訴 | 着色をとりたい |
| 治療内容 | PMTC |
| 治療期間 | 30分 |
| 費用 | PMTC 5,500円(自費診療) |
| リスク・副作用 | ・生活習慣(喫煙・コーヒーなど)により再度着色することがあります ・PMTCは歯を白くするものではなく着色・バイオフィルムの除去を目的としています ・保険適用外の施術です |
PMTC
治療前
治療後
| 年齢 | 43歳・女性 |
|---|---|
| 主訴 | 着色をとりたい |
| 治療内容 | PMTC |
| 治療期間 | 30分 |
| 費用 | PMTC 5,500円(自費診療) |
| リスク・副作用 | ・生活習慣(喫煙・コーヒーなど)により再度着色することがあります ・PMTCは歯を白くするものではなく着色・バイオフィルムの除去を目的としています ・保険適用外の施術です |
PMTC
治療前
治療後
| 年齢 | 32歳・男性 |
|---|---|
| 主訴 | 主訴:クリーニング 治療部位:全顎 |
| 治療内容 | PMTC(自費診療) |
| 治療期間 | 60分 |
| 費用 | PMTC 5,500円※自費診療 (2023年4月現在) |
| リスク・副作用 |
・PMTCは歯を白くするものではなく着色・バイオフィルムの除去を目的としています。 ・保険適用外の施術です。 |
| 担当者所見 |
歯の表面がザラザラし以前より歯が黄色くなったと感じるとのことでクリーニング希望で来院されました。 歯面全体にバイオフィルムが付着していた為PMTCを行いました。クリーニング後ツルツルとした舌感と爽快感を実感し、また気になっていた色もご自身の元の光沢感のある色に戻り満足されていました。 今後この状態を維持しやすいよう歯ブラシの選び方当て方動かし方などセルフケアのポイントをお伝えしました。 |
スケーリング
治療前
治療後
| 年齢 | 49歳・男性 |
|---|---|
| 主訴 | 歯石を取りたい |
| 治療内容 | 全顎歯石除去 |
| 治療期間 | 60分 |
| 費用 | 約2,000円(保険適用) (2023年5月現在) |
| リスク・副作用 |
・歯ぐきの炎症が強いと歯石を取る際に出血することがあります。 ・処置後に歯がしみることがあります。 ・歯と歯の間に隙間ができるので、息が漏れ発音しにくいと感じることがあります。 ・歯ぐきの炎症が軽減すると歯ぐきが引き締まり、歯が長く見えることがあります。 |
| 治療方針 | 久しぶりの歯科医院で歯石が硬く多量でした。歯ブラシ指導も併せて行いました。 歯ぐきの中の見えない部分にも歯石が多量に付着しているので今後は縁下歯石除去(SRP)を行なっていく予定です。 |
| 担当者所見 | 歯石がなくなり歯ぐきが改善するとことにより、しみやすいことをお伝えしました。セルフケア指導としては1本ずつ丁寧に磨くことをお話しさせて頂きました。 柔らかめの歯ブラシで斜め45度に歯と歯ぐきの境目に当て磨くこと、洗口剤の使用を提案しました。 |
スケーリング
治療前
治療後
| 年齢 | 45歳・男性 |
|---|---|
| 主訴 | 歯石をとりたい |
| 治療内容 | 全顎歯石除去 |
| 治療期間 | 60分 |
| 費用 | 約2,000円(保険適用) (2022年7月現在) |
| 治療方針 | 約4年ぶりの歯科医院で歯のクリーニングを行いたいと来院されました。 歯石除去と歯の表面に付着したプラークを取り除きました。また、ご自身でしっかり歯磨きができるように、歯ブラシのレッスンも行いました。 |
| 担当者所見 | 歯石がなくなった変化に驚き、すっきりしたと喜んでくださいました。歯周病の進行がみられるので次回以降歯周病治療を行っていきます。 |
プロフェショナルクリーニング(PMTC)
治療前
治療後
| 年齢 | 26歳・女性 |
|---|---|
| 主訴 | 主訴:着色除去 治療部位:全顎 |
| 治療内容 | PMTC(自費診療) |
| 治療期間 | 30分 |
| 費用 | 5,500円 (2023年5月現在) |
| リスク・副作用 | ・生活習慣(喫煙・コーヒーなど)により再度着色することがあります。 ・PMTCは歯を白くするものではなく着色・バイオフィルムの除去を目的としています。 ・保険適用外の施術です。 |
| 治療方針 | プロフェショナルクリーニング(PMTC)後ホワイトニングを行う予定です。 |
| 特記事項 | 右下3番、2番の間に着色が目立ち、歯ブラシの動かし方の確認を行うとストロークが大きく、着色部位に歯ブラシが当たっていませんでした。歯ブラシが歯面に当たる角度を確認し、細かく振動を送るように動かすよう指導しました。一緒にステイン除去効果のある歯磨剤のおすすめを行いました。 |
| 担当者所見 | 右下3番、2番の間の着色が気になると来院されPMTCを行いました。喫煙の習慣はなく日常的にコーヒーを飲んでいるとのことでした。クリーニング後は歯がツルツルになったと喜んでくださいました。 |
プロフェショナルクリーニング(PMTC)
治療前
治療後
| 年齢 | 29歳・男性 |
|---|---|
| 主訴 | 主訴:着色除去 治療部位:全顎 |
| 治療内容 | PMTC(自由診療) |
| 治療期間 | 30分 |
| 費用 | 5,500円 (2023年5月現在) |
| リスク・副作用 | ・プラスチック等の修復物の着色は除去できません。 ・PMTCは歯を白くするものではなく着色·バイオフィルムの除去を目的としています。 ・脱灰・虫歯による歯自体の変色は除去できません。 ・生活習慣(喫煙・コーヒーなど)により再度着色することがあります。 |
| 治療方針 | プロフェッショナルクリーニング(PMTC)による着色除去 |
| 担当者所見 | タバコやコーヒーによって付着したステインを除去したいと来院されました。歯ブラシを頑張っていても着色が付いてしまうとお悩みでした。タバコに含まれるタールは食品・飲み物に含まれる色素物質と相互作用し、歯の着色を強める可能性があります。 PMTCでは、着色を除去した後ミネラルを補給しながら歯の表面をツルツルに仕上げます。定期的にPMTCを行うことにより、着色がつきにくい状態になることをお伝えしました。 |
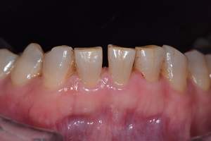
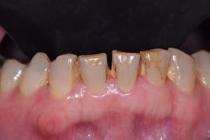
歯石除去
治療前
治療後
| 年齢 | 31歳・女性 |
|---|---|
| 主訴 | 主訴:歯石除去 部位:全顎 |
| 治療内容 | 初診検査・歯石除去 |
| 治療期間 | 2週間 |
| 費用 | 合計:約4,000~5,000円 内訳 初診料:約3,000~4,000円 (保険診療) 歯石除去:約1,000円 (2023年1月現在) |
| リスク・副作用 | ・歯肉の炎症がある場合は歯石除去中に出血を伴う可能性があります。 ・処置後に歯がしみることがあります。 ・歯茎の炎症が軽減すると歯茎が引き締まり、歯が長く見えることがあります。 |
| 治療方針 | 前歯部に叢生(歯列不正)があり多量の歯石が認められました。炎症の抑制を優先するため初診時はTBIのみ行い、2回目以降で歯石除去を行いました。今後は縁下歯石(歯ぐきの中に付着する歯石)の除去を全顎的に行っていく予定です。 |
| 担当者所見 | 叢生(そうせい)とは歯が折り重なるようにデコボコにはえている状態をいいます。歯ブラシが難しく磨き残しをしやすい為、普段使用している歯ブラシに加えワンタフトという細かい部分も磨くことのできる小さな毛束の歯ブラシの使用をおすすめしました。 |
| 担当者所見 | 歯石の存在は感じていたものの歯科医院に苦手意識が強く3年ほど放置していたとのことでした。 舌で触った時にザラザラすることや口臭も気になった為、今回意を決してご来院くださいました。 ブラッシング指導を熱心に聞いてくださり、セルフケアで歯肉の炎症を抑えた上で歯石除去ができたのでお痛みが少なく行えました。 患者様も苦手意識が克服できたと喜んでくださり、今後の治療にも積極的な姿勢です。 |
プロフェショナルクリーニング(PMTC)
治療前
治療後
| 年齢 | 50歳・女性 |
|---|---|
| 主訴 | 着色をとりたい |
| 治療内容 | PMTC |
| 治療期間 | 60分 |
| 費用 | 5,500円 (2023年8月現在) |
| リスク・副作用 | ・生活習慣(喫煙・コーヒーなど)により再度着色することがあります。 ・PMTCは歯を白くするものではなく着色・バイオフィルムの除去を目的としています。 ・保険適用外の施術です。 |
| 治療方針 | PMTC |
| 特記事項 | カフェイン、緑茶をよく飲むとの事でした。 |
| 担当者所見 | 着色と歯の表面のザラつきが気になるとのことで来院されました。 PMTCを行い、着色・バイオフィルムを除去しました。 今後は定期的にクリーニングを行っていく予定です。 |
プロフェショナルクリーニング(PMTC)
治療前
治療後
| 年齢 | 23歳・男性 |
|---|---|
| 主訴 | 主訴:着色除去 治療部位:全顎 |
| 治療内容 | PMTC |
| 治療期間 | 30分 |
| 費用 | PMTC 5,500円(自費診療) (2024年1月現在) |
| リスク・副作用 | ・生活習慣(喫煙・コーヒーなど)により再度着色することがあります。 ・PMTCは歯を白くするものではなく着色・バイオフィルムの除去を目的としています。 ・保険適用外の施術です。 |
| 治療方針 | PMTC(プロフェッショナルクリーニング)にてステインの除去 |
| 特記事項 | 清涼飲料水や甘い炭酸飲料、コーヒーを好んでよく飲むそうです。 酸により歯の表面のエナメル質が溶かされるとステインが付着しやすくなること、コーヒーに含まれるポリフェノールはステインの原因になることをお伝えしました。 |
| 担当者所見 | ステイン除去により歯が白くトーンアップして見えます。 同時に歯面がツルツルになりスッキリしたと喜んでくださいました。 予防への関心も高まり、今後の定期検診にも意欲的です。 |
プロフェショナルクリーニング(PMTC)
治療前
治療後
| 年齢 | 25歳・男性 |
|---|---|
| 主訴 | 着色を取りたい。 |
| 治療内容 | PMTC |
| 治療期間 | 30分 |
| 費用 | 5,500円(自費診療) (2023年6月現在) |
| リスク・副作用 | ・生活習慣(喫煙・コーヒーなど)により再度着色することがあります。 ・PMTCは歯を白くするものではなく着色・バイオフィルムの除去を目的としています。 ・保険適用外の施術です。 |
| 治療方針 | PMTC |
| 特記事項 | 健康のために毎日ブルーベリースムージーを飲んでいるとの事でした。 摂取した後歯ブラシは行っていないようです。 |
| 担当者所見 | 毎日ブルーベリースムージーを飲むため着色が気になるとのことでした。摂取後は、お水で口をゆすぐといい事をお伝えしました。 同時にセルフケア指導も行いました。 今後は1ヶ月に1回のペースでクリーニングを行い、着色がつきにくくなる歯磨剤を使用して着色予防をしていきます。 |
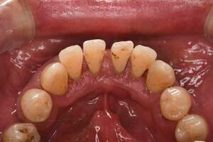
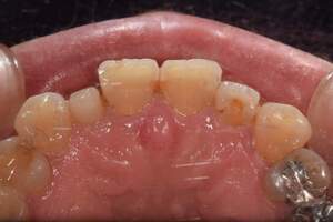
歯石除去・PMTC
治療前
治療後
| 年齢 | 52歳・男性 |
|---|---|
| 主訴 | クリーニング希望 治療部位:全顎 |
| 治療内容 | 初診検査 歯石除去(保険診療) PMTC(自費診療) |
| 治療期間 | 60分 |
| 費用 | 合計約10,500円 初診検査約3,000~4,000円 歯石除去約1,000円 PMTC5,500円(自費診療) (2024年2月現在) (歯の本数や検査内容で料金が変動します。) |
| リスク・副作用 | ・歯ぐきの炎症がある場合は歯石除去中に出血を伴う可能性があります。 ・処置後、知覚過敏がおこる可能性があります。 ・歯石除去後、炎症が治ると歯ぐきが引き締まる為、歯が長くなったように感じることがあります。 |
| 治療方針 | 全顎的に歯石除去後、PMTCにて着色とバイオフィルムを除去。 |
| 特記事項 | ・3年ぶりの歯科医院 ・1日に3杯程度コーヒーを飲む |
| 担当者所見 | 下の前歯の裏側(舌側)に歯間を埋めるように歯石がついていました。 歯間の歯石がなくなると、舌で触った時に気になっていたざらつきもなくなり、すっきりしたと喜んでくださいました。 |
プロフェショナルクリーニング(PMTC)
治療前
治療後
| 年齢 | 45歳・女性 |
|---|---|
| 主訴 | 着色除去 |
| 治療内容 | PMTC |
| 治療期間 | 30分 |
| 費用 | 5,500円 (2024年3月現在) |
| リスク・副作用 | ・プラスチック等の修復物の着色は除去できません。 ・PMTCは歯を白くするものではなく着色·バイオフィルムの除去を目的としています。 ・脱灰・虫歯による歯自体の変色は除去できません。 ・生活習慣(喫煙・コーヒーなど)により再度着色することがあります。 |
| 治療方針 | プロフェッショナルクリーニング(PMTC)による着色除去 |
| 特記事項 | ・喫煙習慣なし ・毎日紅茶を2~3杯飲む |
| 担当者所見 | 寒くなり温かい紅茶を習慣的に毎日飲むようになり、着色が気になり始めたとのことでした。 PMTCにより前歯部の着色がなくなり喜んでくださいました。 |
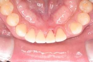
歯石除去
治療前1
治療後1
治療前2
治療後2
| 年齢 | 56歳・男性 |
|---|---|
| 主訴 | 主訴:歯石除去 治療部位:全顎 |
| 治療内容 | 初診検査・歯石除去 |
| 治療期間 | 60分 |
| 費用 | 合計約5,000円 初診検査約3,000〜4,000円 歯石除去約1,000円 (2024年4月現在) (歯の本数や検査内容で料金が変動します。) |
| リスク・副作用 | ・歯と歯の間に隙間ができるので、息が漏れ発音しにくいと感じることがあります。 ・歯ぐきの炎症がある場合は歯石除去中に出血を伴う可能性があります。 ・処置後に歯がしみることがあります。 ・歯ぐきの炎症が軽減すると歯ぐきが引き締まり、歯が長く見えることがあります。 |
| 治療方針 | 歯石除去・ブラッシング指導後SRP(歯ぐきの中に付着する歯石の除去) |
| 特記事項 | ・30年ぶりの歯科医院 ・毎食後の歯ブラシ習慣はあるが1分程度 |
| 担当者所見 | 全体の検査と歯石除去希望で来院されました。 特に下顎前歯部の歯と歯の間の歯石が、笑った時に見えてしまい気になるとのことで、初診検査後に歯石除去を行いました。 ブラッシング指導は歯間ブラシの入れ方と歯ブラシの動かし方をお伝えしました。 今後は治療と共に縁下歯石(歯ぐきの中に付着する歯石)の除去を行なっていく予定です。 |
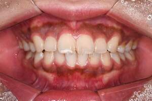
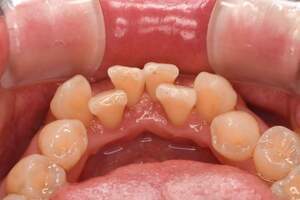
歯石除去
治療前
治療後
| 年齢 | 56歳・女性 |
|---|---|
| 主訴 | 主訴:歯石除去・検診 治療部位:全顎 |
| 治療内容 | 初診検査・歯石除去 |
| 治療期間 | 60分 |
| 費用 | 合計約5,000円 初診検査約3,000〜4,000円 歯石除去約1,000円 (2024年5月現在) (歯の本数や検査内容で料金が変動します。) |
| リスク・副作用 | ・歯ぐきの炎症がある場合は歯石除去中に出血を伴う可能性があります。 ・処置後に歯がしみることがあります。 ・歯ぐきの炎症が軽減すると歯ぐきが引き締まり、歯が長く見えることがあります。 |
| 治療方針 | ブラッシング指導・縁上歯石除去後に縁下歯石除去を行う |
| 特記事項 | 15年ぶりの歯科医院 |
| 担当者所見 | 歯ブラシは1日2回1分程度ですぐに終わらせていた。 歯科医院にも行かなくなり、舌でも感じる前歯の裏側の歯石が気になるとのことでした。 今回のクリーニングを機にセルフケアへのモチベーションが高まり、適切なブラッシング方法を学び実践したいと仰ってくださいました。 歯ブラシ習慣の見直しを相談し、動かし方の練習も一緒に行いました。 今後は縁下歯石(歯ぐきの中に付着する歯石)の除去を全顎的に行っていく予定です。 |
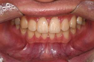
歯石除去、着色除去
治療前
治療後
| 年齢 | 25歳・女性 |
|---|---|
| 主訴 | 主訴:歯石除去、着色除去 治療部位:全顎 |
| 治療内容 | 初診検査・歯石除去・PMTC |
| 治療期間 | 60分 |
| 費用 | 合計約10,500円 初診検査約3,000〜4,000円 歯石除去約1,000円 PMTC5,500円(自費診療) (2024年6月現在) (歯の本数や検査内容で料金が変動します。) |
| リスク・副作用 | ・歯ぐきの炎症がある場合は歯石除去中に出血を伴う可能性があります。 ・処置後、知覚過敏が起こる可能性があります。 ・歯ぐきの炎症が治ると、歯ぐきが引き締まる為歯が長くなったと感じる事があります。 ・PMTCは歯を白くするものではなく着色・バイオフィルムの除去を目的としています。 |
| 治療方針 | 全顎的な歯石除去後、PMTCで着色とバイオフィルムを除去。 |
| 特記事項 | 矯正経験あり ホワイトニング経験あり |
| 担当者所見 | 歯石除去と前歯部の着色除去希望で来院されました。 下顎前歯の歯間部の歯石に対してフロス指導を行いました。 PMTCにより着色がなくなり、歯のトーンアップも感じられたと喜んでくださいました。 |
プロフェショナルクリーニング(PMTC)
治療前
治療後
| 年齢 | 32歳・女性 |
|---|---|
| 主訴 | 主訴:歯の表面のザラつきと黄ばみが気になる 治療部位:全顎 |
| 治療内容 | PMTC |
| 治療期間 | 30分 |
| 費用 | 5,500円 (2024年8月現在) |
| リスク・副作用 | ・PMTCは歯を白くするものではなく着色·バイオフィルムの除去を目的としています。 ・保険適用外の施術です。 |
| 治療方針 | 定期的なクリーニング |
| 特記事項 | 海外から一時帰国中 |
| 担当者所見 |
バイオフィルム・プラークにより歯面がざらつき黄ばんできたと感じるとのことでした。 PMTC後は歯がツルツルになりトーンも明るくなったと喜んでくださいました。 帰国のタイミングでクリーニングを継続していくことになりました。 |
全顎SCとPMTC
治療前
治療後
| 年齢 | 33歳・男性 |
|---|---|
| 主訴 | 全顎SCとPMTC |
| 治療内容 | SC、PMTC (自費診療) |
| 治療期間 | 60分 |
| 費用 | SC 5,500円(自費診療) PMTC 5,500円 (自費診療) 合計 11,000円 (2024年1月現在) |
| リスク・副作用 | ・処置後に歯がしみることがあります ・歯と歯の間に隙間ができるので、息が漏れ発音しにくいと感じることがあります ・歯ぐきの炎症が軽減すると歯ぐきが引き締まり、歯が長く見えることがあります ・PMTCは歯を白くするものではなく着色·バイオフィルムの除去を目的としています。 ・PMTCは保険適用外の施術です。 |
| 治療方針 | 前歯の裏の着色が気になるとの事で来院されました。 虫歯治療は他院でおこなっているため、着色を落として欲しいとのご希望でした。 口腔内写真をお見せてして、着色と歯石も着いていることを説明しました。 歯石除去と歯の表面に付着したプラーク、着色を取り除きました。 また、セルフケア指導も行いました。 |
| 担当者所見 | 歯石がなくなり、PMTCでつるつるになったと喜んでいました。 ご自身でしっかり歯磨きが出来るように1本ずつ丁寧に磨くことをお話しさせて頂きました。 柔らかめの歯ブラシで斜め45度に歯と歯ぐきの境目に当て磨くレッスンを行いました。 今後も定期的なメインテナンスを行っていく予定です。 |
ガムピーリングの症例
ガムピーリングの症例①
歯ぐきの汚れもクリーニングしたい
歯ぐきが黒ずんでいるのが気になるという方は、歯ぐきのクリーニング「ガムピーリング」がオススメ
です。
下の画像のようにきれいなピンク色になります。
治療前
治療後
| 年齢 | 20代・女性 |
|---|---|
| 主訴 | 歯ぐきの黒ずみが気になる。 |
| 治療方針 | 歯ぐきピーリング |
| 治療対象 | 上下歯肉 |
| 治療期間 | 2回 |
| 費用 | ・カウンセリング 0円 ・初診・検査 約3,200円 ・歯ぐきピーリング 約11,000円 |
| 担当者所見 | 保険診療でお口の中全体を審査診断させて頂き、歯肉の状態を確認したのち、歯肉ピーリングを行いました。 まだ若干赤みが残っていますが、1週間で綺麗に黒ずみを除去することができ、お顔周りのトーンが1トーン上がり歯も白くみえますし患者様も喜んでくださいました。 |
ガムピーリングの症例②
治療前
治療後
| 年齢 | 20代・女性 |
|---|---|
| 主訴 | 歯ぐきの色が気になる、ホワイトニングもしたい |
| 治療方針 | ガムピーリング |
| 治療期間 | 1日 |
| 費用 | ガムピーリング上下顎11,000円 |
| リスク・副作用 | 一時的に歯ぐきが白くなるが、10日程度でピンク色の歯ぐきに戻る。 施術後はやけどをしたようなヒリヒリ感が出ることもある。 |
| 担当者所見 | 1週間後に歯ぐきのチェックでご来院頂きました。1度のピーリングでもここまで白くなりました。 |
ガムピーリングの症例③
治療前
治療後
| 年齢 | 40代・女性 |
|---|---|
| 主訴 | 歯ぐきの色が気になる |
| 治療方針 | ガムピーリング(上下顎) |
| 治療期間 | 1日 |
| 費用 | 上下顎 11,000円(税込) (2024年6月現在) |
| リスク・副作用 | ・フェノール・アルコール類のアレルギーは禁忌 ・痛みに対する反応は個人差があり、やけどをしたようなヒリヒリ感を感じる場合がある ・施術後3~5日間ぐらいは歯ぐきが白っぽくなるが、1週間後あたりで健康な歯ぐきに戻る ・ヒリヒリとした痛みがある ・3~5程度歯ぐきが白くなる ・生活習慣により後戻りする場合がある |
| 治療方針 | ①口腔内チェック ②表面麻酔の塗布 ③歯ぐきの色素沈着部位に薬剤を塗布 (メラニンの除去に効果的なフェノール剤を塗り、しばらく時間をおいてからエタノール剤で中和させる。) ④薬剤の洗浄 ⑤塗布後3~5日間は歯ぐきが白くなる。自然と剝がれてくるので無理に剝がさないようにする。 ⑥2週間後を目安に状態チェックを行う。 |
| 担当者所見 | 笑ったり話したりする時に黒い歯ぐきが気になるとの事で来院されました。 ガムピーリングを行う事でメラニン色素は除去され、綺麗で健康的な歯ぐきになりました。 患者さんもピンク色の歯ぐきになったと満足して頂きました。 |
ガムピーリングの症例④
治療前
治療後
| 年齢 | 20代・女性 |
|---|---|
| 主訴 | 歯ぐきの色が気になる |
| 治療方針 | ガムピーリング(上下顎) |
| 治療期間 | 1日 |
| 費用 | 上下顎 11,000円(税込) (2025年1月現在) |
| リスク・副作用 | ・フェノール・アルコール類のアレルギーは禁忌 ・痛みに対する反応は個人差があり、やけどをしたようなヒリヒリ感を感じる場合がある ・施術後3~5日間ぐらいは歯ぐきが白っぽくなるが、1週間後あたりで健康な歯ぐきに戻る ・ヒリヒリとした痛みがある ・3~5程度歯ぐきが白くなる ・生活習慣により後戻りする場合がある |
| 治療方針 | ①口腔内チェック ②表面麻酔の塗布 ③歯ぐきの色素沈着部位に薬剤を塗布 (メラニンの除去に効果的なフェノール剤を塗り、しばらく時間をおいてからエタノール剤で中和させる。) ④薬剤の洗浄 ⑤塗布後3~5日間は歯ぐきが白くなる。自然と剝がれてくるので無理に剝がさないようにする。 ⑥2週間後を目安に状態チェックを行う。 |
| 担当者所見 | 初診時にホワイトニング希望で来院されて、ホワイトニングや定期検診で通って下さっている患者さまです。 以前は歯ぐきの色を気にする事はなかったけれど、口腔内写真を見てから気になるようになったとの事でした。 ガムピーリングをチャレンジしてみたいとの事で行いました。 痛みもそれほどなく、綺麗な歯ぐきになったと満足して頂きました。 |