プラークとは主に食べ物の中に含まれる糖を栄養にして活動しています。
プラークは歯と歯ぐきの間にある歯周ポケットの中に侵入して歯を支える骨を溶かしていきます。
残念なことに、一度溶けてしまった骨は元に戻ることはありません。
歯周病はいつの間にか進行していて、気付いた時には重度歯周病にかかってしまい歯を抜かねくてはならない、ということもしばしば見かけられます。
早期に発見し、予防や治療を行い進行を阻止しなくてはなりません。

皆さんは、歯周病を御存知ですか?
歯周病という言葉は、皆さん一度は聞いたことがある言葉だと思います。
朝起きて口の匂いが気になったり、歯ぐきから血が出る、唾液がネバネバするなと感じたことはございませんか?
一昔前までは、歯周病といえば年齢を重ねた人がなる病気という認識がありました。しかし、今は子供でも歯周病にかかる子がいます。
プラークとは主に食べ物の中に含まれる糖を栄養にして活動しています。
プラークは歯と歯ぐきの間にある歯周ポケットの中に侵入して歯を支える骨を溶かしていきます。
残念なことに、一度溶けてしまった骨は元に戻ることはありません。
歯周病はいつの間にか進行していて、気付いた時には重度歯周病にかかってしまい歯を抜かねくてはならない、ということもしばしば見かけられます。
早期に発見し、予防や治療を行い進行を阻止しなくてはなりません。

早期発見のため、以下の簡単なチェックリストをやってみましょう!!

歯周病は、生活習慣病の一つです。
永久歯抜歯原因の一位は歯周病で、42%を締めています。
歯周病は年齢を重なる事に上昇し、40〜69歳では約80%に達します。
歯周病は徐々に進行していきます。
気づかずそのまましておくと歯と歯ぐきの溝の”歯周ポケット”の中でばい菌がどんどん繁殖してしまいます。
この初期の段階であれば治療はさほど大変ではないですが、放置すると非常に厄介です。
放置期間が長引いてしまうと”歯周ポケット”がどんどん深くなってしまいます。
そうすると最終的に歯を支えている骨を溶かしてしまい、抜歯に至ることにもつながります。


では、どうすればいいでしょうか?
話は簡単です。まずは歯医者さんにいって自分の歯周病の状態を確認することが大切です!
お近くの歯医者さんを受診してみましょう!
皆さん歯磨きは1日何回していますか?
歯周病を予防する中で歯磨きは1番重要です。
歯磨きをしないと、上記ので話した通り、食物の糖が口腔内で停滞しており、歯周病菌の恰好の餌食です。
歯磨きは自分自身で出来る最高の予防になります。
自分に合った、正しい磨き方、回数、歯磨き粉の種類、歯ブラシの種類、知っていますか?歯医者さんに一度行って確認してみましょう。

歯周病菌の増殖に繋がるのは、食物の糖が原因です。
糖を栄養にして菌はみるみるうちに増殖して歯を支えている骨を溶かしていきます。
だらだら食べをしていると口腔内が歯周病菌の住みやすい空間になり、進行のリスクがあがります。

家族の中に歯周病が進行している人がいるとその世帯みんなの歯周病リスクが高くなることが分かっています。
口腔内の細菌は直箸や同じ食器を使うことによって感染するといわれてきましたが、食器の共用を避けたとしても感染を防げるわけではありません。
歯周病に限らず虫歯にもいえることですが、普段のスキンシップからも感染するといわれています。
家族みんなで予防意識を高めましょう!

歯並びやかみ合わせが原因でブラッシングが困難になると、歯に汚れが残ってしまう原因になり歯周病のリスクが上がります。
また、かみ合わせが強かったり、歯ぎしりの癖があるせいで歯や歯の周りの組織に外傷を与えることもあります。

喫煙習慣は歯周病の発症と進行に最も大きな影響を及ぼすと言われています。
喫煙によって歯ぐきの毛細血管が収縮し血流が悪くなると、歯周病菌に対する免疫細胞が行き届かなくなります。
そのため、歯ぐきの免疫力がなくなり歯周病が進行してしまう恐れがあります。
さらに出血や腫れが出にくくなるため、ご自身での気づきが遅くなる傾向にあります。

歯周病と大きく関係しているのが、糖尿病です。
糖尿病の方と健康な方を比較すると、歯周病率やその進行度が高い事が報告されています。
歯周病になった歯周組織から産生されるサイトカインという物質が血管内のインスリンの機能を低下させることによって、糖尿病を悪化させている事が分かっています。

薬の副作用で歯周組織に影響を及ぼす事があります。
高血圧やてんかん治療に用いる降圧剤にも副作用があり歯ぐきが硬く腫脹、増殖、口渇などの症状が見られる事があります。
この様なお薬を飲まれているかたは、汚れがたまると腫れやすく歯周病の進行が一気に進むこともあります。

いかがだったでしょうか?
歯周病は皆さんが想像しているよりも身近にあって気付かないうちに進行してしまう恐れがある病気です。
進行してしまい、皆さんの大切な歯を失ってしまうことになりたくないですよね?
私たちも、1秒でも長く皆さんのお口の中で歯が機能する様にと思っております。
ぜひ皆さんお近くの歯科医院を受診してみてはいかがでしょうか?


歯周病治療は歯医者さんと患者さんがお互いにコミュニケーションをとって治療していけば必ず治る病気です。
そのため当院の掲げているよく説明するというコンセプトをとても大切にしています。
まずは是非当院に来院して歯周病診断を受けてみてはいかがでしょうか?

さて、先ほど歯周病治療でコミュニケーションが大切と申し上げましたが、実際にどういったことを行なっていくのかご説明いたします。
基本的な歯周病治療の流れとしましては、①〜④までの4項目が歯周基本治療となります。
しかしここで治癒に向かわなかった場合、①〜⑧という流れになります。
上記の手順で検査・治療と行なっていきますが、歯周病治療は長そう・・痛そう・・と思っている方もいらっしゃるのではないでしょうか?
回数や内容は歯周病の段階によって異なります!
軽度で発見できればそれだけ費用・回数は少なくすみます。

目安として下記の表を見てみてください。
|
回数
|
スケーリング
(保険) |
ルートプレーニング
(保険) |
PMTC
(自費) |
メンテナンス
(保険) |
|
|---|---|---|---|---|---|
| 軽度 | 3〜6回 | 約500円 | 約1,500円 | 5,500円 | 約4,500円 |
| 中等度 | 7〜9回 | 約500円 | 約1,500円 | 5,500円 | 約4,500円 |
| 重度 | 10〜20回 | 約500円 | 約1,500円 | 5,500円 | 約4,500円 |
口腔内状況により、回数・料金は前後いたします。
虫歯・歯周病の原因となるバイオフィルム(細菌膜)を機械的に除去し歯の表面をツルツルにするクリーニングです。コーヒーや紅茶等でついてくる着色も落とすことができ審美的にも良くなります。
現在の治療費と異なる場合がございます。最新の治療費は料金表をご確認ください。
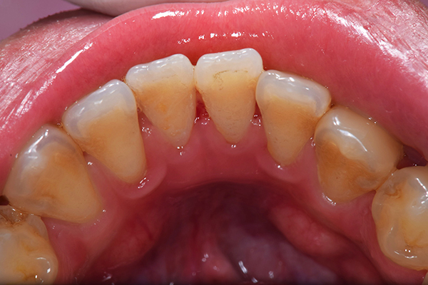
歯石・歯垢により歯ぐきが腫れ赤くなっています。
ブラッシング指導と歯石除去を行い3週間後です。
腫れや赤みが治り、健康的なピンクの歯ぐきになりました。
| 年齢・性別 | 35歳・男性 |
|---|---|
| 主訴 治療部位 |
歯ぐきから血が出る |
| 治療内容 | 初診検査・歯石除去・ 縁下歯石除去(SRP) |
| 治療費 |
初診料:3,000〜4,000円 合計12,600円 |
| 治療期間 | 3ヶ月 |
| リスク・副作用 | ・歯肉の炎症がある場合は歯石除去中に 出血を伴う可能性があります。 ・処置後に歯がしみることがあります。 ・歯ぐきの炎症が軽減すると歯ぐきが引き締まり、歯が長く見えることがあります。 |
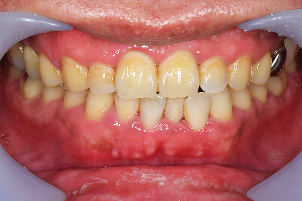
歯石の上にも着色がつき、歯肉の腫れ発赤が見られます。バイオフィルムにより歯の表面はザラザラです。
歯ブラシ指導・縁上歯石〜深部歯石除去・PMTCを行い、歯肉の腫れや発赤が引き見た目も綺麗になりました。
| 年齢・性別 | 40歳・男性 |
|---|---|
| 主訴 治療部位 |
歯石・着色を取りたい |
| 治療内容 | 初診検査・歯石除去・縁下歯石除去(SRP)・着色除去(PMTC) |
| 治療費 |
初診料:3,000〜4,000円 合計18,100円 |
| 治療期間 | 3ヶ月 |
| リスク・副作用 | ・歯肉の炎症がある場合は歯石除去中に 出血を伴う可能性があります。 ・処置後に歯がしみることがあります。 ・歯ぐきの炎症が軽減すると歯ぐきが引き締まり、歯が長く見えることがあります。 |
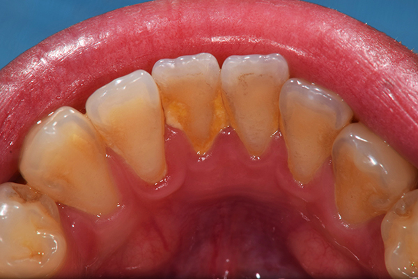
歯と歯の間を埋めるように付着している黄白色のものが歯石です。
歯ブラシ指導・縁上歯石〜深部歯石除去・PMTCを行い、歯肉の腫れや発赤が引き見た目も綺麗になりました。
| 年齢・性別 | 28歳・男性 |
|---|---|
| 主訴 治療部位 |
歯石を取りたい |
| 治療内容 | 初診検査・歯石除去・縁下歯石除去(SRP)・着色除去(PMTC) |
| 治療費 |
初診料:3,000〜4,000円 合計18,100円 |
| 治療期間 | 3ヶ月 |
| リスク・副作用 | ・歯肉の炎症がある場合は歯石除去中に 出血を伴う可能性があります。 ・処置後に歯がしみることがあります。 ・歯ぐきの炎症が軽減すると歯ぐきが引き締まり、歯が長く見えることがあります。 |
治療の流れはなんとなく理解できたでしょうか?
さて、ここでより詳しく歯周病の検査について説明させて頂きます。
歯周病の検査というのは、歯と歯ぐきの間にある溝=歯周ポケットの深さを計り歯周病の進行状態を検査します。 また必要に応じてより精密なレントゲンを撮影していきます。

上記の手順で検査・治療と行なっていきますが、歯周病治療は長そう・・痛そう・・と思っている方もいらっしゃるのではないでしょうか?
回数や内容は歯周病の段階によって異なります!
軽度で発見できればそれだけ費用・回数は少なくすみます。

検査とカウンセリングが終わったら次は実際に治療へ移行します。歯周病の原因となるプラーク(細菌の塊)や歯石の除去を行います。
またここでオススメなのは、プラーク付着の原因となる歯面についているバイオフィルムの除去︎=PMTCも一緒に行うことです。✳︎PMTCは自費診療となります。

一連の歯周病治療が終わったタイミングで一度治療結果の評価をします。ここで、治癒に向かっているのかいないのかをカウンセリングし改善が見られた場合は定期検診へと移行します。炎症が残り治癒に至らなかった場合、次の治療ステップへと移行します。

歯周基本治療で治癒に向かわなかった場合、歯周ポケットが深く届きにくいところに歯石があると判断します。その場合は専用の器具を用いて歯石を除去します。またこの際お痛みが出る可能性があるので麻酔をすることもあります。

深部歯石の除去を行ったのちに、歯ぐきの炎症(腫れや出血)がなくなった場合、定期検診に移行します。この時、炎症が治まらず深い歯周ポケットが残ってしまった際は最終的に歯周外科処置へと移行します。

歯ぐきの外側からのアプローチで歯石や炎症組織が取り除くことが困難だった場合に歯周外科処置を行うことがあります。その際は、歯ぐきの一部を切開して歯石や炎症が残っている部位を見やすくし歯周病治療において障害となるものを全て取り除きます。その後、定期検診へと移行します。

歯周病も重度になると費用回数共にかかります。
お忙しい中長期間通院されるのは大変ですよね?
では、歯周病になる前に予防するにはどうしたらいいでしょうか?

毎日時間をかけて歯ブラシをすれば歯周病を予防できると考えている方は多くいらっしゃいます。しかしお口の中には歯ブラシでは落とすことのできない汚れ『歯石やバイオフィルム』が付いてきます。このバイオフィルム(細菌膜)に対してPMTC(プロフェッショナルメカニカルトゥースクリー二ング)を行う事で定期的に除去していきます。

それこそがメンテナンスに来ていただく最大の目的です!
歯周病原菌は治療を行ってからおよそ3ヶ月ほどで元の細菌叢に戻ってしまいます。
そこで、細菌量が増えまた歯ぐきの腫れや出血等の影響が出る前にPMTCを行い、細菌量のコントロールするのです。
持続的にバイオフィルムを除去することは歯周病の再発を防ぎ、健康な歯周組織維を維持し更には虫歯予防に繋がります。
歯医者さんで定期的にクリーニングを行うことの重要性をお話ししましたが、歯周病予防の基本はもちろん毎日の歯ブラシでプラークコントロールを行うことです。歯ブラシの際ポイントになるのが歯と歯ぐきの境目の溝『歯周ポケット』内のプラークを除去することです。歯ブラシを歯周ポケットに当て(斜め45度)小刻みに動かします。

多数歯をいっぺんに磨かずに一歯ずつ磨きましょう。歯磨き粉は殺菌効果や汚れを浮かせるのに効果的です。
しかし、清涼感の強い歯磨き粉は十分に磨けていない場合でも磨けた気分になってしまう恐れがあるので、大量につけすぎないよう気をつけてください。
当院では患者様それぞれのお口にあった歯ブラシや歯磨き粉をおすすめしています。お気軽にご相談ください!
歯周病は生活習慣病です。現代人の多くの方が日々時間に追われ一番乱しやすい事だと思います。
そして、その生活習慣の乱れは高血圧や糖尿病を誘発します。
また、皆さんは歯周病が生活習慣病に属していることをご存知でしたか?

しかも歯周病はその他生活習慣病とも深く関わっているそうです。糖尿病の人はそうでない人に比べると歯周病に罹患している人が多いという報告があります。
また、動脈硬化や高血圧・心臓病のリスクを上げることも言われています。
さらに高齢者の皆様には誤嚥性肺炎のリスクファクターにもなります。
お口の中の健康を守る事と、お身体の健康を守ることはとても密接な関係である事がお分かり頂けましたでしょうか?ぜひこの機会に、お口とお身体の状態のチェックに当院を受診してみてくださいね!
| 診療時間 | 月 | 火 | 水 | 木 | 金 | 土 | 日 |
|---|---|---|---|---|---|---|---|
| 9:00〜13:00 | ● | ● | - | ● | ● | ● | ● |
| 14:00〜19:30 | ● | ● | - | ● | ● | - | - |
| 14:00〜17:30 | - | - | - | - | - | ● | ● |
〒106-0044 東京都港区東麻布3-8-8 明商ビル1F
大江戸線 麻布十番駅 6番出口より徒歩10秒
南北線 麻布十番駅 6番出口より徒歩10秒
Google マップを開く >