歯周病ってどうしたら治るの?

現在の治療費と異なる場合がございます。最新の治療費は料金表をご確認ください。

歯周病に対する質問について

歯周病の人の口内のイメージ

【質問】

歯周病ってどうやったら治るんでしょうか。歯石とかを全て除去すれば治るんでしょうか。
それとも、歯石除去も歯磨きもちゃんとして、また歯石がたまらないようにすることで次第に治っていくのでしょうか?
どこがどうなったら治ったと言えるんでしょうか?

歯周病とは?

歯周病で歯槽骨が溶けていく経過のイラスト

歯周病とは、歯を支えている骨(歯槽骨)が溶けてしまう病気です。日本人の8割が罹患していると言われてい
ます。

どういうものかというと、歯にプラーク(歯垢)が付着することで歯の周りの歯ぐきに炎症が起きます。プラークとは細菌の塊です。その細菌が歯ぐきの炎症を起炎させて、進行することで骨が溶けてしまうのです。その骨が溶けてしまう事がどんどん進行すると、歯を支えられなくなり、歯がグラグラ揺れてきます。その果ては、歯が抜けてしまうということにつながります。

主な原因はプラークですが、その他のリスクファクターとして、喫煙、ストレス、遺伝、糖尿病などの全身疾患、噛み合わせなどがあります。

歯石とは?

歯の裏側の歯石をデンタルミラーを使って確認しているイメージ

歯石とは、プラークが唾液のなかの成分や血液の成分によって硬くなったものをいいます。

歯石はプラークの死骸なので、それ自体に毒性はありませんが、多孔性になっているため、その穴の中にプラークがたまりやすくなっている構造です。

なので、歯石を除去することが歯周病治療の1つになり
ます。

歯周病の症状

歯科用器具を使い歯ぐきの状態を確認しているイメージ

歯周病になると以下の様な症状があります。進行してから症状が現れる事が多いのです。

1つでも怪しいなと、当てはまるものがあれば、なるべく早めに歯科医院を受診された方が良いでしょう。

歯周病の検査

歯周病検査の一つとして歯周ポケットの深さを検査しているイラスト

歯周病かどうか判断するための検査としては、歯周ポケットの測定があります。

進行度や活動性を診るものとして、歯肉からの出血や歯がどれだけ揺れるか、歯の表面にプラークが付着しているか、レントゲンで骨が溶けているか、をみていきます。

その他、噛み合わせや、歯周ポケット内の細菌を検査することもあります。

歯周病の治療

麻布十番歯科で歯周病の治療を行っているイメージ

歯周病の治療は歯ブラシのトレーニングが主体となり
ます。

なぜか?それは歯科医院での歯石取りやプラーク除去は来ていただいた時にしかできないからです。圧倒的に歯科医院に行かない時間が長いですので、家でのケアを改良する事が一番です

また、歯周病の原因はプラーク(歯垢)です。歯垢はご自身でしっかりとれるものになりますので正しい歯ブラシの使い方をマスターしましょう。

歯科医院での治療としては

になります。

歯石はプラークの溜まり場と先述しました。その歯石をとっていくのですが、歯ぐきの外だけに歯石がついていればいいのですが、中につくこともあります。中についたもので、深い位置にあるものは専用の器具でもなかなかとれませんので、外科的に歯ぐきを切ってから歯石を取り除くこともあります。歯の動揺が強い場合には抜歯になります。

外科にいかないようにまたは抜歯にならないように早めに歯周病の治療をしたいですよね。

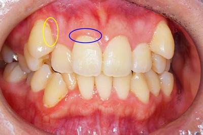
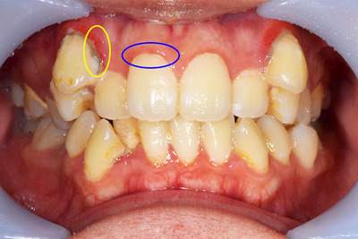
歯石除去(スケーリング)

BEFORE
歯周病症例の治療前

黄色:歯の根本に黒い歯石が付着しているのがわかり
ます。

青色:歯にプラークが付着していると、歯の周りの歯ぐきに炎症があり、赤く腫れているのがわかり
ます。

AFTER
歯周病症例の治療後

黄色:歯の周りに付着していた黒い歯石がなくなっています。

青色:歯石を除去することでは周囲の歯ぐきの色がピンク色になっているのがわかります。これは炎症がおさまったことを意味します。

年齢・性別 30代・女性
主訴 歯のクリーニングをしたい
治療内容 歯石除去(スケーリング、再評価)
治療費 約2,000円(保険治療内)
治療期間 2週間(歯石を除去して、歯肉の回復を待つのに2週間待機します)
リスク・副作用 歯石除去後は歯ぐきがひきしまるため、歯が伸びたような感じになることがあります。
また、歯が冷たいものにしみやすくなることもあります。

歯周病の治癒とは?

歯周病の治癒は少し難しいというのが私のホンネです。なぜかというと、指を怪我したときは、その傷が塞がり痛みなどが消えたら治癒と言えるでしょう。

しかし、歯周病は違います。歯石を取り除いて歯ぐきの炎症はおさまるでしょう。歯周病が進行して、骨が溶けてしまっている場合、その骨は基本的にはもとに戻ってはくれません。

ですので、もとの状態に戻るという事が治癒であるとしたならば、歯周病に一回罹患したら、完全なる治癒は望めないと考えていただいたほうが良いでしょう。

私の回答としては、歯周病の治癒とは、これ以上歯周病が進行しないようにすること。現状維持です。

歯周病を放置すると・・・

歯周病を放置した場合の歯と歯ぐきの状態のイラスト

歯周病を放置してしまいますと、歯ぐきを切って歯ぐきのなかについた歯石を取らないといけなくなります。

治療の侵襲が大きくなりますし、治癒にも期間がかかりますので、放置は禁物です。

最悪の場合は抜歯となってしまいますので、放置していいことはないですね。

再生治療

近年、再生治療が保険でも導入されました。歯周病になって骨が溶けても、一部分骨が戻ってくるというのが再生治療になります。保険治療ではリグロスというジェル状の薬を骨と歯ぐきの間に入れることで骨が再生してくるのですが、適応症が限られています。

図1のように骨の形態が薬が維持できないような形ですと、ほぼ流れ出てしまい、効果がでないからです。

再生治療で使用する薬が患部で維持できず効果がない場合の歯と歯ぐきのイメージ

図2のような皿状の形態ですと、薬も維持しやすく、効果がでやすいのです。

再生治療で使用する薬を患部で維持で効果がないでやすい場合の歯と歯ぐきのイメージ

では形態が悪いと再生治療ができないのかと言われるとそうではありません。

自費治療にはなりますが、人工骨を使用したり、薬を維持させるためのメンブレンやチタンメッシュを用いて再生を促す事ができますので、ご興味がある方、歯を絶対残したい方は私どもにご相談ください。

メンテナンス?

カレンダーと歯の模型とデンタルミラー

歯周病の治療が終わったらそれで終わりなのかと言われたらそうではありません。

歯周病のリスクはさまざまなところにあります。年代によって、ホルモンバランスによっても変化があります。

そのため、治療が終わってからもしっかり歯科医院でメンテナンスをしてもらい、変化があれば素早く対処してもらうことをお勧めいたします。早期発見早期治療がキーポイントだと思います。

定期検診

保険で歯周病を治す場合

歯周病治療にかかる治療費の確認

保険で歯周病の治療を行う場合、国が定めたルールに則って治療していきます。

  1. 歯周病の検査
  2. レントゲンの撮影
  3. 歯石取り(スケーリング)
  4. 治療の成績をみるための歯ぐきの検査
  5. 必要に応じて歯ぐきのなかの歯石取り
    (SRP)
  6. 治療の成績をみるための歯ぐきの検査
  7. 必要に応じて歯ぐきを切って歯石を取る外科処置(フラップオペ)
  8. メンテナンス

という順番でお行なっていきます。1〜4、8は全ての方が行う必要があります。5〜7は歯周病が進行している場合に必要な処置になります。4、6は治療後治癒を待ってからの検査になりますので、歯石取り後2〜4週間待ってからになります。

費用

歯の模型とコインをそれぞれの手に持っている写真
治療内容 費用
レントゲン検査 約1,200円
(3割負担の場合)
歯周病の検査 約750円
(3割負担の場合)
歯石取り
(スケーリング)
約1,000円
(全顎、3割負担の場合)
歯ぐきの中の
歯石取り(SRP)
約1,000円
(1部位(最大4回)、
3割負担の場合)
外科 約2,000円
(3割負担の場合)
リグロスを使用
した再生手術
約10,000円
(3割負担の場合)
リグロスと骨補填剤を用いた再生手術(自費) 110,000円/部位
(税込)
自費治療での
歯石取り
(検査なし・自費)
5,500円/回
(税込)

※保険治療は点数制度ですので、歯の本数や、制度変更の場合費用が多少変化する事があります。

まとめ

歯周病はとても怖い病気です。進行すると歯がなくなってしまうこともあるためです。ちなみに、ヒトが歯を失う1番の原因は歯周病です。虫歯ではないのです。

いかに歯周病を進行させないかがお分かりいただけたかと思います。歯周病かなと思ったらすぐに歯科医院で検査をしてもらうことをお勧めします。

歯周病
今すぐ予約したい方
03-3505-4618電話受付9〜19時半(土日は17:30まで)
3日以降のご予約
WEBから予約24時間受け付けております。

麻布十番の歯医者さん・
矯正歯科は痛みに配慮した、
コミュニケーションにあふれる歯医者です。

診療時間
9:00〜13:00 -
14:00〜19:30 - - -
14:00〜17:30 - - - - -

※平日最終受付は19:00まで
※土日の最終受付は17:00まで
[休診日]水曜・祝日

AED
TEL:03-3505-4618
地図

〒106-0044 東京都港区東麻布3-8-8 明商ビル1F
大江戸線 麻布十番駅 6番出口より徒歩10秒
南北線 麻布十番駅 6番出口より徒歩10秒
Google マップを開く >