痛みに関しては、虫歯が歯の神経に達した痛みは、何よりも鋭い痛みとなります。我々は、専門用語で「鋭敏痛」と呼んでいます。身体の中の痛みで1番鋭い痛みと言われています。昔は、歯を無麻酔で削って歯の神経を突く拷問で行われていたそうです。想像しただけで、身震いが起こりますね。
次のステップは、虫歯により歯の神経が死んで、歯の根の先に膿が溜まることによって激しい痛みに襲われます。膿が溜まるので少し動くだけで痛みが走ります。

痛みに関しては、虫歯が歯の神経に達した痛みは、何よりも鋭い痛みとなります。我々は、専門用語で「鋭敏痛」と呼んでいます。身体の中の痛みで1番鋭い痛みと言われています。昔は、歯を無麻酔で削って歯の神経を突く拷問で行われていたそうです。想像しただけで、身震いが起こりますね。
次のステップは、虫歯により歯の神経が死んで、歯の根の先に膿が溜まることによって激しい痛みに襲われます。膿が溜まるので少し動くだけで痛みが走ります。

初めの痛みを通り過ぎると歯の神経が死んでしまいます。歯の神経が死んで間もなくで、歯の根の先に膿が溜まってきます。膿が溜まった状態を繰り返すとどんどん大きくなり、しまいには顎の骨を溶かしていきます。
下顎の場合、骨が溶けて歯の神経にまで達すると麻痺などが起こります。上顎の場合は、歯性上顎洞炎と呼ぶ歯由来の蓄膿症になります。

2でも触れましたが、虫歯をそのまま放置していると歯の根の先に膿が溜まります。膿は、次第に大きくなり、上顎洞に膿を放出すると蓄膿症みたいに、鼻から膿が出る状態になります。非常に臭うので、何が問題かと思われますが、実は、歯が原因だということがあります。

虫歯が深くなるとなんとも言えない口臭がします。口臭は、本人は気が付かないので困ったものです。歯の根の先に膿が溜まり、その膿が口腔内に流れだすと酷い口臭となります。

歯の神経は、色々と複雑につながっていますので、歯の神経が痛むと頭痛がひどくなったりすることがあります。また、下の歯に原因の虫歯があっても、関連痛と言って上の歯まで痛くなることがあります。
このように歯の神経は、もともと複雑に絡み合って脳とつながっていますので、虫歯が深くなっ歯の神経に達すると影響が出てしまいます。


虫歯の痛みを放置していたら痛くなくなったので、歯科医院に行くのを辞めたという方がいらっしゃいました。基本的に虫歯は、自然に治ることは絶対にありません。痛みがなくなったのは、歯の神経が死んでしまったので一時的に痛みが止まっているだけです。その後虫歯を放置していると歯の根の先に膿が溜まってきて腫れと痛みがまた襲ってきます。決して放置していて治ることは、ありません。どんどん症状が悪化していきます。
そのため、歯科医院での治療必ず必要になりますので、どうせいくならば早めに歯科医院を受診しましょう。


基本的に虫歯が治ることがないので、放置することは非常に危険です。C2を過ぎてから放置するとあっという間にC3になります。期間は、約1〜2ヶ月でC3に達してしまいます。歯の外側のエナメル質は真珠よりも硬いですが、中の象牙質は非常に柔らかいですので、一気に虫歯が進行します。
C3〜C4の期間は、1〜2年をかけて歯の上の部分が柔らかくなりかけていくという形となります。痛みに関しては、初めは何度か鋭い痛みが続き、その後、鈍痛へと変わっていきます。鈍痛で終われば良いのですが、歯の根の先に膿が溜まると鈍痛が激痛に変わっていきます。




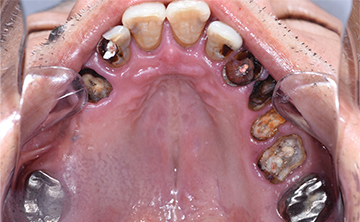
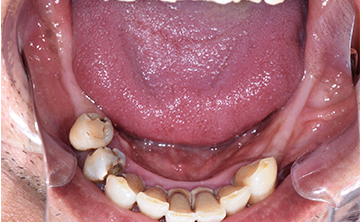
虫歯を放置して3年経って来院された患者さんです。噛めなくなったが主訴です。虫歯が進行しているのも確かですが、歯石も多く付着していますね。虫歯の中にオレンジのものが見えていますが、これは、根の治療後に詰める防腐剤ですね。
根の治療をすると歯に痛みを感じなくなるので、虫歯が進行しても痛みを感じずに歯冠崩壊を招きます。できるだけ歯の神経を取らない方が良いですが、虫歯が歯の神経に近く痛みが出る場合は、虫歯の歯の神経治療が必要になります。
非常に素晴らしい患者さんで、この後、しっかりと通って虫歯を全て治して、噛める状態にまで回復しました。



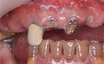
虫歯を放置して10年くらいの症例です。お口の中には、上あごは、一本しか歯が残っておらず、全く噛めないということで来院された患者さんです。痛い時期はどのようにして過ごされたのかと聞くと、とにかく痛み止めとお酒で痛みをごまかして過ごされたそうです。
すごい良く我慢されましたねとお伝えして、今後は、痛い時は安心してご来院くださいと伝えたら、ホッとされていました。小さい頃のトラウマで、とにかく歯科医院に行くことが怖かったそうです。
10年間虫歯を放置すると虫歯というより、歯が無くて噛めないので、咀嚼という問題が発生します。食べ物をお口の中へ入れても噛めないので、そのまま丸のみという食事になってしまうと胃や腸への負担は必須となり、癌や他の疾患へかかりやすますね。


虫歯をそのまま放置していたらどうなるの?と質問がありました。以前、大学病院に勤務していた時は、顔が歯の根の先の膿でパンパンに腫れ上がった状態で来院されて口の中から切開排膿させるのが困難だったので、外側より切開して排膿させましたが、しばらく緑色の液体が滝のように流れ出たのを、バキュームでひたすら吸っていたという記憶があります。
多分、このまま放置をしていたらもっと腫れ上がって気道を圧迫して呼吸ができなくなり、最悪な場合は亡くなる可能性もあったのではないかと思います。なので痛みがある時は、無理をせずに早めに歯科医院を受診しましょう。


虫歯を放置した場合、歯の神経に達してお痛みが出ているかと思います。そんな時は、虫歯の歯の神経治療が必要になります。歯の神経の治療は、回数がかかります。場合によっては、歯の根に膿が溜まった場合は、治療回数が倍になることもあります。
なので、虫歯が半お神経に達していた場合は、初めから治療回数がかかることを理解しなければなりません。
虫歯が歯の根の方まで進行した場合、歯を残すことが困難となります。そのような場合は、入れ歯、ブリッジ、インプラントの3つの選択肢になります。今回は1番多い選択肢のブリッジに関して、およその治療方法・回数を書いて行きます。

現在大人の方の大多数は、歯と歯の間の虫歯がメインです。歯の表面や噛む面から虫歯になる人は少ないです。そのため、日々の生活中で重要となるのが、デンタルフロスになります。海外では、Floss or Dieというネーミングが特徴な程、フロスをしないと歯を失うよと言っています。やはり、虫歯を防ぐには、1日に1度のデンタルフロスになります。
私のお勧めは、TePeデンタルテープです。こちらは、フロスの一種ですが、糸ではなくテープタイプになります。そのため、切れにくく歯と歯肉の間に入りやすいです。歯間ブラシは、先生どうですか?と良く聞かれるのですが、完全に歯と歯の間が開いている場合を除いて、私はデンタルフロスの使用を促しています。


定期検診、歯科医院に何も症状がなくても半年に1度は、行くことをオススメします。多くの歯科医院で虫歯になる前に定期検診を受けましょうということで、予防歯科を掲げる歯科医院が増えました。では、3〜6ヶ月に1度の定期検診で何をするのかというと虫歯や歯周病のチェックはもちろんですが、PMTC(プロフェッショナルメカニカルトゥースクリーニング)を行います。横文字が並ぶと何がなんだか?わからないですよね。簡単に言えば、歯に付着する細菌を落としてあげることです。

これでもわかりにくいですよね。そう!台所の三角コーナーのヌメヌメを取るような感じで歯科医院に来院してもらいます。歯と歯の間にもあのヌメヌメが付着するんですね。それを定期的に除去すると虫歯や歯周病の確率が約1/8になると言われています。日々のご自分での歯ブラシは、もちろん重要ですが、歯科医院での定期検診も非常に虫歯予防に重要となりますので覚えておいてください。
黒い虫歯があるが、エナメル室内の浅い虫歯です。

虫歯がエナメル質を超えて中まで進行しています。

虫歯が神経に達してます。

虫歯が神経まで達して歯冠が崩壊しています。

| 診療時間 | 月 | 火 | 水 | 木 | 金 | 土 | 日 |
|---|---|---|---|---|---|---|---|
| 9:00〜13:00 | ● | ● | - | ● | ● | ● | ● |
| 14:00〜19:30 | ● | ● | - | ● | ● | - | - |
| 14:00〜17:30 | - | - | - | - | - | ● | ● |
〒106-0044 東京都港区東麻布3-8-8 明商ビル1F
大江戸線 麻布十番駅 6番出口より徒歩10秒
南北線 麻布十番駅 6番出口より徒歩10秒
Google マップを開く >