歯の破折

破折とは?

歯の破折には2種類あります。

①歯冠破折

硬い物を噛んだ時に歯が欠けてしまう事です。
歯冠部(歯の頭の部分)が一部欠けた・割れた場合は修復することができます。

②歯根破折

歯の根っこから縦に割れる、または亀裂が入る事です。
この場合、歯の根っこまで材料での修復が困難なため、抜歯になるケースがほとんどです。

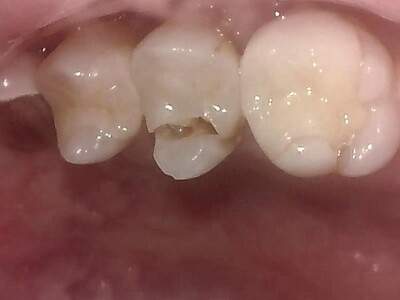
歯冠破折

歯冠(歯の頭の部分)のみ欠けることです。
歯根(歯の根っこの部分)まで破折が診られない場合は欠けた部分を除去し、詰め物や被せ物で修復します。
歯が大きく欠けた場合、神経まで刺激が到達することで痛みが出ることがあり、根管治療を必要とすることもあります。

歯根破折①

歯根破折

歯根(歯の根っこの部分)まで縦に割れる、または亀裂が入る事です。
歯根は歯を支える骨の中に埋まっているため、縦に割れる、亀裂が入ると歯科材料での修復が困難になります。ほとんどの場合が抜歯になります。

歯根破折②

歯根破折の原因

歯根破折する原因は過度な力です。

  1. 全ての歯において均等な噛み合わせが理想だが、歯並びの問題で噛み合わせが悪いと、どこかの歯が過度な負担を強いられる場合
  2. 歯ぎしり・食いしばり・TCHなどにより無意識に力強く噛みしめている場合
  3. メタルコア(金属の土台)やポストなどが大きく深く入っており、力によって薄くなった歯質が負けてしまう場合
  4. 神経を取っている歯や加齢による歯の劣化、虫歯などで歯が弱っている場合
  5. ブリッジで3本の歯を2本の歯で補っており、土台となる歯が耐えきれず負けてしまう場合
  6. どこかしらの歯を欠損のまま長期間放置しており、残っている歯に負荷がかかっている場合

歯根破折をそのまま放置すると?

歯根破折したまま放置すると、破折箇所から細菌が入り込み、根の先で膿を溜め始めます。
歯が動揺する・歯が浮いたような気がする・噛むと痛いなどの症状から始まり、次第に膿が骨を溶かし、圧迫して耐えられない程の痛みとなります。
また、上顎の場合、膿が骨を溶かし、上顎洞まで交通することがあります。蓄膿症のような症状や顔がパンパンに腫れることもあります。

歯根破折④

歯根破折の治療方法

もし歯根破折してしまった場合は、抜歯をすることが前提になります。

  1. インプラント
  2. ブリッジ
  3. 部分入れ歯
  4. 親知らずを移植する
歯が無いところがある

歯根破折しないためには?

マウスピースで保護

無意識で歯を噛みしめる癖がある方は就寝時にマウスピースを使用することで歯にかかる負担を軽減させます。

ボツリヌストキシン注射

咬筋にボツリヌストキシンを打つことで、強く噛みしめる力を弱める効果があります。

歯列矯正

不正咬合により、一部の歯の負担が大きく出ている場合は思い切って歯列矯正することをおすすめします。歯列矯正で均等に噛むことで破折するリスクを下げることができます。

歯根破折は未然に防ぐことができます。まずは、歯医者さんで過度に力の負担がかかっているところがないかをチェックしてもらいましょう。

今すぐ予約したい方
03-3505-4618電話受付9〜19時半(土日は17:30まで)
3日以降のご予約
WEBから予約24時間受け付けております。

麻布十番の歯医者さん・
矯正歯科は痛みに配慮した、
コミュニケーションにあふれる歯医者です。

診療時間
9:00〜13:00 -
14:00〜19:30 - - -
14:00〜17:30 - - - - -

※平日最終受付は19:00まで
※土日の最終受付は17:00まで
[休診日]水曜・祝日

AED
TEL:03-3505-4618
地図

〒106-0044 東京都港区東麻布3-8-8 明商ビル1F
大江戸線 麻布十番駅 6番出口より徒歩10秒
南北線 麻布十番駅 6番出口より徒歩10秒
Google マップを開く >