問診(全身の状態)、X線写真撮影、CT撮影、口腔内写真、歯周ポケット検査などを行い、まずは歯の移植が適応となるかどうかを詳しく検査します。
歯の移植とは?
一般的に保存が不可能と診断された歯を抜歯して、噛み合わせに参加していない健全な親知らずを抜歯した部位に移植することを言います。歯が何らかの理由で抜歯しなければならなくなった場合、その場所を補う治療として、入れ歯、ブリッジ、インプラントのいずれかがありますが、条件を満たせばそこに歯の移植という選択肢を加えられる可能性があります。
歯の移植のポイントは自分の歯を使うため、隣の歯を削ることなく治療を進められるところにあります。
歯の移植の費用は?
保険診療の適用となる場合は親知らずの抜歯と歯の移植に対する金額となります。CT撮影と親知らず抜歯で約8,000円、歯の移植術で約4,000円の治療費がかかります。(約8,000円+約4,000円=約12,000円)
エムドゲインと呼ばれる歯周組織再生用の材料を用いる必要がある症例(歯根破折などにより根の先に炎症があり骨吸収の程度が大きい症例など)に関しては保険適用外となるため、約10万円の費用がかかります。
歯の移植の治療の流れ
診査
治療計画の説明
口腔内環境を整える、抜歯が必要な歯をどの時期に抜くか(抜歯と同時に移植する場合と別で行う場合があります)根の治療の時期、矯正治療の有無などの説明を行い
ます。
外科手術
詳しくは下のページにてご確認ください。
親知らず抜歯
根の治療
移植した歯の根の治療(術後約2週間後)を行います。
根の治療
矯正治療
移植歯の矯正治療を行います。状況によって行う場合と行わない場合があります。
かぶせ物の設置
移植歯に土台を立ててかぶせ物をします。
被せ物
術後経過観察
術後に経過観察を行います。
歯の移植にかかる期間
歯の移植にかかる期間は手術から大体3〜6ヶ月と言われています。
移植術には即時型と遅延型があり、抜歯と同時に移植を行うものが即時型、抜歯から約2〜6週間後に移植を行う遅延型と呼ばれています。これは患者様の歯ぐきや骨の状態によってどちらで行うかを決めていきます。
術後2週間後から移植した歯の根の治療を開始し、大体3〜4回の通院が必要になります。
根の治療が完了した後は、土台を立ててかぶせ物をする治療となります。これも大体3〜4回の通院が必要になります。
かぶせ物を入れた後は定期的に(3〜6ヶ月の間隔)来院して頂き、移植歯の状態を確認していく流れとなります。
歯の移植の術式(当日移植行う場合)
- 術前クリーニング
- 浸潤麻酔
- 保存不可な場所の歯を抜歯し、形成(骨を削って移植歯が入るようにする)を行う
- 移植歯の抜歯して、移植する場所に植立する
- 歯肉を縫合し、移植した歯の固定を
行う - 噛み合わせの調整
- レントゲン撮影(術後確認のため)
- 抗生物質と鎮痛薬の服用
- 翌日に移植歯の確認、消毒を行う
- 約1週間後に抜糸を行う
術後の注意点
歯の移植術は外科手術ですので術後数日間は腫れ、痛みなどの親知らず抜歯と同様の症状があります。
注意すること
- 強くうがいをしないこと
- 傷口や移植部を吸ったり、舌で触らない
- 術後3日間は移植部に歯ブラシを当てない(他の歯はしっかり磨く)
- 処方された抗生物質を飲み切る
歯の移植のメリット・デメリット
メリット
- 自分の歯を活かすことができる
- 歯周病で喪失した歯周組織を回復できる
- 入れ歯にしなくて済む
- ブリッジのために隣の歯を削らない
- インプラントよりも費用がかからない
デメリット
- 適応が限られる(移植する歯の歯根の形や状態によってはできないことがある)
- 外科的な手術が必要
- 術者の技量に依存する
- 年齢や歯の状態により長期的な予後が低くなる可能性がある
- 移植歯が歯根吸収やアンキローシスを起こす可能性がある
- 年齢が高くなるほど成功率は下がってしまう(40歳以降)
移植の症例
現在の治療費と異なる場合がございます。最新の治療費は料金表をご確認ください。
症例①
| 年齢・性別 | 34歳・女性 |
|---|---|
| 主訴 | 奥歯に違和感がある |
| 治療期間 | 2ヶ月 |
| 治療費 | 歯の移植(保険):約10,000円 根管治療(保険):約4,000円 |
| 治療方針 | すでに数年前に治療が終わっていた歯でしたが、長く歯科医院に通っておらず、メンテナンスができていなかったために、虫歯が数本できていました。 またかぶせ物が入っていた歯はその下で虫歯が広がっており保存が不可能な状態でした。そのため、残っていた左上の親知らずを用いて歯の移植を行うことにしました。 |
| 治療内容 | 左上の親知らずを用いて左下の奥歯の部分へ移植します。3週間ワイヤーで固定し、その後根管治療を行います。 根管治療後、歯の動揺などないことを確認して、かぶせ物をかぶせて治療終了です。骨の再生を確認するために何度かレントゲンを撮影し、経過を観察します。 |
| 特記事項 | 移植は必ず成功するわけではありません。 移植後、根管治療をして、かぶせ物をかぶせて治療が終わります。 途中で治療が途絶えると歯が正着せず、失敗してしまいます。 移植は外科治療ですので、術後腫れや痛みが出ることがあります。 |
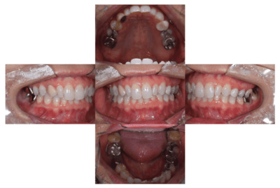
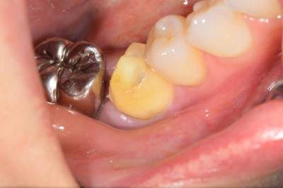
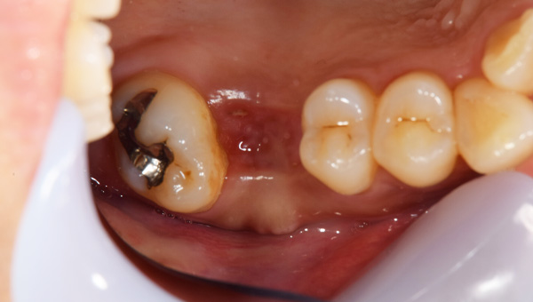
初診時の口腔内
説明:
初診時の口腔内です。かぶせ物があり、一見虫歯とはわからないです。
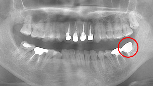
初診時のパノラマ
説明:
初診時のパノラマです。左下の一番奥の歯が虫歯になっているのがわかります。
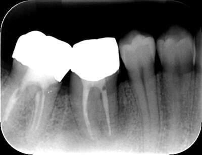
CT像①
CT像②
説明:
CT像です。根の中央を超えて虫歯が広がっているのがわかります。そこに上の親知らずを移植することに
しました。
移植後
根管治療後
説明:
移植をし終わったところです。ワイヤーで3週間ほど固定します。その後根管治療を行い、かぶせ物をかぶせて治療終了になります。
症例②
| 年齢・性別 | 45歳・女性 |
|---|---|
| 主訴 | 右上の歯が欠けた |
| 治療期間 | 2ヶ月 |
| 治療費 | 歯の移植(保険):約10,000円 根管治療(保険):約4,000円 |
| 治療方針 | 右上の奥から2番目の歯が大きく欠けています。虫歯が広がってしまったためです。残念ながら保存することができないため、抜歯になります。 抜歯した後は、移植を希望されたため、左上の親知らずをドナーとして使用することを計画しました。 |
| 治療内容 | ドナー歯としては親知らずを使用することが多いのですが、横に向いて親知らずが生えている場合は、ドナー歯としての使用が難しいため、今回は左上の親知らずを使用することにしました。3週間ワイヤーで固定し、その後根管治療を行います。 根管治療後、歯の動揺などないことを確認して、かぶせ物をかぶせて治療終了です。骨の再生を確認するために何度かレントゲンを撮影し、経過を観察します。 |
| 特記事項 | 移植は必ず成功するわけではありません。 移植後、根管治療をして、かぶせ物をかぶせて治療が終わります。 途中で治療が途絶えると歯が正着せず、失敗してしまいます。 移植は外科治療ですので、術後腫れや痛みが出ることがあります。 |
初診時のパノラマレントゲン
説明:
初診時のパノラマレントゲンです。右上の歯が虫歯によって大きく欠けているのがわかります。
歯が大きく欠けた
歯ぐきが治癒した
説明:
右上の歯が大きく欠けています。黒く虫歯になっているのがわかります。移植を計画しましたので、歯ぐきがしっかり治癒するのを(1ヶ月)待ちました。
手術前
手術中
説明:
歯ぐきを切り、骨の状態を確認します。移植する歯が入るためのスペースを作るために、骨を歯が入るように削っていきます。
移植する歯
説明:
骨のスペースを確保したら移植する歯を抜きます。
移植した歯
移植した歯のレントゲン写真
説明:
移植した歯の写真です。隣の歯とワイヤーで固定します。約3週間でワイヤーは外します。
3週間後
3週間後のレントゲン写真
説明:
移植後3週間経ったら根管治療を行います。根管治療後はレントゲン撮影をし、お薬がしっかり根の先まで充填できているか確認します。この後、土台をたてて、かぶせ物をかぶせて治療終了です。
症例③
| 年齢 | 40代女性 |
|---|---|
| 主訴 | 右下の歯が痛くなった |
| 治療内容 | 歯の移植 根管治療 |
| 治療期間 | 6ヶ月 |
| 費用 | 合計:280,500円(税込) 移植手術:110,000円 根管治療:121,000円 ファイバーコア:16,500円 クラウン(FMC):33,000円 (2022年2月現在) |
| リスク・副作用 | 移植手術は必ずしもうまくいくものではありません。 骨とくっつかない場合もありますし、逆に骨と強固にくっついてしまうこともあります。 移植後の歯のもちは、5年くらいといわれています。 |
| 治療方針 | 今回のケースは、定期検診にしっかり通っていただいている患者様で、歯の縦破折があり根のまわりに膿がたまっており、いつ痛みがでてもおかしくない状態であることを患者さんに説明していました。 痛みが出た場合は抜歯になること、使ってない親知らずがあるので、それを利用して歯の移植手術ができることを説明していました。 そしてついに痛みが出ましたので、抜歯して歯の移植を行うことになりました。 |
2021.4.3 定期検診時

この時はまだ症状がなかった

しかし歯は縦に割れており、いつ痛みが出てもおかしくないような状態であることは説明していた。
2022.1.15 根尖性歯周炎の急性化

疼痛ありで急患来院。
前々から爆弾抱えているような物で、何かあったら抜歯と伝えていた部位。以前よりクラウンマージン下で歯根縦破折であったが、症状なしで経過観察をおこなっていた。

抜歯予定とし、アモキシシリンとロキソニンを処方した。
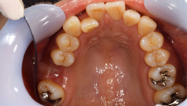
2022.2.5 抜歯後の消毒
口腔内写真

CT画像

骨の状態はそこまで悪くないが、欠損が大きい。
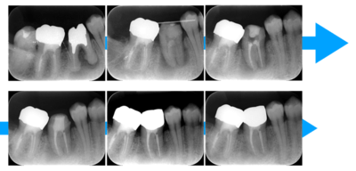
2022.3.12 抜歯1ヶ月後・移植
移植オペ

抜歯をして1ヶ月後、歯ぐきが治ってから、移植をおこなった。
移植時は動揺が大きいため、隣の歯にワイヤーで固定した。
2022.4.16 根管充填
移植2週間後から根管治療開始

次の回(翌週)で根管充填

2022.5 仮歯装着

根管治療後は仮歯をいれて経過をみていきました。
日に日に動揺がなくなっていくのがわかりました。
2022.7.9 経過観察後
口腔内写真

レントゲン写真

根管治療後3ヶ月です。根のまわりの骨がやや白くなってきているのがわかります。だんだん骨の添加がみられている証拠になります。
ここまで治癒していればかぶせ物をかぶせても問題ないと判断しました。
2022.8.13 クラウンセット
口腔内写真

レントゲン写真

2022.10.16 予後経過
1年後 2023.3 予後経過
口腔内写真

レントゲン写真


移植した歯はしっかり機能しており、問題なく使用できているとのことである。
レントゲン写真

最後のレントゲンでは、骨がしっかり添加され、周囲組織となんら変色ない状態にまでなっていることがわかる。