症例①
現在の治療費と異なる場合がございます。最新の治療費は料金表をご確認ください。
カリエス除去し、MTMを行ったのち、補綴を行う
| 年齢 | 50代男性 |
|---|---|
| 主訴 | 全体的にチェックしたい |
| 治療 方針 |
全体的に10年以上前の治療痕で、銀歯の下でカリエスになっています。今回は右上5に限っての方針を記載する。 |
| 治療 期間 |
4ヶ月 |
| 費用 | ・MTM 110,000円 ・ファイバーコア 16,500円 ・セラミッククラウン 110,000円 |
※全て税込となります。
| 治療前 | 治療後 |
|---|---|
![]() |
![]() |
| 治療前 |
|---|
![]() |
| 治療後 |
![]() |
カリエスを取り除くと、遠心の歯質が歯肉縁下になりました。
| 治療前 | 治療後 |
|---|---|
![]() |
![]() |
| 治療前 |
|---|
![]() |
| 治療後 |
![]() |
MTM開始直後と、終了後です。フックの位置が変わっているのがわかると思いますが、それが歯が動いた証拠となります。
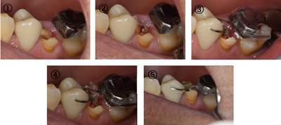
MTM中。頬側には審美面の回復のために仮歯がついています。
歯からはフック、隣り合った歯にはワイヤーが渡してあります。そこにゴムをひっかけて歯を挺出させます。

症例②
カリエスが保存不可のため、歯を挺出させて保存
| 年齢 | 40代女性 |
|---|---|
| 主訴 | 歯が変色してきた |
| 治療 方針 |
左上2番目の前歯が変色。 原因は失活歯であったことと、CRの周囲でカリエスになっていたため。 また、そのカリエスも大きく、このままでは保存が不可能であった。 そのため歯を挺出させて保存することとした。 |
| 治療 期間 |
8ヶ月 |
| 費用 | ・FBコア 16,500円 ・セラミッククラウン 110,000円 ・MTM 110,000円 |
| 治療前 | 治療後 |
|---|---|
![]() |
![]() |
| 治療前 |
|---|
![]() |
| 治療後 |
![]() |
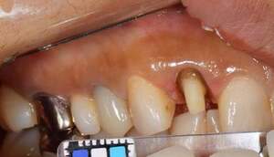
カリエスが大きく、舌側では歯肉より上に残存歯質がなくなってしまっている。このままではコア、クラウンの接着ができないため、歯を歯肉より上にだすことが重要です。
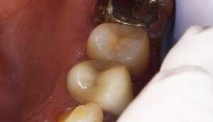
右の写真では歯肉の上に歯が一周のこり、その上にコアが入っているのがわかります。
左上2は広範囲にわたってCRが充填されているのがわかります。またその周囲に透過像があり、カリエスになっていることもわかります。
| 治療前 | 治療後 |
|---|---|
| 根の中の薬が十分に充填されておらず、根の先が周りと比べて黒くなっており、炎症があると判断できます。 | 根の中にしっかりとお薬を緊密に充填しましたが、まだ根の先に黒くなっている部分があります。 |
| 治療前 |
|---|
根の中の薬が十分に充填されておらず、根の先が周りと比べて黒くなっており、炎症があると判断できます。 |
| 治療後 |
根の中にしっかりとお薬を緊密に充填しましたが、まだ根の先に黒くなっている部分があります。 |
左は歯を挺出するために装置をつけた直後です。右は挺出が終わり、コアをセットしたところです。歯根の位置が歯冠側によっているのがわかります。
症例③
現在の治療費と異なる場合がございます。最新の治療費は料金表をご確認ください。
残根状態になっている箇所があるため歯を挺出
| 年齢 | 30代女性 |
|---|---|
| 主訴 | 前歯がとれた |
| 治療 方針 |
右上2が残根状態になっています。歯の保存をするためには歯を挺出させるしかありません。 |
| 治療 期間 |
9ヶ月(途中、3ヶ月程中断あり) |
| 費用 | ・MTM 110,000円 ・ファイバーコア 16,500円 ・セラミッククラウン 110,000円 |
| 治療前 | 治療後 |
|---|---|
![]() |
![]() |
| 治療前 |
|---|
![]() |
| 治療後 |
![]() |
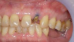
左の写真は歯が歯肉縁上にないのがわかります。右では歯肉縁上に1周にわたって歯牙があるのがわかります。
レントゲンで見ても、右上2では歯質が歯肉縁上にのこっていない。しかし歯根は長いのでMTMの適応症例です。
| 治療前 | 治療後 |
|---|---|
![]() |
|
| 治療前で歯根が長いのがわかります。歯根がある程度長く無いと、MTMは行えません。 | MTM終了時のもの。フックが上の金属に接している。また根尖に透過像があるが、歯が動いた証拠です。 |
| 治療前 |
|---|
治療前で歯根が長いのがわかります。歯根がある程度長く無いと、MTMは行えません。 |
| 治療後 |
MTM終了時のもの。フックが上の金属に接しています。また根尖に透過像があるが、歯が動いた証拠です。 |
歯を挺出しているところ。
症例④
現在の治療費と異なる場合がございます。最新の治療費は料金表をご確認ください。
義歯の人工歯が磨耗に伴う、前歯の破折
| 年齢 | 70代女性 |
|---|---|
| 主訴 | 前歯がとれた |
| 治療 方針 |
長年使ってきた義歯の人工歯が磨耗し、臼歯部での咬合がすくなくなり、前歯部での接触が強くなったことで生じた前歯の破折なので、義歯も作り変える必要があります。 |
| 治療 期間 |
8ヶ月 |
| 費用 | ・MTM 110,000円 ・ファイバーコア 16,500円 ・セラミッククラウン 110,000円 ・義歯 660,000円 |
| 治療前 | 治療後 |
|---|---|
![]() |
![]() |
| 治療前 |
|---|
![]() |
| 治療後 |
![]() |
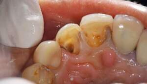
治療前で残存歯質がほとんどみられません。
残存歯質はないが、歯根は長いことを確認。
| 治療前 | 治療後 |
|---|---|
| 治療前 |
|---|
| 治療後 |
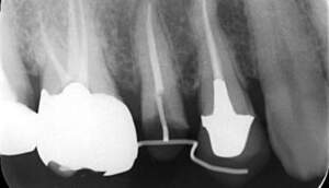
MTM治療開始時と終了後。右の根尖の透過像が実際に歯が動いた部分。
MTM中。頬側には審美面の回復のために仮歯がついています。
歯からはフック、隣り合った歯にはワイヤーが渡してあります。そこにゴムをひっかけて歯を挺出します。










