根管治療の回数が多くなるわけとは

質問

何年か前に根管治療を受けたのですが、中で細菌が繁殖し膿が溜まってしまい現在2度目の根管治療中です。

膿を出す為に歯を開放し、その後仮蓋をしたタイミングがありました。しかし膿が完全に出し切れていなかったらしく、そこに蓋をしてしまったので歯の中で圧がかかりすぎてしまい激痛を感じ、更に歯茎からも膿が出てきました。慌てて同じ歯医者に見せに行った所、薬を飲みながらもう一週間開放となりました。

その後1週間おきにリーマーを使って2度治療をしてもらいましたが、治療中もズキズキした痛みを感じました。先生も少し痛いと思うと仰っておりましたが、少しどころの痛さではありませんでした。

次回は根っこに薬を入れるのでもうすぐ終わりですと言われました。

そこで疑問なのですが、ここまで痛むという事は、
・まだ神経が残っている
・炎症を起こしている
のどっちかだと思うのですが、本当に次回は根っこに薬を入れて終わりで大丈夫なのかとても不安です。
実は治療が終わった今もズキズキと痛みます。

治療中に麻酔をお願いすれば痛みは無くなるの
でしょうか。

無くなったとしても治療がしっかりとされているか
不安で仕方ないですが。。

回答

なかなか壮絶な体験をしていらっしゃいますね。心中お察しします。まず歯の根の2度目の治療ということですが、なぜ2度目の治療が必要になったのか原因を探ることが必要です。

考えられることとしては:

  1. 歯が破折してしまい、膿が溜まった
  2. 歯の根に未処置のものがあったり、かぶせ物のまわりからの漏洩によって感染物が根の奥の方に進んでしまい、膿が溜まった

2は治療で治せますが、1は抜歯の適応になります。それぞれについてみていきましょう。

歯の破折による膿

1. 歯が破折してしまい、膿が溜まった

歯が破折してしまった場合は、残念ながら歯を抜かなくてはいけません。割れたものを修復することができないこと、割れた部分に細菌が住み着き、繁殖して、それが原因で歯の周りの骨が溶けてしまうからです。

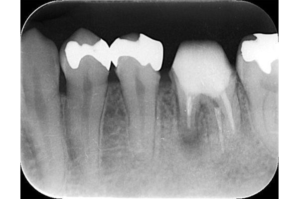
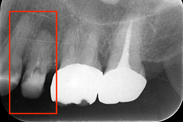
左のレントゲンでは破折したかどうかはわからないが、虫歯になっている部分をとっていくと歯が割れているのがはっきりとわかりました。

 

歯が割れるケースで多いのが金属の土台(メタルコア)が入っている場合です。特に根の中に長いものが入っていると、歯を割る力が強くかかるため、割れることが多いです。

こちらの写真は違和感があるということでレントゲンを撮ったが異常は見つからなかった。しかし、1ヶ月後にもう一度撮影すると、歯が割れているのがわかりました。また、歯の周りの骨の部分がやや黒くなっているのも分かります。

 

また、金属の土台がはいっていなくても、根の治療を行った歯にブリッジが入っている場合、負担が大きくなり、
神経がある歯よりも脆い神経を取った歯は割れてしまうことがあります。

 

ブリッジが取れたということでご来院患者様でした。レントゲンを撮ると縦に割れていました。
歯を抜くと、やはり割れていました。

 

歯の破折で抜歯したものです。

断面をみてみえると黒くなっているのがわかります。これは全部細菌です。歯がわれてしまうと、隙間に細菌が住み付き、繁殖してしまいます。そのため、骨や歯茎の中で炎症を起こしてしまいます。破折に気づかず根の治療をしても効果が得られないのです。

 

こちらは、歯の根の治療を行い、根の先端までキレイにし、防腐剤をしっかり詰めなおしましたが、膿が溜まったまま治癒しませんでした。破折に気づけなかったのです。

破折に気づいてからは、抜歯を行い、インプラントを入れてまた噛める様にしていきました。レントゲンでも破折がわからない時があります。そんな時はCTやマイクロスコープを使うとわかることが多いのです。

未処置の根、感染物の漏洩

2. 歯の根に未処置のものがあったり、かぶせ物のまわりからの漏洩によって感染物が根の奥の方に進んでしまい、膿が溜まった

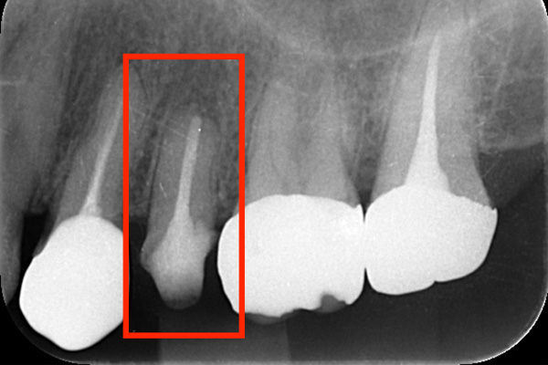
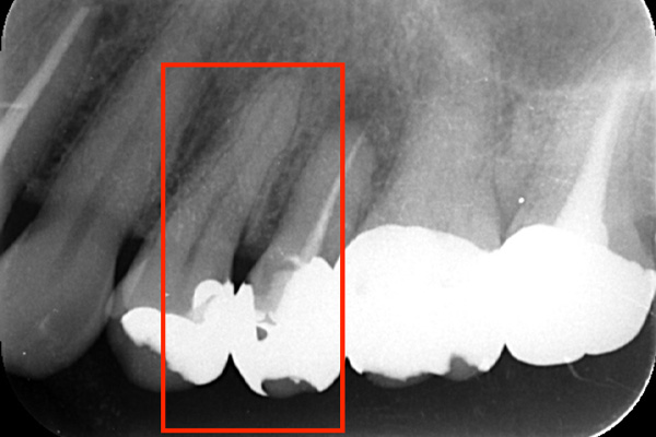
数年前に歯の根の治療をうけたにもかかわらず、中で細菌が繁殖し、膿が溜まってしまうことがあります。これを治すには感染根管処置が必要になります。こちらの画像が膿が溜まってしまったものになります。黄色線が歯のラインで、青が膿になります。

 

感染根管処置とは、既に入っている防腐剤を取り除き、根の中の感染してしまった部分をファイルと呼ばれる器具で取り除き、きれいな根を残してもう一度根の中に防腐剤を入れていく処置になります。

根の先端に膿が溜まっています。

根の中の白い縦の線がなくなっています。これは、中に詰まっていた、防腐剤を取り除いた証拠になります。取り除いてから、根の中をしっかり清掃していきます。

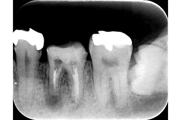
清掃が終わり、患者様も違和感がなくなったということで、防腐剤を再び詰めていきました。最初に入っていたものと比較して緊密に太く入っているのがわかります。

6ヶ月後。根の先端に溜まっていた膿(黒い影)がなくなっています。なくなったことが確認できてから、かぶせ物をかぶせていきます。

 

根の中に入っていた防腐剤を取り除いた時の写真です。感染物質が付着して黒くなっているのがわかります。

また、防腐剤をとりのぞけても、その防腐剤を歯の根のなかにくっつける素材が残っていますので、それもしっかり取り除きます。

目ではなかなか全てを見ることができないので、右の写真の様にマイクロスコープをもちいて拡大してみていきます。

 

こちらは根の途中までしか防腐剤がはいってませんでした。患者様が違和感を訴えたため、治療を行いました。防腐剤を取り除き、根の中を清掃し、根の先端までしっかり防腐剤をいれました。

 

こちらは根の中の防腐剤が疎で、最近が繁殖するスペースをあたえてしまっていたため、患者様に違和感を感じさせていました。そこで、中の防腐剤を取り除き、それをCTとマイクロスコープで確認し、清掃を行い、今度は緊密に防腐剤を入れていきました。

 

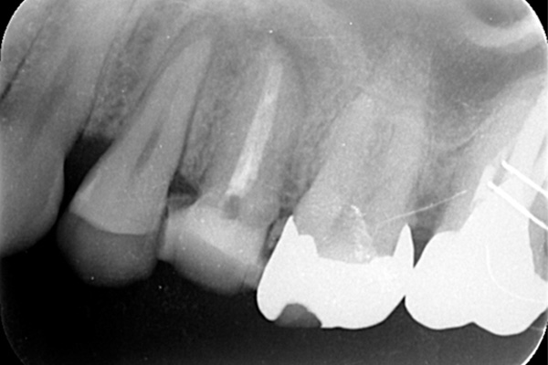
こちらは根の治療の経験がある歯ではありませんが、歯茎が大きく腫れていらした患者様です。レントゲンを撮ってみると原因となっていそうな、2本怪しい歯がありました。過去の虫歯の経緯から後ろの歯の方が怪しいと判断し、1本だけ治療を行いました。
治療後、腫れの大きさの確認のためにCTを撮影すると、上顎洞にまでおよぶ大きな炎症があり、骨が大きくなくなっていることが確認できました。

基礎に忠実に根の中をしっかり清掃し、防腐剤を詰めて経過をみるために3ヶ月後に再度CTを撮影しました。以前とは比べ物にならないくらい、上顎洞の炎症はなくなり。上顎洞を隔てる骨の再生もできました。 またこの治療で一番良かったのは、治療しなければならない歯とそうでない歯を鑑別できたことです。手前の歯はやはり治療する必要がなかったのです。

初診終了後にCT撮影です。上顎洞と歯が連続してしまうくらい炎症が広がっています。

根の先に黒い影があり、2本ともあやしいです。

きっちり清掃を行い防腐剤をつめました。

まだ根の先端に黒い影はあるが、治癒傾向にあると判断できます。

感染根管治療では根の中だけを治療しても治らないこともあります。根の先に感染物質が出てしまっているケースです。まずは根の中をきれいにし、防腐剤をつめ、その後歯ぐきをひらいて、根の先からでた感染物質を取り除きます。

 

その他にも、感染根管治療をしたけれども、膿がなくならない場合は、感染物質が溜まっているであろう、歯の根の先端を切り取ることもあります。

根の先に膿が溜まっています。

根の中の清掃を行い、防腐剤を詰めました。

膿の塊がなくならないため、根の先を切り取りました。と同時に膿の塊も取り除きました。

1ヶ月後。根の先の膿がなくなったことと、根の先端を切り、感染物質がなくなったことで、骨の再生が始まっています。

この様に2度目の根の治療は防腐剤を取るところから始まり、感染物質を取り除き、清掃し、再び防腐剤を詰めることで完結します。治療の際、根の先端を触ったり、膿に一部器具が当たることで痛みが出ることがありますが、麻酔をすれば痛みは感じにくくなります。また、治療後2〜3日痛むことがありますが、徐々に痛くなくなります。

しかし、破折のように炎症が大きくなっている場合は、麻酔が効きづらくなっていることもあります。そして、痛みもなかなか引かないことが多いのです。

また質問にあるように未処置の根管があり、神経が残っているということも稀にありますが、CTやマイクロスコープの登場でそういったことはかなりすくなくなっています。ただし神経は単純にまっすぐというわけではりません。まがっていたり、分岐していたり、さまざまです。
こういったこともあらかじめCTを撮影していれば治療しやすくなります。攻略本を見ながらゲームする感じに似ています。

彎曲している根管。

赤く染色されている部分が神経。まっすぐだか、先に行くほど細くなる根の中。

根管治療の難しくなるケース、簡単なケース

難しくなるケース

  1. 根の中が細い
  2. 根が曲がっている
  3. 根が分岐している
  4. 根の先端が破壊されている

簡単なケース

  1. 太い
  2. まっすぐ
  3. 1本

根の治療が長引くときには原因があります。先程あげた、根管治療が難しくなるケースのほかに、起炎物質がとりきれないというのもあるでしょう。根の治療は昔は手指感覚だけで盲目的におこなっていましが、現在ではマイクロスコープという、根の中を拡大して明視野で治療できるようになりました。
大臼歯では保険で治療も可能になっています。今まで見えなかったものがすぐ見れるようになったことで、治療が早く終わる可能性があります。

また、今回のケースでは破折の疑いもあります。破折はマイクロスコープと歯科用CTでみることができます。おおきな破折は直接目でも確認できますがひび割れなどは見えません。
ですので、マイクロスコープと歯科用CTのある医院での根管治療をお勧めします。大臼歯であれば、CTやマイクロスコープは保険適応になることが多いです。

ちなみに、開放をしたということですが、開放することで、逆に細菌が入ってしまうということが明らかになったため、現在ではあまり行われない方法になりました。
治りが悪いことや、痛みの原因が未だわからないようであれば、CTやマイクロスコープのある医院や根の治療に精通した歯科医師のいる歯科医院にて、セカンドオピニオンで受診してみてもいいかもしれないですね。根の治療に精通した歯科医師とは、日本歯内療法学会などの歯内治療の学会に加入している歯科医師のことです。

当院ではセカンドオピニオンの場合30分5,000円にてお受けしております。また、病状の確認など検査やレントゲン撮影をさせてもらう場合、別途費用がかかります。

まとめ

  1. 根の先に膿がたまった原因を聞く
  2. わからなければ、CTの撮影やマイクロスコープの使用ができないか聞いて
    みる
  3. そういったものを使用したにもかかわらずなかなか治療が終わらない場合は、根の治療に精通した歯科医師を訪ねてセカンドオピニオンの利用をしてみる
今すぐ予約したい方
03-3505-4618電話受付9〜19時半(土日は17:30まで)
3日以降のご予約
WEBから予約24時間受け付けております。

麻布十番の歯医者さん・
矯正歯科は痛みに配慮した、
コミュニケーションにあふれる歯医者です。

診療時間
9:00〜13:00 -
14:00〜19:30 - - -
14:00〜17:30 - - - - -

※平日最終受付は19:00まで
※土日の最終受付は17:00まで
[休診日]水曜・祝日

AED
TEL:03-3505-4618
地図

〒106-0044 東京都港区東麻布3-8-8 明商ビル1F
大江戸線 麻布十番駅 6番出口より徒歩10秒
南北線 麻布十番駅 6番出口より徒歩10秒
Google マップを開く >