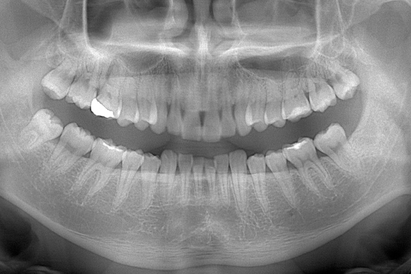
こちらは数年前の私のレントゲン写真です。右上の親知らずが斜めにはえています。お口の中には歯の頭の1部分が見えている状態です。
時々歯茎が腫れて痛かったので、抜いてもらうことにしました。親知らずが上顎洞と接していたため、抜歯後に上顎洞と口腔内が交通しましたが、2週間ほどで塞がりま
ます。

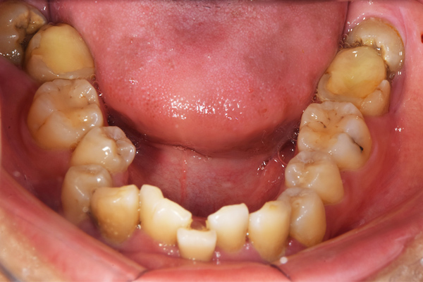
親知らずが上下4本全てに生えています。少しだけ頭が出ているような状態なのですが、歯下の2本が斜めに生えてきているようで少し痛いです。早く抜歯をしたい気持ちはあるのですが、歯医者が苦手で、大学病院などの大きな病院で全身麻酔?でやってもらおうと考えてい
ます。
ただ大学病院にかかるには紹介状が必要と聞きました。紹介状をもらいたいのでいつも通っている歯医者に行く予定ですが「うちで手術しますか?」と言われてしまうか不安です。
事情を話したら検査だけしてもらうこともできるのでしょうか。何か良い方法はありませんか?

親知らずは一部だけ見えている場合、歯と歯ぐきの間に汚れ、プラーク、食片が入り込み、歯茎が腫れて痛むことがあります。智歯周囲炎という状態ですが、歯のクリーニングや、腫れどめの軟膏を入れてあげることで、症状の改善がみこめます。しかし、何度も繰り返したり、前の歯まで影響が及ぶ場合は、抜歯を行った方が良いで
しょう。
また大学病院で抜きたいというご希望であれば、かかりつけ医にて検査のみ行い、紹介状を書いてもらうことはできますので、その旨言っていただければと思います。なくても受診可能ですが、余計に費用がかかったり、待たされたりする可能性があります。
また、全身麻酔下で抜歯を行いたいとのことですが、大学病院はもちろんのこと、診療所でも全身麻酔やそれに近い静脈麻酔(胃カメラ時になどに使用する麻酔)を行えるところもありますので、かかりつけ医に相談してみるといいでしょう。ちなみに当院では、静脈麻酔を行うことができます。保険外診療となり、99,000円(税込)と抜歯費用がかかります。
以下に『病院で抜くメリットとデメリット』、『大学病院で抜くべき親知らず』をまとめましたので、参考にしてくだ
さい。




こちらは数年前の私のレントゲン写真です。右上の親知らずが斜めにはえています。お口の中には歯の頭の1部分が見えている状態です。
時々歯茎が腫れて痛かったので、抜いてもらうことにしました。親知らずが上顎洞と接していたため、抜歯後に上顎洞と口腔内が交通しましたが、2週間ほどで塞がりま
ます。



上顎はしっかり親知らずがはえています。下顎は右(青)はしっかりはえていますが、虫歯になっています。下顎の左(赤)は斜めにはえています。またこちらも虫歯になっています。
親知らずは、のどに近いですし、頬っぺたもありますので、なかなか磨くのが難しいですね。そのため、虫歯になりやすい傾向にあります。また、プラーク(歯垢)除去がしずらいため、親知らずの周りの歯茎が腫れたり、出血しやすくなります。


こちらは、下顎の親知らずが半埋伏で斜めにはえています。また、前の歯との間に虫歯をつくってしまっていたり、前の歯の根の先端の方まで骨が溶けてしまっています(智歯周囲炎)。
このように他の残さないといけない歯に悪影響を与えている親知らずに関してはなるべく早めに抜いたほうがよいです。
検査時のレントゲン写真です。
下顎の親知らずは右下のみはえています。まっすぐはえていますが、前の歯よりも低い位置にあるので、磨くのが難しそうです。舌側の歯茎がかぶっているのがみてとれます。

上顎の親知らずは頬の方を向いてはえています。こういうった親知らずはやはり磨くのがとても難しいです。



上顎の親知らずの抜歯のBefore/Afterです。抜歯時間は10分です。上顎の抜歯はほとんど腫れることもないです。リスクとしては一番最初の症例のように上顎洞への穿孔です。ただし、穿孔したとしても、鼻をつよくかむなどせず、安静にしていれば、しっかり回復しますので安心してください。抜歯費用は約1,700円(保険適応)
です。


下顎の親知らずの抜歯のBefore/Afterになります。歯ぐきの中に埋まっていましたが、歯ぐきを切ることなく、低侵襲に手術を終えられました。抜歯時間は10分です。下顎は斜めにはえている親知らずを抜く場合は歯ぐきを切ったり、親知らずの周りの骨を削ることが多いので、術後1週間くらい腫れることが多いです。
また、下顎は、親知らずの根の先端が顎の骨のなかにある神経と近いことが多いです。神経と根の先がくっついている場合は抜く際に注意が必要となります。抜歯費用は約7,500円(保険適応、CT撮影込)です。
上顎親知らずのCT画像です。直上の黒い部分が上顎洞になります。根の先が上顎洞に一部入っているように見えます。こういう場合は上顎洞粘膜の穿孔がおこりやすいといえますが、この症例では穿孔せずにすみました。

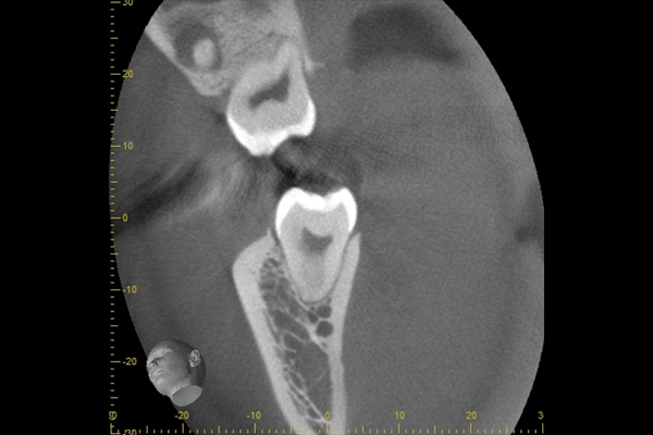
下顎の親知らずのCT画像です。根の先に黒い円があります。これが顎の骨の中にある神経になります。この症例では、近いですが、接してはいないため、神経をきずつけるリスクは少ないといえます。

下顎の抜去歯:
根の先が曲がっていたため抜く際に折れてしまいましたが、破片もしっかり取り除きました。

上顎の抜去歯:
CT通りの単根でした。


大学病院で抜くメリット・デメリットを把握して、自分に合った抜き方を模索しましょう。よくわからない場合はかかりつけの歯医者さんがある場合は、相談にのってくれますので、気軽に尋ねてみましょう。
| 診療時間 | 月 | 火 | 水 | 木 | 金 | 土 | 日 |
|---|---|---|---|---|---|---|---|
| 9:00〜13:00 | ● | ● | - | ● | ● | ● | ● |
| 14:00〜19:30 | ● | ● | - | ● | ● | - | - |
| 14:00〜17:30 | - | - | - | - | - | ● | ● |
〒106-0044 東京都港区東麻布3-8-8 明商ビル1F
大江戸線 麻布十番駅 6番出口より徒歩10秒
南北線 麻布十番駅 6番出口より徒歩10秒
Google マップを開く >