親知らず抜歯後の
腫れや痛み

親知らず抜歯後の腫れや痛み

親知らず抜歯後の腫れや痛み

親知らずの抜歯をすると痛いというイメージありますよね?抜歯は手術なので、それは否めないと思います。しかし、親知らずの抜歯でも全く痛みも腫れもないケースもあります。

腫れや痛みが出やすいケースと出にくいケースについて今回はまとめますので、参考にしてみてください。

抜くと痛い親知らず

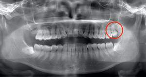
抜くと痛みや腫れが出やすい親知らずとは、横を向いてはえているような親知らずです。こういうケースでは、歯ぐきや親知らずのまわりの骨を削らないといけませんので、どうしても腫れや痛みが伴います。

下顎でこのようなケースは多いですが、上顎でも同じようなケースがあります。

抜くと痛みや腫れが出やすい横向きで生えている親知らず症例のレントゲン写真

抜いても痛みがでにくい親知らず

抜くのが簡単で、痛みが出にくいケースは、真っ直ぐはえている上顎の親知らずです。上顎は下顎よりも骨が柔らかく、かつ根が真っ直ぐになっていることが多いためです。そのため抜くのが簡単な傾向にあります。

下顎でもまっすぐはえている場合は簡単に抜け、痛みが出にくいケースもあります。

抜歯が簡単で、痛みが出にくい真っ直ぐ生えている親知らず症例のレントゲン写真

親知らず抜歯前に知っておきたい!
親知らずを抜いた後の治癒

親知らず抜歯後の経過とセルフケア

1) 歯を抜いた後の穴は、術当日〜1日後に
やわらかいかさぶたができてきます。

このかさぶたができない、もしくは取れてしまうことで、ドライソケットというものになります。
ドライソケットになると痛みがなかなか引きません。優しくうがいすること、傷口を触らないことを徹底しましょう。

2) 抜歯後3〜7日するとそのかさぶたが
歯ぐきの成分に置き換わりはじめます。

そこまでいくとかさぶたが取れるといったことがなくなります。

3) 抜歯後3週間~1ヶ月すると、
抜歯した場所の骨が再生を始めます。

歯ぐきのなかで行われますのでその変化は見てとることができません。

4) 抜歯後1ヶ月~1ヶ月半すると、
骨が再生され、その上に歯ぐきも同時に
できあがってきます。

そのため、このくらいの時期に抜歯した場所の穴はふさがることになります。

5) 抜歯後半年~1年すると骨が完全に
再生され、歯ぐきの穴が完全に埋まります。

個人差もありますが一年も経てば完全に治癒するということになります。

まとめ

いかがでしたでしょうか。
今回は痛みの出やすい親知らず抜歯と痛みの出にくい親知らず抜歯の違いについて解説しました。
少しでも参考になればと思います。

親知らず親知らずの痛み
今すぐ予約したい方
03-3505-4618電話受付9〜19時半(土日は17:30まで)
3日以降のご予約
WEBから予約24時間受け付けております。

麻布十番の歯医者さん・
矯正歯科は痛みに配慮した、
コミュニケーションにあふれる歯医者です。

診療時間
9:00〜13:00 -
14:00〜19:30 - - -
14:00〜17:30 - - - - -

※平日最終受付は19:00まで
※土日の最終受付は17:00まで
[休診日]水曜・祝日

AED
TEL:03-3505-4618
地図

〒106-0044 東京都港区東麻布3-8-8 明商ビル1F
大江戸線 麻布十番駅 6番出口より徒歩10秒
南北線 麻布十番駅 6番出口より徒歩10秒
Google マップを開く >