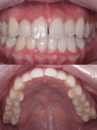
症例①
※最新の料金については、直接医院へご確認をお願いいたします。
前歯が黒っぽいのが気になる、
悪いところは全部治したい
| 年齢 | 54代女性 |
|---|---|
| 主訴 | 歯をきれいにしたい |
| 治療期間 | 4年 |
| 費用 | セラミックインレー 12本 660,000円 オールセラミック3本 495,000円 矯正 874,900円 計 2,029,900円(税込) |
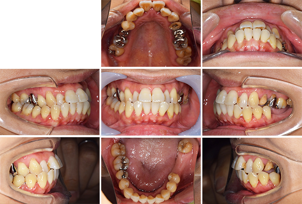
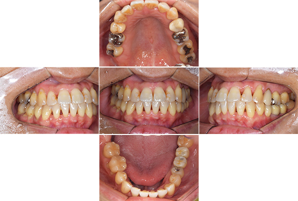
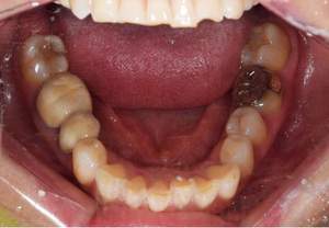
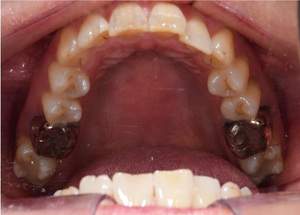
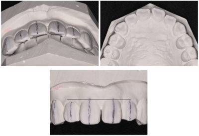
症例写真(治療前)

【担当医師所見】
治療前:
八重歯が目立ちます。また銀歯もおおく、見た目が気になります。虫歯も散見できます。
レントゲン写真(治療前)

【担当医師所見】
根の治療を3本すでに治療されています。1本根の奥の詰め物が疎になっていますので、根の部分の再治療も行う必要がありそうです。銀歯の中で虫歯になっているものもあります。
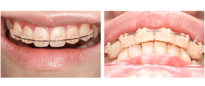
治療中

矯正装置をつけています。だんだん八重歯が動いてきているのがわかります。今回のケースでは、抜歯を行わずに矯正ができました。
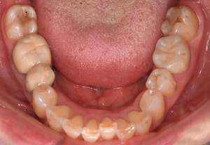
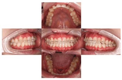
症例写真(治療後)

【担当医師所見】
治療後:
矯正治療と虫歯の治療すべて終わったときの写真になります。見た目も最初の頃とは全く違いますし、お口の中もすごく綺麗です。
| 治療 方針 |
まずは虫歯の治療を行い、被せ物をする部分は仮歯をいれて矯正を行う。矯正終了後、仮歯の部分を最終的な被せ物に変えていく。また気になっていた銀歯もセラミックに変えて終了となった。 |
|---|---|
| 治療 内容 |
セラミックインレー、ジルコニアボンド 、矯正 |
| 特記 事項 |
治療のリスク・副作用:虫歯の治療によって歯が一時的に染みるようになる可能性があります。また、歯を抜かずに矯正を行っていますが、全ての方で歯を抜かずに矯正ができるわけではありません。 |
症例②
※最新の料金については、直接医院へご確認をお願いいたします。
歯周病と矯正の症例
| 年齢 | 50代女性 |
|---|---|
| 主訴 | 左上の歯ぐきが腫れた |
| 治療期間 | 4年 |
| 費用 | インプラント 1,017,500円(税込) 矯正 880,000円(税込) 虫歯治療 インレー ハイブリッド3本 132,000円(税込) シルバー3本 約6,000円(保険治療のため変動あり) |
治療手順
1. 歯ぐきのはれの原因である歯周病の治療
2. 虫歯の治療
3. 歯列不正のため、ブラッシングが難しい、かみ合わせの是正のため矯正
4. 矯正終了後インプラント
5. メインテナンス
初診時 Panoramic X-ray

【担当医師所見】
患者様の初診時レントゲン写真
口腔内写真

【担当医師所見】
咬合平面の整頓の必要性 有
交叉咬合、オーバージェットの是正
前歯舌側の歯石

【担当医師所見】
歯周病の治療の必要性
ブラッシング方法の教授
矯正中

【担当医師所見】
左右上下合わせて4本の抜歯を行った
①前歯もキレイに並んできました
②上の歯が外側になり、交叉咬合がなくなりました
③左上の出ていた歯を元の位置までもどしています
インプラントのシュミレーション・手術

【担当医師所見】
インプラント2本の予定ですので、インプラント同士をほぼ並行に埋入する計画を立てます。神経にインプラントが当たりますと、麻痺が起きたり出血の原因になりますので、
シュミレーション上でもしっかり神経とは距離をおきます。

【担当医師所見】
歯ぐきを切ってインプラントを埋入しました。埋入後は歯ぐきを縫って終わります。
この状態で4ヶ月待ちインプラントと骨の生着を待ちます。
インプラント手術後写真
1ヶ月後

ファイナル

ビフォーアフター写真
ビフォー

アフター

| 特記 事項 |
治療のリスク・副作用:インプラントの耐久性は、天然歯同様、口腔衛生状態(喫煙の有無、喫煙者の協力度、咬合力、かみ合わせ、骨量、歯肉量、歯磨き、メンテナンス)により変化します。歯根吸収やあともどりがありますので、しっかりリテーナーを入れる必要があります。 |
|---|
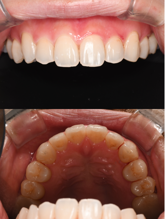
症例③
※最新の料金については、直接医院へご確認をお願いいたします。
前歯をきれいにしたい
| 年齢・性別 | 52歳・女性 |
|---|---|
| 主訴 | 前歯をきれいにしたい |
| 治療内容 | 右上1左1コア形成、仮歯作成、ジルコニアボンドクラウン形成 |
| 治療費 | 合計335,500円(2022年4月現在) 仮歯 2,500円×2 ジルコニアボンドクラウン 165,000円×2 |
| 治療期間 | 2ヶ月 |
| 治療のリスク・副作用 | 天然歯より硬いので嚙み合う歯が欠けてしまうことがある。 セルフケアを怠ると被せ物の内側が虫歯になることがある。 |
治療前

治療後

症例④
※最新の料金については、直接医院へご確認をお願いいたします。
被せ物をきれいにしたい
| 年齢・性別 | 56歳・女性 |
|---|---|
| 主訴 | 被せ物をきれいにしたい |
| 治療内容 | 右下6コア形成、仮歯作成、ジルコニアステイン形成 |
| 治療費 | 合計 113,300円(2022年7月現在) 仮歯 3,300円 ジルコニアステイン 110,000円 |
| 治療期間 | 1ヶ月 |
| 治療のリスク・副作用 | 仮歯の期間は仮歯が取れやすくなっている。 天然歯より硬いので噛み合う歯が欠けてしまうことがある。 |
治療前

治療中

治療後

症例⑤
※最新の料金については、直接医院へご確認をお願いいたします。
白い被せ物に変えたい
| 年齢・性別 | 56歳・女性 |
|---|---|
| 主訴 | 白い被せ物に変えたい |
| 治療内容 | 右下6番・右上6番・左上6番フルメタルクラウン 除去、仮歯作成、 ジルコニアステイン形成、 右上6番・左上6番コア形成 |
| 治療費 | 合計 372,900円(2022年10月現在) ジルコニアステイン 110,000円×3本 仮歯 3,300円×3本 ファイバーコア 16,500円×2本 |
| 治療期間 | 3ヶ月 |
| 治療のリスク・副作用 | 仮歯の期間は仮歯が取れやすくなっている。 天然歯より硬いので噛み合う歯が欠けてしまうことがある。 |
| 特記事項 | 右上6番、左上6番に関しては根管治療が必要になる。 |
治療前

治療後

治療前

治療後

症例⑥
※最新の料金については、直接医院へご確認をお願いいたします。
前歯の歯並びがきになる
| 年齢 | 20代女性 |
|---|---|
| 主訴 | 前歯の歯並びがきになる |
| 治療内容 | プチ矯正(上顎のみ) |
| 治療期間 | 2ヶ月 |
| 費用 | 165,000円(税込) (2022年2月現在) |
| リスク・副作用 | プチ矯正は全ての方に適応になるわけではありません。矯正中は器具が唇に接触するため口内炎ができやすくなります。歯が動かないなどで期間が長くなることもあります。 スペースをつくるために歯を削ることがあります。 |
| 治療方針 | 以前マウスピース矯正をしていたが、後戻りで前歯がやや前方にでてきてしまっています。 上顎下顎ともにあともどりがあり、歯と歯の間に若干スペースができている。 患者の希望が上顎だけだったので、下顎はそのままで、上顎のみ矯正をすることとした。 矯正は基本的にはスペースを作るため歯を削ることが多いが、今回のケースではスペースを閉じるだけなので、歯を削らずに行う計画を立てた。 |
矯正相談

【担当医師所見】
前歯の隙間が気になってきたとのこと。
CRを充填するか、矯正を行うかで選んでもらった。
矯正はおよそ3〜4ヶ月くらい(保定含む)で終わること、変色などの審美的なことに今後悩まなくて良いことから、矯正を選択した。
矯正後は保定装置を入れることをに同意を得た。
保定装置は上顎は舌側ワイヤー固定だとカリエスになりやすいので、マウスピース型の予定で考えた。
マルモ診断

・左上1番の唇側転位による正中離開
・左上2番の位置が上方へややあともどり
・OJはあるが、下顎との被蓋関係は問題なさそう
・左下12番間も若干スペースがあるが、そこは気にならないとのことで治療はしない

ブラケット・ワイヤー装着

まずはブラケットを装着。審美的になるべく阻害がないように、透明なブラケットを使用した。
2週間後

ワイヤーはまだたわみがあるが正中はやや閉鎖してきた。
更に2週間後

正中はほぼ閉じた。ワイヤーのたわみも無くなってきた。
もうすこし左上2が頬側に出てほしい。
更に2週間後

完成。
保定もかねてワイヤー(1622SS)変更。
1ヶ月後

ブラケット除去。
同時に予定していた保定装置のマウスピース用の印象をおこなった。
正中離開、左上2の位置、被蓋関係、全ての改善をすることができた。しかもたったの2ヶ月!
翌日、ハードタイプ1ミリのマウスピースを保定装置として使用させるために作成しお渡した。
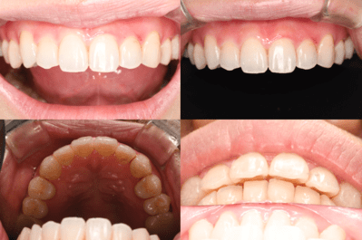
ビフォーアフター写真
治療前

治療後

症例⑦
※最新の料金については、直接医院へご確認をお願いいたします。
右下の歯が痛くなった
| 年齢 | 40代女性 |
|---|---|
| 主訴 | 右下の歯が痛くなった |
| 治療内容 | 歯の移植 根管治療 |
| 治療期間 | 6ヶ月 |
| 費用 | 合計:280,500円(税込み) 移植手術:110,000円 根管治療:121,000円 ファイバーコア:16,500円 クラウン(FMC):33,000円 (2022年2月現在) |
| リスク・副作用 | 移植手術は必ずしもうまくいくものではありません。 骨とくっつかない場合もありますし、逆に骨と強固にくっついてしまうこともあります。 移植後の歯のもちは、5年くらいといわれています。 |
| 治療方針 | 今回のケースは、定期検診にしっかり通っていただいている患者様で、歯の縦破折があり根のまわりに膿がたまっており、いつ痛みがでてもおかしくない状態であることを患者さんに説明していました。 痛みが出た場合は抜歯になること、使ってない親知らずがあるので、それを利用して歯の移植手術ができることを説明していました。 そしてついに痛みが出ましたので、抜歯して歯の移植を行うことになりました。 |
2021.4.3 定期検診時

この時はまだ症状がなかった

しかし歯は縦に割れており、いつ痛みが出てもおかしくないような状態であることは説明していた。
2022.1.15 根尖性歯周炎の急性化

疼痛ありで急患来院。
前々から爆弾抱えているような物で、何かあったら抜歯と伝えていた部位。以前よりクラウンマージン下で歯根縦破折であったが、症状なしで経過観察をおこなっていた。

抜歯予定とし、アモキシシリンとロキソニンを処方した。
2022.2.5 抜歯後の消毒
口腔内写真

CT画像

骨の状態はそこまで悪くないが、欠損が大きい。
2022.3.12 抜歯1ヶ月後・移植
移植オペ

抜歯をして1ヶ月後、歯ぐきが治ってから、移植をおこなった。
移植時は動揺が大きいため、隣の歯にワイヤーで固定した。
2022.4.16 根管充填
移植2週間後から根管治療開始

次の回(翌週)で根管充填

2022.5 仮歯装着

根管治療後は仮歯をいれて経過をみていきました。
日に日に動揺がなくなっていくのがわかりました。
2022.7.9 経過観察後
口腔内写真

レントゲン写真

根管治療後3ヶ月です。根のまわりの骨がやや白くなってきているのがわかります。だんだん骨の添加がみられている証拠になります。
ここまで治癒していればかぶせ物をかぶせても問題ないと判断しました。
2022.8.13 クラウンセット
口腔内写真

レントゲン写真

2022.10.16 予後経過
1年後 2023.3 予後経過
口腔内写真

レントゲン写真


移植した歯はしっかり機能しており、問題なく使用できているとのことである。
レントゲン写真

最後のレントゲンでは、骨がしっかり添加され、周囲組織となんら変色ない状態にまでなっていることがわかる。
- 関連ページ
-
- 当院について
- よくあるご質問
- つめ物、かぶせ物が取れた時の保険治療費用について
- はぎしり・くいしばり・TCHのよくある質問
- インプラントのよくある質問
- セルフケアのよくある質問
- マイナ保険証のよくある質問
- 入れ歯のよくある質問
- 子供・お母さんの歯について
- 定期検診のよくある質問
- 審美歯科のよくある質問
- 支払いのよくある質問
- 根管治療のよくある質問
- 歯がしみるときの保険治療費用について
- 歯のクリーニングのよくある質問
- 歯のホワイトニングのよくある質問
- 歯を抜かなければならない時の
保険治療費用について - 歯周病のよくある質問
- 歯周病の治療を行う時の保険治療費用について
- 知覚過敏のよくある質問
- 虫歯で歯が痛い時の保険治療費用について
- 虫歯のよくある質問
- 親知らず・抜歯のよくある質問
- 院内システムのよくある質問
- アクセス
- コンセプト
- 先生・スタッフ紹介
- 当院の設備
- 料金について
- 診療の流れ
- よくあるご質問
- 当院について